《更多资讯》敬请关注公众平台,点击右上角查看历史记录
版权所有 ©2012英国放射医学研究所
虽然在许多情况下可以基于临床 - 放射学相关性进行骨骼肌疾病(肌病)的推定诊断,但肌肉活检仍然是诊断的基础。然而当患者涉及肌肉酸痛无力,或经历了各种症状后,他们可能怀疑肌肉出现了问题。因为在许多情况下肌肉骨骼疼痛的原因可能难以临床确诊,所以MRI越来越多地用于评估影响肌肉的几种病理状况的解剖位置,程度和严重性。传染性,炎症性,创伤性,神经性,肿瘤性和医源性病症可在MRI上引起异常信号。
虽然多样,一些疾病有相似的MRI外观,而其他呈现不同的信号强度异常。一般来说,肌肉信号强度的改变属于三种主要模式之一:肌肉水肿,脂肪浸润和包块样病变。因为一些肌肉疾病可能需要医疗或外科治疗,正确的诊断是必不可少的。在这方面,当与临床和实验室发现相关联时,MRI特征以及来自其他方法如肌电图的发现可以促进正确的诊断。这篇文章的目的是为放射科医生和临床医生提供一个简洁和有用的指导,针对各种各样的肌病。
肌肉水肿形态 Muscle oedema pattern
急性或近期肌肉损伤最常见的特征是水肿,血管充血和炎症细胞浸润[2]。通常,这些非特异性病理变化对应于T1加权图像上的低至中间信号强度的区域和T2加权和反转图像上的高信号强度。反映最近损害或生物活性过程的许多病症可以产生信号强度的类似变化,包括创伤性损伤(例如拉伤,挫伤),肌肉劳累(例如延迟性肌肉酸痛),横纹肌溶解,血管损伤(例如隔室综合征,糖尿病性梗塞 ),肌炎(例如自身免疫,特发性,传染性,结节病性肌病),早期肌炎,亚急性去神经和放射治疗[1,4,5,8-10]。 下面在典型案例中说明(图1-12)。
![]()
图1.Α10岁男性,在打篮球时发生的损伤后4天,在股直肌中维持低度(1级)拉伤。 (a)前大腿的轴向STIR MR图像显示在增厚的肌腱连接处附近的直肌股肌中的微弱增加的信号(箭头)。 (b)冠状STIR MR图像显示在围绕加厚的肌腱连接处的股直肌中的高信号(箭头),并沿着肌肉束紧,呈现羽毛状形状(箭头)。
![]()
图2.一个16岁的男性内收肌(Adductor)撕裂,保龄球受伤后2天。 前大腿的冠状T2加权MR图像显示在完全纤维破裂的部位可见积液信号(箭头),指示高度(3级)损伤。
![]()
图3.一个24岁的女性美发师,强烈的体力劳动1天后的延迟发作肌肉酸痛。 轴向短翻转恢复成像显示增强信号强度(箭头)在伸肌桡侧腕短肌。 疼痛在休息1周内消退。
![]()
图4.在一个24岁的男性曲棍球运动员,直接打击大腿后2周大收肌(adductor magnus muscle )挫伤。(a)右侧大腿中段的轴向T1加权图像仅显示在大收肌中的很小的信号改变(箭头),代表亚急性出血进入肌肉。(b)轴向T2加权磁共振图像显示由于水肿和出血在大收肌(箭头)内的异常高信号强度,其也概述了相邻的股骨神经血管结构(箭头)。还可以看到筋膜水肿(空心箭头)。
![]()
图5.一名13岁男性的横纹肌溶解症患者,在进行强烈的举重锻炼后,手臂上逐渐出现疼痛。(a)左臂的轴向T1加权的MR图像显示在三头肌肱肌的中间头中微小的增强的信号(星号)。(b)通过上臂的矢状T2加权的MR图像显示肱三头肌(箭头)中的弥散增加的信号强度。注意,水肿样的信号轨迹沿着肌肉束,假设反映肌肉结构的特征性羽毛状外观(箭头)。 相关性肌红蛋白尿证实了左肱三头肌的劳损性横纹肌溶解的诊断。
