非骨化性纤维瘤(non-ossifying fibroma, NOF)是一种少见的纤维组织肿瘤。这种肿瘤过去曾被认为是瘤样病损,即干骺端纤维性骨皮质缺损。1942年Jaffe和Lichtenstein认为它是一种真性肿瘤,三年后Hatcher认为它是干骺端纤维缺损,并认为是一种瘤样病变。1958年Jaffe正式命名为非骨化性纤维瘤。目前多认为是良性纤维组织细胞性肿瘤。
一、病因病理    
病因不明。
肉眼观察,肿瘤边界清晰、偏位性,质坚实或有韧性,切面呈黄色或暗棕色。由含有类脂质的黄色和褐黄色的纤维结缔组织构成。肿瘤组织中混有棕黄色区域,局部骨皮质变薄、肿胀,与正常骨有明显界限,周围有硬化骨质或纤维骨质包绕。邻近骨皮质完整,除非发生病理性骨折。如果肿瘤由多个病灶组成,可成分叶状。一般无骨膜反应。显微镜下,组织学特征为梭形的纤维母细胞性增生,呈漩涡状或席纹状排列,有少量胶原纤维和纤维母细胞。网状纤维一般很丰富。间质内有时有出血及含铁血黄素沉积,后者可见于梭形细胞和多核巨细胞内。灶形分布的成团泡沫细胞非常突出,吞噬脂质和含铁血黄素的组织细胞就是由纤维母细胞转变的泡沫细胞。1/3病例可见泡沫细胞。但有些病例纤维组织和细胞多见,而泡沫细胞少见。快要退化的非骨化性纤维瘤胶原束增厚,似成纤维瘤。第三种成分是多核巨细胞,一般有3~10个核,少数细胞大而核更多,分散于组织中,稀疏分布,形体小,与巨细胞瘤的巨细胞不同,在组织间还可见到淋巴细胞和浆细胞。瘤内无成骨活动,可与纤维异常增殖症区别。边缘由肿瘤膨胀性扩展可产生反应性骨质硬化。组织学图象与良性纤维组织细胞瘤一致。这些特征表明,本瘤为纤维组织细胞性来源的肿瘤。![]()
二、临床表现
发病率不高。本瘤占肿瘤总数的0.81%,占良性肿瘤的1.45%。男女之比为1.38:1。年龄多在11~20岁(29.6%)。多见于下肢,股骨和胫骨,其次为肱骨和颌骨。上肢和短扁骨比较少。多位于干骺端,但不侵及骨骺线,或者近于骨干侧。
一般很少出现症状,有时在病理性骨折后才发现。主要症状为局部轻微疼痛和压痛,其次以病理骨折首诊者约占20%,第三种情况是因为检查其他病患而在X片上意外发现。少数因局部骨质膨胀变形而发现。化验检查无异常。
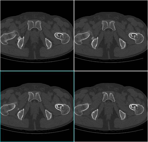
X线特征相当典型,容易作出诊断。病变位于长骨干骺端骨干的内侧,距骺板3~4cm处,未累及后者。病灶1~5cm大小不等,有的可达10cm。病变为圆形或椭圆形、偏心性生长,与骨长轴一致,但有向整个骨侵及倾向。病损内部常呈分叶状,骨皮质变薄,而髓侧边缘硬化,界限清晰。位于皮质骨附近者,从一侧突出骨外,表面骨质轻度扩张,骨质变薄。位于股骨等粗大骨内者可偏心性生长,位于腓骨等细小骨者可充满髓腔,表面骨质轻微变薄。肿瘤基底与髓腔边界处骨质轻微硬化,常呈肥皂泡沫状,可合并病理骨折。
三、诊断
多发生于青少年,临床症状不明显,结合X线特点应考虑到本病。确定诊断需要病理检查。本病比较少见,临床医师及放射科医生较难做出正确诊断。许多作者报告术前诊断有误。
有作者将大量纤维性皮质骨缺损也列入本病。非骨化性纤维瘤和纤维性皮质骨缺损组织学表现相同,所以不少作者把二者视为一病,认为当纤维性皮质骨缺损病变由皮质扩展侵及髓腔引起髓腔破坏后就转为非骨化性纤维瘤。但多数学者持相反意见,认为二者区别如下:
非骨化性纤维瘤和纤维性皮质骨缺损区别                 
                         
  |   非骨化性纤维瘤 
  |  纤维性皮质骨缺损
  | 
病变性质
  |  原发性良性骨肿瘤  
  | 瘤样病变
  | 
发病率
  |   低,约占骨肿瘤的1%  
  |   较高,可见正常儿童的27~40%,有家族倾向
  | 
发病年龄
  | 多见于15~20岁间  
  |  多见于5~14岁间
  | 
临床症状
  | 常有肿块及病理骨折
  |    多无症状
  | 
扩展趋势
  | 进行性膨胀性生长,病变较大,不能自愈,有复发的可能
  | 偶尔发现,2~4年内自行消失,可再次出现、消失
  | 
X线表现
  | 病灶多单发,长径多在6cm以上,呈单层或多层膨胀性密度减低,骨皮质变薄但尚完整 | 病灶多发、对称,也可单发,长径多在4cm以下,呈囊状或片状骨缺损,无明显膨胀,骨皮质缺损明显 | 
四、鉴别诊断
1、单发性纤维异常增殖症  尤其是囊状改变者少见。多发在长管状骨近端干骺区,无明显临床症状。常伴病理骨折。X线表现为髓腔内局限性溶骨性骨质破坏,呈磨砂玻璃样,其中可见不规则骨小梁或钙化,边缘无明显骨质硬化。显微镜下见纤维组织及化生骨。
2、骨巨细胞瘤  年龄较大,多发于长管状骨骺端,症状明显,X线表现偏心性膨胀性溶骨破坏,边界不清,呈肥皂泡沫样或溶骨状透亮区样改变。显微镜下见基质细胞及多核巨细胞。
五、治疗按分级(G0T1M0),治疗采取局部刮除和边缘切除术。病灶较小者单纯刮除,如果刮除术估计愈合慢者可同时行植骨术。病灶大者后刮除有可能复发者可行高温灭活保肢或截除术,一般预后较好。
![]()
![]()
| 免责声明:部分内容源自互联网和其他公众平台,仅供阅者浏览或参考,不确保准确性。如有侵犯版权请告知,我们将及时删除。如果您自行使用本账号发布的信息发生了损失或损害,本账号不负任何法律责任。您浏览本站发布的内容,您的浏览行为将被视为对本声明全部内容的认可。 | 
![]()  | 
![]()  | 
![]() 
 
  |