北京物流信息联盟

肺CT装酷:如何从CT上看出肺癌的病理类型?

2022-03-26 08:45:34

来源:小小医生之有趣的医学 作者:云南省一院孙丹雄


在有些情况下,肺CT可以几乎确定肺癌,并且,还可以很准确的判断出肺癌的病理类型。当然,不可能是100%,但是有些时候,可以达到70~80%以上的准确率,甚至接近100%。如何用肺CT装酷?LOOK!



先来说说肺癌的CT特征

癌,乃魔鬼,张牙舞爪的魔鬼,甚至是吸血鬼。所以,肺癌的CT的特征就是不规则的肿块,有毛刺、分叶,牵拉胸膜引起胸膜凹陷,烂糟糟的空洞,吸血鬼征:血管向肿块聚拢,以供肿瘤吸血。


这么多征象一起存在,肺癌妥妥的,接近100%。


典型肺癌。


看吧,肺癌就是不规矩。


看吧,肺癌就是乱七八糟。


肺癌:吸血鬼特征。




下面开始装酷



这是什么?

答曰:几乎是鳞癌。


为什么?


因为:鳞癌最容易烂掉!鳞癌天生的烂!乱七八糟的空洞,肿瘤内液化坏死,等等,大部分是鳞癌


肿块+液化坏死 ≈ 鳞癌。




肺门肿块,肿块侵入支气管,鳞癌。假如出现阻塞性肺炎,更支持鳞癌



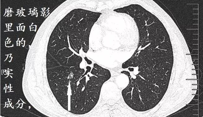
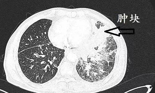
下面这个是什么?



首先,磨玻璃影,很可能是癌;假如里面有高密度的实性成分,则更可能是癌,并且,接近100%是腺癌


假如病理科报道:鳞癌。你可以要求病理科做免疫组化,再看看片子,不要冲动


上图乍一看,像肺炎。但是肺炎支气管分布很流畅,像树枝,但是这个患者支气管夹角增大,不流畅,提示肺炎型肺癌,并且,大部分是腺癌。


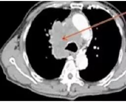
上图是什么?


接着看另一个层面。

弥漫小叶间隔增厚,肿块,很多是肺癌。哪种肺癌?很多是肺腺癌。这就是肺腺癌引起的癌性淋巴管炎


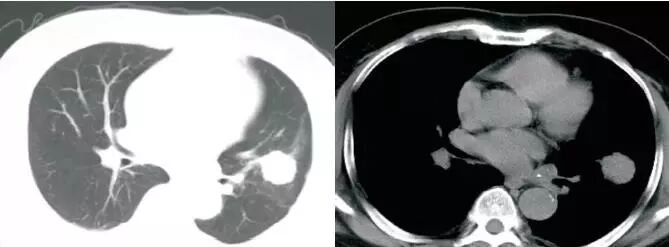
肿块,结节,在肺部外周,毛刺,分叶,胸膜牵拉,几乎是肺癌,并且,大部分是腺癌,准确性接近90%



细支气管进入肿块,几乎是腺癌




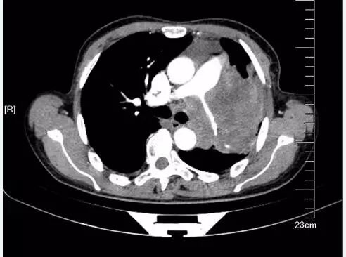
这是什么?

肿块,肺门增大,淋巴结肿大,并且,肿块和淋巴结互相融合,几乎是肺癌,大多数是小细胞肺癌。

小细胞肺癌为什么不做手术,不是绝对不做手术,而是小子跑得快,等你发现这个小鬼的时候,他已经到处转移了,晚期了。

小细胞肺癌,转移的最快


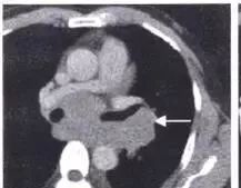
肿块包绕肺动脉干,肺动脉干变细,纵隔、肺门可见明显肿大淋巴结,相互融合,与肺门肿块分界不清,形成“冰冻纵隔”,这种贪得无厌的肿瘤,几乎都是小细胞肺癌。假如病理科报道:鳞癌。你可以要求病理科做免疫组化,再看看片子,不要冲动


纵隔、肺门可见明显肿大淋巴结,相互融合,与肺门肿块分界不清,形成“冰冻纵隔”,几乎都是可恶的小细胞肺癌。


纵隔、肺门可见明显肿大淋巴结,相互融合,与肺门肿块分界不清,形成“冰冻纵隔”,几乎都是可恶的小细胞肺癌。


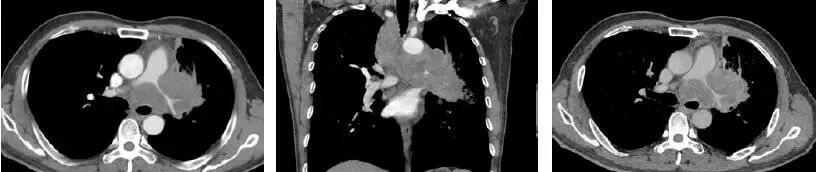
这个病例,肿块与支气管的走形大约平行,小细胞肺癌可能性很大。


这个病例,小细胞肺癌。

为什么?因为小细胞肺癌忙着拼命生长,远处转移,一般没有时间阻塞支气管。鳞癌则容易阻塞支气管,小细胞肺癌则喜欢到处跑,不喜欢阻塞支气管让你断气,而是从远处攻击你。


假如这个是癌,最可能是什么癌?小细胞肺癌。因为小细胞肺癌喜欢自己的容颜,喜欢光滑,好以后到处跑。鳞癌、腺癌则喜欢丑:分叶、毛刺、烂空洞等。


练武时刻


图一

图二

图三


图一二三病理?


A.鳞癌,腺癌,小细胞肺癌

B.小细胞肺癌,鳞癌,腺癌

C.鳞癌,小细胞肺癌,腺癌

D.只知道是癌

点击下方空白区域查看答案

第一个,冰冻纵膈,小细胞肺癌。

第二个,肿块,液化坏死,鳞癌。

第三个,外周结节,毛刺,一般是腺癌



参考文献:

1.中华影像医学--呼吸系统卷

2.潘纪戌, 张国桢, 蔡祖龙. 胸部CT鉴别诊断学-第2版[M].

努尔兰, 余莹莹, 韩文广,等. 、小细胞肺癌CT征象与血清肿瘤标志物的关系及联合诊断的价值[J]. 中国CT和MRI杂志, 2015(9):57-61.

刘臻, 刘笑默, 卢再鸣. 小细胞肺癌与非小细胞肺癌的CT特征对比研究[J]. 现代肿瘤医学, 2016, 24(22):3631-3634.

贺锋, 陈林, 葛雨曦,等. 小细胞肺癌的临床CT病理特点及其征象分析[J]. 中国CT和MRI杂志, 2016, 14(12):64-67.


- END -


/ 相关阅读 /

·把肺CT写成言情小说:如何看星星、看美女、看武侠学习CT


/ 推荐阅读 

·这样教你看心电图,没有理由看不懂 !

友情链接

Copyright © 2023 All Rights Reserved 版权所有 北京物流信息联盟