![]()
图6.一名46岁男性的急性筋膜室综合征,在机动车事故中损伤后1天发生严重的近端大腿痛。 轴向短翻转恢复成像显示前房肌肉(箭头)的弥漫性高信号,但没有骨性异常。 在股间中肌( vastus intermedius muscle)中存在小血肿(箭头)。 随后测量隔室压力并确认急性筋膜室综合征的诊断。
![]()
图7.一位52岁的男性,糖尿病控制不良,在大腿近端,臀部和肌肉梗死时突然出现严重疼痛。a)冠状脂肪抑制T2加权磁共振图像显示在涉及闭孔外肌,耻骨肌和短收肌和长肌的前内侧大腿的广泛的肌内水肿(箭头)。 在闭孔外肌和耻骨肌之间注意到少量流体(箭头)。(b)轴向T2加权的MR图像显示在延伸通过臀大肌的内收物中的弥漫性水肿。 在内转子中看到高信号积液(箭头)。
![]()
![]()
图8.26岁女性多发性肌炎,呈现双侧下肢疼痛和肌肉无力。(a)大腿的轴向T2加权的MR图像显示在股外侧肌,中间肌,内侧肌和股直肌(箭头)的异常,广泛的羽状水肿。注意保持正常的肌肉结构。T1加权成像(未显示)在受影响的肌肉中未显示信号改变或萎缩,或在此情况下有助于诊断。(b)两腿的冠状动脉脂肪抑制的T2加权的MR图像还在小腿的肌肉(箭头)中显示广泛的水肿信号。右腓肠肌的内侧头显得幸免(箭头)。
![]()
图9.57岁男性特发性肌炎,突然发病的肌肉无力,压痛和无法行走。 冠状短翻转恢复MR图像显示通过骨盆,髋和大腿的大腿肌肉的弥漫性水肿。 肌肉活检揭示“非特异性”肌炎。 症状在6个月的时间内消退,患者能够恢复全身体力活动。
![]()
图10.34岁男性传染性肌炎,HIV阳性,右四头肌肌肉(星号)中表现为水肿,其呈现出肿胀的疼痛大腿和发烧。 值得注意的是,没有脓肿形成,但MR图像上看到包块的形态。
![]()
图11.52岁的女性结节性肌病,肌肉无力,肌肉痛和肌酶明显升高。 (a)冠状T2加权的MR图像显示内收肌的异常高信号强度变化,与水肿(箭头)一致。 (b)轴向脂肪抑制T2加权磁共振成像通过大腿显示广泛,高信号强度水肿变化涉及所有两大腿的肌肉纤维。 活检显示非梗阻性,肉芽肿,淋巴细胞浸润和肌肉坏死。
![]()
图12.一名53岁的女性,在放射治疗肺癌后出现肌肉水肿。 冠状T2加权磁共振图像显示在辐射场中的水肿和扩大的椎旁肌(箭头)。
脂肪浸润 Fatty infiltration pattern
慢性肌肉损伤导致肌肉的异常脂肪浸润,并且其特征在于在T1加权和T2加权图像上存在脂肪信号。相关的肌肉萎缩是常见的。 严重的肌肉损伤或慢性肌腱性损伤(例如肌腱撕裂),慢性废用,慢性去神经支配,肌病(肌营养不良,线粒体肌病),脂肪性病变和皮质类固醇是与脂肪浸润萎缩相关的病症[ 11-13]。 选择的病例在13-19图所示。 这些病理变化导致肌肉收缩和僵硬,这反过来改变生物力学和倾向于在负重和肌肉运动期间削弱肌肉进一步损伤。
![]()
图13.马拉松运动时受伤的27岁男性,肌腱交界(MTJ)区域的近端腓肠肌纤维的部分中断。 小腿的冠状T1加权的MR图像显示在内侧腓肠肌(星号)内的增加的信号强度和由于脂肪异常沉积(箭头)而与腱膜相邻的高信号强度。 在MTJ区域观察到近端腓肠肌纤维的慢性部分撕裂的发现(箭头)。
