北京物流信息联盟

【C039】肺动脉栓塞

2021-09-18 16:37:47

打造影像人自己的医学影像平台

让学习成为一种习惯让知识成为一种内涵

让专业成为一种交流让我们成为一世朋友

※※※※※※※※※※※※※※※※※※※※※

肺动脉栓塞
    肺动脉栓塞(pulmonary embolism,PE)又称肺栓塞,是内源性或外源性栓子堵塞肺动脉或其分支引起肺循环障碍的临床和病理生理综合征,可致猝死。并发肺出血或坏死者称为肺梗死。PE是一种常见病,易造成误诊漏诊。
(一)病理与临床

肺栓塞的栓子最多来源于静脉系统和右心,深静脉血栓多见。PE常多发,右肺较左肺多见,下叶多于上叶,主要影响呼吸系统、血液动力学及血管内皮功能,从而产生一系列心肺功能异常及血管内皮功能改变。

临床症状和体征多不一致,可无症状,也可因严重循环障碍而猝死。最常见症状为呼吸困难,活动后明显,胸痛、咯血、心悸惊恐、咳嗽、出汗及晕厥甚至休克等。若栓子为非血栓性则有原发病的表现,如肺癌癌栓形成等。急性PE常见体征为:发热、呼吸加快、心率增加及紫绀、有时出现巩膜黄染、气管向患侧移位,肺部有哮鸣音及干湿罗音,肺血管杂音及胸膜摩擦音等。

(二)影像学表现

1.X线表现胸部X线平片可作为常规检查,其敏感及特异性均较低,但可评价心、肺全面情况,并有助于鉴别诊断,如排除气胸等。典型病例可见区域性肺纹理稀疏、纤细,肺透光度增加,未受累部分肺纹理则相对增多;栓塞近端动脉增粗,有时见盘状肺不张、胸膜渗出及膈肌抬高;肺梗死表现为肺内楔形致密片影;重症病人肺动脉段突出、心影增大、奇静脉与上腔静脉阴影增宽。 

2.CT表现增强CTCTA可清楚显示34级以上肺动脉内的栓子,直接显示血栓部位、形态、与管壁的关系及内腔受损状况,CTA在诊断PE有很高的特异性和敏感性,对诊断主肺动脉至肺段动脉的栓塞有很高的准确性,普遍认为诊断CTA为急、慢性PE及无症状PE首选方法。

(1)直接征象:管腔内的充盈缺损,包括偏心性、中心性及完全阻塞性,其中中心性充盈缺损呈轨道征,提示为急性PE;慢性则表现为偏心性,为附壁血栓,可伴有血栓钙化、管腔变窄等如为完全阻塞其远端血管不显影。

(2)间接征象:可见有局限性“马赛克、肺梗死灶,另外还可见局限肺纹理稀疏、肺动脉增宽、右心室增大或胸腔积液等

急性肺动脉栓塞CT图像

a. CT横断面示右肺动脉内较大充盈缺损  b. MPR示右肺动脉急性栓塞

慢性肺动脉栓塞CT图像

a. 冠状位MPR  b. 矢状位MPR均显示偏心性肺动脉内充盈缺损(A图为黑箭、B图为白箭)

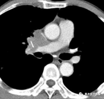
肺动脉内癌栓CT图像

右肺中心性肺癌直接侵犯肺动脉,致肺动脉内癌栓形成(箭示)

3.MRI表现临床上MRI主要应用于大到中等的栓子的诊断。三维MRA能显示肺段和部分亚段级的肺动脉分支,并可确定PE的部分和范围,对于肺段以上的大分支还可显示狭窄程度。

4肺动脉造影表现是最直接、可靠的方法,是公认的诊断PE的金标准,但不宜作为首选。只有在临床高度怀疑PE而其他检查又难以确诊时,才使用此技术。

肺动脉造影表现为血管腔内的充盈缺损,呈半圆形或半弧形,,致管腔的不规则狭窄;大分支闭塞则为杯口状充盈缺损;肺动脉分支阻塞则表现为缺支,或粗细不均,肺野无血流灌注,肺动脉分支充盈和排空延迟等,同时也能检测血流动力学和心脏功能。栓塞发生于72h之内,肺动脉造影对诊断有极高的敏感性、特异性和准确性。但为创伤性检查,有0.01%~0.5%死亡率,尤其重症患者难以承受,故不单纯用于诊断。

(三)鉴别诊断

本病需与冠状动脉供血不足、急性心肌梗死、急性心肌炎、急性心包炎、急性胸膜炎、支气管哮喘、肺不张、急性呼吸窘迫综合征、AD及心包填塞等鉴别。

版权声明

    本微信平台属于个人公益性医学影像类学习平台,本微信所有转载文章系出于传递更多信息之目的,且明确注明来源和作者,所有转载视频只用于基层教学使用,且明确注明授课专家姓名,不希望被转载的原作者及老师可与我们联系,我将立即进行删除处理

友情链接

Copyright © 2023 All Rights Reserved 版权所有 北京物流信息联盟