北京物流信息联盟

【滑膜肉瘤,何许病?】

2022-01-01 15:09:56

导语

        魏则西事件中,除热点集中在百度、莆田系外,也有许多人不断向我们问及滑膜肉瘤到底是个什么病之类的问题。我们注意到有一些自媒体已做过滑膜肉瘤的介绍,说法不一。为此,我们请中华医学会放射学会骨肌放射学专业委员会副主任委员、大连医科大学附属第二医院王绍武教授做了深度解析,奉献给大家。



滑膜肉瘤(Synovial Sarcoma,SS)是具有一定程度上皮分化的间叶组织梭形细胞肿瘤。目前病因尚不明确。滑膜肉瘤的名字最初源于称呼发生在邻近关节及在微观上与滑膜相似的肿瘤,近来,细胞化学和免疫组织化学分析证实,滑膜肉瘤并非起源于滑膜, 2013版WHO软组织肿瘤分类将其归入不确定分化肿瘤。

发病率

综合之前报道,滑膜肉瘤的发病率在软组织恶性肿瘤中约排第4位,占所有软组织恶性肿瘤的5%~10%。
年龄与性别

可发生于任何年龄,但以青壮年多见,高发年龄为15~40岁。男性多于女性,男女发病率约为2: 1。
发病部位

发生于四肢大关节附近者约占90%,以下肢最为多见,约占65%,尤以膝关节周围最多。上肢约占25%,以肘、腕部常见。本病与腱鞘、滑囊及关节囊关系密切,也可发生在与滑膜无关的部位,如肌肉、前腹壁、腹膜后、颈部、咽喉及脊柱等。
病理学特征
        ①大体病理:多数肿瘤紧密附着于周围肌腱、腱鞘或关节囊的外壁,平均直径约3~10cm。肿瘤呈圆形或分叶状(图1),边界清楚或不清,表面可由受压的邻近组织形成假包膜。切面呈褐色或灰白色,甚至鱼肉状,常见出血和坏死灶。

        ②组织病理学: 2013版WHO软组织肿瘤分类将滑膜肉瘤分为非特殊类型(9040/3)、梭形细胞型(9041/3)及双相型(9043/3)三种亚型。其中梭形细胞型主要由束状或漩涡状排列的梭形成纤维细胞样细胞组成(图2);双相型由比例不等的上皮样细胞和梭形成纤维细胞样细胞组成(图3);

        ③免疫组化:CK7、CK19、EMA、bcl-2、calponin、S-100、CD99可呈阳性。

遗传学

有文献报道,X染色体和第18对染色体(p11;q11) 相互异位导致SYT-SSX融合基因是滑膜肉瘤的分子遗传学特征。利用分子遗传学技术检测患者基因,可以提高滑膜肉瘤诊断的客观性和准确性。
临床表现

起病比较隐匿,临床症状包括局部隐疼、软组织渐进性肿胀,常伴压痛,病程数月至数年,易误诊为良性病变。也可因一些易混淆的临床症状(无明显肿块的疼痛、关节挛缩)及影像表现(炎性改变、囊变、血肿征象)或创伤病史等而致误诊。如肿瘤增长迅速,可出现局部皮温升高、皮肤静脉曲张、皮肤溃烂、继发感染(图4)。查体多表现为深部软组织肿块,邻近关节功能障碍。

影像学表现
1.X线平片

软组织肿块、肿瘤钙化及局部骨质破坏是滑膜肉瘤的基本X线表现。其中软组织肿块密度相对较高,有的其内可见钙化影(图5、图6)。

2.CT

可较清楚显示肿块的大小、范围与周围组织的关系以及X线片难以显示的钙化。CT平扫呈圆形或分叶状肿块,边界清楚,密度多低于肌肉且多不均匀,内见更低密度的液化、坏死及高密度出血区;约20%~40%的滑膜肉瘤可见钙化,钙化常位于病灶的周边,称为边缘性钙化(图7、图8),是滑膜肉瘤CT特征性表现。CT增强扫描肿瘤多呈不均匀强化(图7)或呈渐进性强化,少数肿瘤周围可见异常增粗的血管。