![]()
图14.一个58岁的女性慢性废用,经常发生肩部脱位,导致她的右臂使用有限。 (a)由于废用,冠状T1加权磁共振图像显示大量脂肪浸润的冈下肌(星号),小圆肌(箭头)和三角肌(开放箭头)肌肉。(b)矢状T1加权的MRI图像显示冈上肌萎缩和脂肪浸润(箭头)。
![]()
图15.一个43岁的男性,在12年前的一次摩托车事故后,膝下截肢的慢性废用。 矢状T1加权磁共振成像显示增加的信号,表明腓肠肌和腘肌(星号)的脂肪浸润。
![]()
图16.Charcot-Marie-Tooth病(遗传性感觉神经病),58岁男性,左腿肿胀和虚弱无力。 左侧小腿的轴向T1加权MR图像显示肿大的比目鱼肌和腓肠肌(箭头)中的扩散异常高信号强度,反映总脂肪替代。
![]()
图17.56岁的男性,在年龄为3岁时患有脊髓灰质炎,左腰肌的慢性去神经支配。轴向T1加权的MR图像显示左腰大肌(箭头)的脂肪浸润,肌肉体积显着减少。 对侧腰肌肌肉出现肥大(箭头)。
![]()
图18.中年男性线粒体肌病。 大腿的轴向T1加权MR图像显示几乎对称的脂肪浸润和四头肌肌肉(星号)的萎缩。
![]()
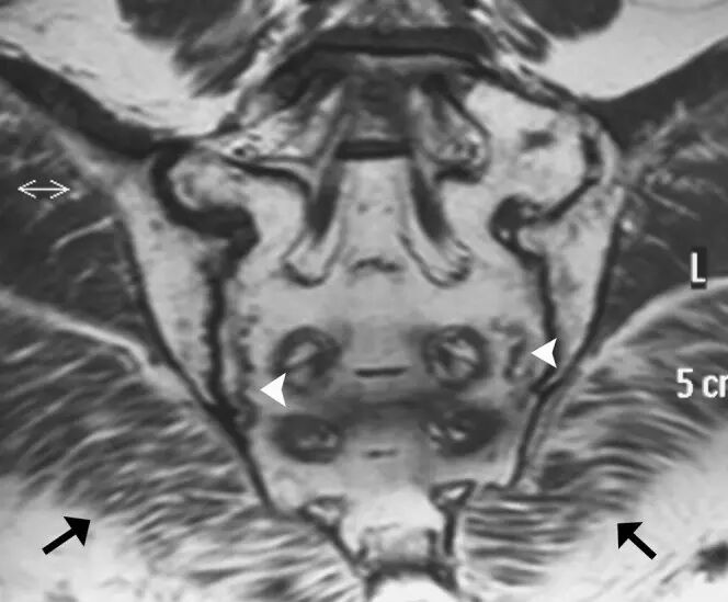
图19.一名52岁的女性接受长期皮质类固醇治疗类风湿性关节炎,引起的脂肪浸润。 冠状T1加权磁共振图像显示明显的脂肪浸润和臀肌的萎缩(箭头)。 ,类固醇诱导明显的骨质疏松,双侧骶骨骨折(箭头)。
肿块样改变 Mass lesion pattern
肿块样改变 是指肌肉中存在占据空间的损伤。产生包块效应损伤的MRI特征是可变的,并且通常不同于所有脉冲序列上的正常肌肉的MRI特征。 感染(例如,脓性肌炎,脓肿,寄生虫感染),创伤性损伤(例如血肿),骨化性肌炎,肌坏死,肌肉结节病和肿瘤(例如脂肪瘤,脂肪肉瘤,平滑肌肉瘤)都与肌内肿块样改变相关(图20-26)。 MRI提供了肿块组成的特征,可以给正确诊断肿块性质提供有利的线索。
![]()
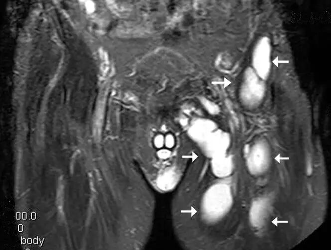
图20.肌包虫病感染在一个46岁的农夫,肌肉的疼痛肿胀的近端大腿和臀部。冠状脂肪抑制T2加权磁共振成像显示左大腿和髋部肌肉的包裹性高信号--寄生虫包囊(箭头)。
![]()
图21.59岁的男性,脓肿形成的肌萎缩继续直接对髋部刺激,并伴有左大腿发烧和不适的疼痛。 (a)冠状T1加权的MR图像显示大的、香肠状流体聚集在左髂腰肌和髂骨肌(箭头),从骨盆延伸到髋部。 (b)对应的冠状T2加权的MR图像显示邻近髂骨的翼并且在左侧的髋关节之前的多个、广泛的高信号强度---脓肿(箭头)。 脓肿材料的培养物显示金黄色葡萄球菌。
![]()
图22.在1周前的一场曲棍球比赛中,一名15岁的男性直接冲击,右侧小腿造成肌肉内血肿。 轴向T1加权磁共振图像(a)和冠状T2加权磁共振图像(b)显示在腓肠肌(箭头)均匀的高信号强度--亚急性血肿。 F,腓骨 T,胫骨。
![]()
