北京物流信息联盟

【病例】外伤性眼球脱臼伴视神经断裂

2022-05-12 06:29:19

导语
  外伤、出血、肿瘤等眶压增高,驱使眼球向前脱出于睑裂之外,称为眼球脱位,亦称眼球脱臼。临床上眼球脱臼不常见,现将我院1例外伤致眼球脱臼伴视神经断裂报告如下。

【病例报告】


主诉及病史:

患者,男,26岁,被重物砸伤头部4h,来我院急诊就诊。


患者4h前工作时被高空坠落重物砸伤头部,伤后短暂昏迷、额部及鼻出血,右眼球脱出于眼眶外,无头痛,无恶心呕吐,无呼吸困难。


检查:

全身体格检查:患者神志清,语利,无昏迷,额部可见一长约3cm皮肤裂口,深达骨面,右眼球脱出于眼眶外,鼻背斜形伤口,自左鼻背经鼻中隔至右侧鼻阈,长约4cm,鼻部出血。

       

神经系统体格检查未见明显异常。

       

眼科检查:右眼球脱臼于眶外,湿房保护中,光感(-),可见眼球尚完整,角膜完整,前方积血,余窥不清。左眼眼前节未见异常(图1)。

       

头部CT:脑实质未见确切异常,顶部软组织略显肿胀。颜面骨多发骨折,右眼球及眶内改变,考虑损伤,不除外多发植物性异物可能,请结合眶部检查。

       

双眶三维CT:(1)颜面部多发骨折。(2)颜面部软组织肿胀,局部破损、积气;鼻骨周围软组织内高密度影,异物?(3)右眼球外突,考虑存在右眼肌群及视神经损伤。(4)右侧玻璃体内稍高密度影,出血可能性大。(5)双侧上领窦、筛窦、蝶窦及右侧额窦内积液。


诊断:


头面部外伤,右眼外伤,右眼球脱臼,右眼视神经离断不除外,右眼眼肌断裂不除外,右眼睑结膜裂伤,右眶壁骨折,鼻外伤,鼻骨骨折(图2)。


治疗:

       

患者全身情况平稳,心肺功能正常,于当日急诊全身麻醉下联合其他相关科室同时手术,术中探查可见右眼球结膜完全撕脱,眼球结构尚完整,未见角巩膜裂口,各眼外肌及视神经均不同程度离断,因眼球还纳困难且眼外肌及视神经不同程度离断,行右眼球摘除+清创缝合术。眼球完整送病理。

外伤性眼球脱臼


图1 右眼球脱出于眼眶外,眼球结构尚完整。

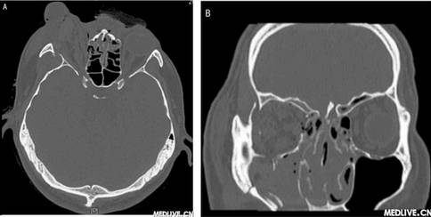
双眶三维CT 右侧眼球外突双眶三维CT 右眼眶下壁骨折


图2 双眶三维CT

A:右眼球外突,考虑存在右眼肌群及视神经损伤。右侧玻璃体内稍高密度影,出血可能性大。双侧上颌窦、筛窦、蝶窦及右侧额窦内积液;

B:右眼眶下壁骨折。


【讨论】


眼球脱臼是由于多种原因造成眶压增高,驱使眼球向前脱出于睑裂之外。眼球脱臼根据程度不同分为眼球半脱臼和眼球全脱臼。其原因包括外伤、眶内出血、血管瘤及额窦的肿瘤,甚至胸腔腹部压力急剧增高也可引起眼球脱臼。


外伤性眼球脱臼临床上较少报道,常常是由于眼眶突然遭受剧烈震动、暴力打击或有粗大异物作用于眼球和眼眶之间,加上头部反射性突然的反方向运动,使空气由眼眶组织间隙或眼眶骨折部位进入眶内,眶压突然增高,使限制眼球的肌肉、神经及其他组织突然断裂或失去张力,从而使眼球向眶口脱出。胸腔压力突然增大,造成眶内压急剧升高,也可将眼球挤出眶外。


视神经撕脱或断裂系视神经直接受伤引起,可见于下列各种情况:

(1) 炮弹伤、炸弹伤或子弹伤,弹片通过双眼,切断双侧视神经,眼球突出。

(2)异物埋藏在视内,产生视野缺损。

(3)眼球遭受严重挤压伤时,视神经撕脱,视受伤。偶尔视神经被强迫扭转,以致一部分神经被抽出。这类创伤常伴有眼外肌撕裂,甚至眼球脱出。

(4)锐器或钝器所致之眼眶穿通伤。

(5)视神经孔骨壁脱落,碎骨片直接损伤视神经,临床上少见。该患者CT检查及术中均未发现明显异物,考虑为重物突然坠落砸伤头部使眶内压突然急剧升高,眶内组织严重挤压眼球,使眼外肌及视神经撕脱断裂,导致眼球完全脱臼。


治疗上,目前认为预防性眼球摘除不能保证不发生交感性眼炎,外伤性眼球脱臼治疗的原则:

       

首先积极处理合并的角巩膜裂伤,恢复眼球的完整性;

       

其次将眼球还纳,恢复其解剖复位,以减轻组织水肿及对视神经的损伤;

       

最后是视功能和外观的恢复(如处理斜视、眶壁骨折、眼睑畸形、泪小管断裂等)。


眼球脱臼因眼球高度突出,眼表失去眼睑保护,术前术中应注意保护角膜,术前眼球表面涂大量眼膏并湿房保护,以免角膜干燥混浊,或加重损伤,术中仔细清洗眼球表面,去除异物并注意保护角膜。


眼球脱臼不可暴力还纳,应考虑以下还纳技巧:外眦切开复位,有时需切断外眦韧带,必要时外侧结膜切口进人眼眶排除部分积血。但如果视功能完全丧失,眼内破坏严重且有3条以上眼外肌断裂,这种眼外伤即使使眼球复位也不可避免出现眼球前段的缺血,已无保存可能,应尽早摘除受伤眼球。本例患者眼球脱臼伴视神经完全性离断,视功能巳无恢复希望,虽眼球结构尚完整,但各条眼外肌均不同程度离断,因此我们为患者实施了右眼球摘除手术,为解决外观美容问题,可二期行眶壁骨折修复术+义眼台植入术。


本文已发表于《国际眼科杂志》2012年第12卷第3期



| 版 | 权 | 声 |  | 

转载为传递更多信息之用,版权归原作者所有,如有侵犯版权,请及时联系我们,及时删除。内容真实性、准确性和完整性未经核实,读者仅作参考,并请自行核实相关内容。


友情链接

Copyright © 2023 All Rights Reserved 版权所有 北京物流信息联盟