3.MRI 

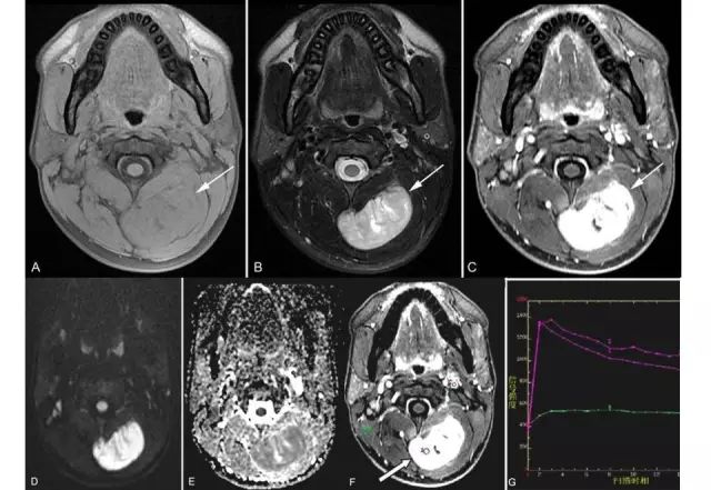
肿瘤在MRI上平扫表现为类圆形或分叶状肿块,T1WI信号多与肌肉相似,肿瘤合并出血时可出现小斑片状高信号区。少数因瘤内广泛的出血,整个肿瘤可呈高信号。T2WI上信号多不均匀,肿瘤内常出现高、等、低三种信号混合存在的征象,有学者称之“三信号征”(也有学者称之“三重信号征”或“三联征”)(图9、图10),是滑膜肉瘤MRI较为特征性征象之一。T2WI抑脂序列上滑膜肉瘤可呈多个大小近似的卵石状结节,其间存在低信号间隔,似铺路石状,称之为“铺路石征”(也有学者称之“卵石征”)(图11),也是滑膜肉瘤MRI较为特征性征象之一。部分病例(15%~25%)可出现液-液平面,为非特异性表现。常规MR增强扫描,肿瘤呈片絮状明显不均匀强化,分隔可呈明显强化(图11)。


磁共振功能成像技术在滑膜肉瘤的应用价值也较大。DCE-MRI上肿瘤实质部分TIC可为缓慢上升型(图12)或速升下降型(图13)。DWI上肿瘤实质部分可呈高信号,相应ADC值较低,内见斑片状DWI低信号区,相应ADC值较高(图13)。



诊断与鉴别诊断

滑膜肉瘤的好发年龄为15~40岁,好发部位为四肢关节旁软组织;影像学表现为软组织肿块,边缘性钙化、MRI“三信号征”及“铺路石征”具有一定特点;滑膜肉瘤主要通过病理组织学检查确诊,近年来有通过细胞遗传学,荧光原位杂交(FISH)或RT—PCR检测SYT-SSX融合基因及其表达产物来诊断滑膜肉瘤者。综合以上表现,一般可以做出正确诊断。

临床上,滑膜肉瘤主要需与色素沉着绒毛结节性滑膜炎、纤维肉瘤及侵袭性纤维瘤等相鉴别:①色素沉着绒毛结节性滑膜炎可同时侵及关节内外组织,病灶内大量含铁血黄素沉积T1WI、T2WI均呈低信号,具有一定特异性,较少出现钙化;②纤维肉瘤发病年龄较滑膜肉瘤大,软组织肿块巨大而骨质破坏较轻,无明显钙化,免疫组化CK、EMA表达阴性,Vim表达弥漫阳性;侵袭性纤维瘤多见于中年,好发于大腿、腹壁及腹膜后,一般边缘清晰,密度低于肌肉,且多均匀,T1WI及T2WI上多因富含纤维成分而呈低信号,增强扫描多呈渐进性强化。
治疗

治疗方法有多种,包括:①单独手术;②手术后联合放疗,加用或不加用化疗;③新辅助化疗,然后手术和辅助化疗;④新辅助化疗,然后手术和放疗;⑤新辅助化疗、放疗后联合手术治疗。

手术切除为主要治疗方法,应争取在瘤体尚小 ( <5c m ) 时确诊,积极采取肿瘤广泛切除或根治性切除,区域肿大淋巴结清除。单纯手术切除术后复发率达50%。单纯放疗不敏感,目前趋向于局部广泛切除加放疗。过去认为滑膜肉瘤对化疗不敏感,近年来化疗在滑膜肉瘤治疗中的地位越来越高。
预后

滑膜肉瘤手术切除后易复发,复发率约为50%。约半数病例出现转移,主要转移至肺,其次为肝、肾、骨和淋巴结。5年生存率为36%~76%,10年生存率为20%~63%。

影响滑膜肉瘤预后的因素包括年龄、肿瘤的分期、分级、核分裂象、肿瘤的大小、部位、手术切除范围等。<1cm的微小病灶预后最好;肿瘤直径小于5cm、没有坏死的病灶预后较好;儿童预后优于成人,肢体末端病灶预后优于躯干及头颈部病灶者;存在横纹肌样细胞或肿瘤坏死>50%者预后差。
(参考文献略)

   编辑:孙闯、郜璐璐



友情链接

Copyright © 2023 All Rights Reserved 版权所有 北京物流信息联盟