图23.骨化性肌炎在左四头肌肌肉组织中呈现为疼痛和可触及的肿块。 (a)轴向T1加权磁共振图像显示在股骨中间和邻近股骨近端的侧肌的明确边界的低信号强度区域(箭头)。 在臀大肌中观察到信号强度增加的另一个损伤(箭头)。 (b)相应的轴向T2加权的MR图像显示邻近近股骨(箭头)的低信号强度的成熟骨化病变,以及周围软组织(箭头)中的高信号强度包块。 观察到对应于水肿的异常高信号强度浸润臀大肌(星号)。 在切除时,发现臀大肌中的包块是未成熟的肌炎骨粘液,而成熟的骨从四头肌中的损伤中被检查到。
![]()
![]()
图24.骨骼肌损伤和肌坏死。 该患者,在坠落后发生的右大腿中的受污染伤口导致感染性肌坏死。 (a)轴向T2加权MRI图像显示肿大的内收肌和股二头肌----(肌肉)由于水肿扩散高信号强度。 在大收肌(箭头)中看到中心区域与流体聚集相一致。 (b)冠状动脉脂肪抑制T2加权磁共振成像显示弥漫性水肿在大腿近端的后房(箭头)。 其信号空隙肌内气体被看作指示严重感染(气性坏疽)的存在(箭头)。 感染区域的培养物显示破伤风杆菌。
![]()
![]()
图25.一个67岁的男性结节型肌肉结节病,左大腿软组织包块,伴随腿疼痛。 (a)轴向T1加权磁共振图像显示在左腿的腓肠肌和胫骨前肌中的低信号强度结节(箭头)。 (b)轴向T2加权的MR图像显示由高信号强度(箭头)的厚边缘包围的中心低信号强度的肌内小腿损伤(箭头)。 ,在四头肌(箭头)中具有急剧的边缘状增强。 活检揭示非梗阻性肉芽肿。 T,胫骨。
![]()
图26.一名78岁女性的平滑肌肉瘤患者出现右腿疼痛,肿胀和无法行走。 (a)通过小腿的轴向T1加权的MR图像显示在胫骨前部和胫骨后肌中主要为低信号强度的大的、小叶的、清晰分界的团块损伤(箭头)。团块延伸到皮下组织(箭头)。由于身体活动减少,胫骨后隔室中的肌肉显示突出的脂肪浸润(星号)。 (b)具有脂肪抑制的轴向T2加权MR图像显示具有低信号(空心箭头)的外周坏死区域的主要高信号强度(箭头)的肌内病变。在该脂肪抑制图像上,比较在胫骨后部(星号)中的低信号强度,脂肪替代肌肉的外观与部分(a)中的脂肪替代肌肉的外观。 (c)具有脂肪抑制的轴向T1加权MR图像显示包块的不均匀增强(箭头)。包块病变的活组织检查提示胫骨肌肉的平滑肌肉瘤。 T,胫骨。
MRI鉴别诊断
除了上述信号强度变化,肌肉紊乱的其他有趣的MRI特征可以包括代表钙化,纤维化,血铁素沉积,气体和异物的T2加权图像上的异常低信号强度。 肌肉,蛋白质材料,黑色素或基于钆的造影材料中的高铁血红蛋白的存在可以解释肌肉中的高T1信号强度。 如预期的,影响肌肉的一些条件是自限制的,并且对保守管理更快地作出反应,而其他条件需要外科手术和更长的恢复期。 然而,其他肌肉疾病采取更严重的临床过程,并且难以治疗或具有不祥的预后。
结论
MRI在描绘肌肉解剖和形态,以及提供肌肉组成及其变化的表征中起着中心作用。 虽然最终活检可能是建立诊断所必需的,但MRI有助于基本上限制广泛的鉴别诊断,影响治疗和预测肌肉疾病患者的预后。‘
| 免责声明:部分内容源自互联网和其他公众平台,仅供阅者浏览或参考,不确保准确性。如有侵犯版权请告知,我们将及时删除。如果您自行使用本账号发布的信息发生了损失或损害,本账号不负任何法律责任。您浏览本站发布的内容,您的浏览行为将被视为对本声明全部内容的认可。 |
![]() |
![]()
![]()
|