《更多资讯》敬请关注公众平台,点击右上角查看历史记录
编译:凤凰重生
看到好,就分享出去,谢谢
CT引导下穿刺活检是一种在CT导引下对全身各部位兴趣病灶(靶病灶)经皮穿刺取得病理标本而最终获得病理诊断的非血管介入技术。因CT能清晰显示病变大小、形态、位置、坏死空洞区,能明确显示与临近血管、神经等的良好解剖关系,故可精确确定进针部位、角度和深度,避免损伤血管、神经和脊髓等,从而大大提高了介入操作的安全性、成功率和病理准确率。优点是:方法简便,对组织损伤小,出血少,较为安全、感染机会少,可在门诊于局部麻醉下进行,也不影响早期治疗。缺点是:取材量较少,若经验不足或取材部位不当,未刺入靶病灶内取得有代表性的组织,则难于得出准确的结论。
经皮针骨活检是一种安全,准确的方法[,用于获得组织诊断。一般而言,与脊柱相比,四肢或骨盆的病变可获得较好的结果。经皮穿刺活检的并发症发生率很低(1.1%),而开放式活检的并发症发生率高达16%。经皮活检有沿着针道播种恶性细胞的风险,特别是如果病变是肉瘤,那么需要在保留肢体的重建手术中整体切除肿瘤与肿瘤的针道。因此,选择合适的针道对于保肢手术至关重要。
彻底的活检成像检查是至关重要的,进一步的成像可能是必要的。由于这些因素决定了切除的范围和保肢手术的可行性,应密切关注评估病变的程度和是否存在跳跃性病变。如果需要,成像结果应与患者症状和功能研究结果(如PET和骨骼扫描)相关联。在多发病灶的患者中,选择最易于活检的病灶,允许最高产量和最低并发症风险。
多发病灶的存在也是重要的,因为与原发性骨肿瘤的活检相比,潜在转移的活检有不同的考虑因素。细针抽吸(FNA)可区分转移和良性病变; 然而,核活检在确定原发性骨肿瘤的细胞类型和肿瘤分级方面优于FNA。原发性骨肿瘤需要考虑采用保留肢体的切除和康复的周到的经皮径路计划,而对于转移瘤来说,途径并不重要,因为播种是值得关注的问题,通常使用最短且最直接的途径。一般来说,如果病变不是转移性的,即如果是原发性骨肿瘤或转移性疾病存在不确定性。
一般而言,我们使用局部麻醉在清醒镇静下对患者进行所有骨活检; 然而,儿童或不合作的患者可能需要全身麻醉。疼痛的病变,如神经源性肿瘤,或手足损伤可能需要局部神经阻滞。自由骨膜麻醉渗透通常有助于减轻疼痛。
如果软组织肿块与破坏性骨损伤相关,则可以从软组织部分取活组织检查结果,并且如果可能的话,还应该获得骨内骨块部分的活组织检查。如对比增强CT或MRI上所见的软组织肿块的增强区域应该被采样,病变的中心和周边也应该被采样。另外,如果肿块钙化或骨化,最不矿化的部分取样通常显示最高的异型性。可以获得来自单个病变中的两个或三个不同位置的活组织检查样品,特别是大的病变。
足够的活组织检查样品是为病理学家提供足够的异常组织以便舒服地进行诊断的样品。我们发现,用11号针头,一个长的异常组织的长核已经足够了,我们经常把这个核心分成两块,每一块用于组织学和细菌学。如果病变很大,用14号或16号针头获得的两个或三个核心证明是足够的,但如果核心是用小号针头获得的话,可能需要五到八个或更多个核心; 我们很少获得这样的小组织的核心。两个或三个部分核心计算为“单一”核心,并且所有流体吸入都经常发送用于评估。对于病变大部分病变坏死的囊性病变或病变,我们通过病变的浅表边缘和深部边缘获得多个核心。
![]()
1/照片显示骨病变活检三种针头类型。
上肢:
肩
三角肌和胸肌通常用于肩部重建。由于三角肌由腋下神经从后向前支配,所以整块切除后路针可能会失去神经支配作用,并使前方肌肉功能丧失(图2A,2B)。应通过三角肌的前三分之一接近肱骨近端病变(图3)。应避免三角肌沟,因为这种方法可能会损害胸肌用于重建,并可能污染上肢主要神经血管束。
![]()
2A肩关节解剖线图
![]()
2B/肩关节解剖线图
轴向(A)和冠状(B)肩部插图显示活检(绿色)允许的区域,包括前三角肌(Y)。应避免用蓝色标出的区域,如后三角肌(N)。注意deltopectoral沟(直箭头),神经血管结构(曲线箭头,A)和头静脉(蓝色,B)。
![]()
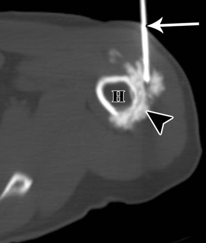
3/ 63岁的男子与I级软骨母细胞瘤。
左肩轴位CT显示肱骨头内硬化病变(H)的11号活检针(箭头)。使用通过三角肌前面部分的前路(D)。
前臂
桡骨和尺骨之间的骨间膜是肿瘤扩散的天然屏障。当通过伸肌室取样病变时,不应穿过屈肌间隔,反之亦然(图4)和5)。在皮下边缘对尺骨进行活检是最佳选择; 如果这种方法是不可能的,则尺侧腕伸肌或尺侧腕屈肌的污染与切除后的最小发病率有关。
![]()
4/前臂在轴向平面上的示意图。
骨间膜(箭头)分隔伸肌(E)和屈肌(F)隔间。应特别小心不要伤及骨间膜,从而避免多个隔室的污染。R =桡骨,U =尺骨。
![]()
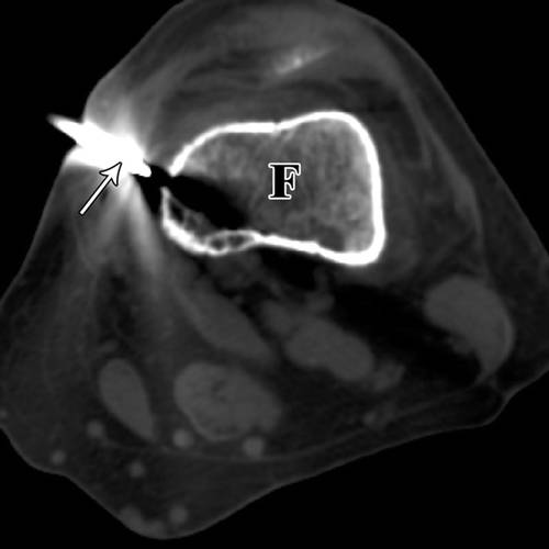
5 / 20岁女性桡骨内软骨瘤。
前臂的CT图像显示11号针头(箭头),桡骨(星号)。小心不要穿过骨间膜。
骨盆
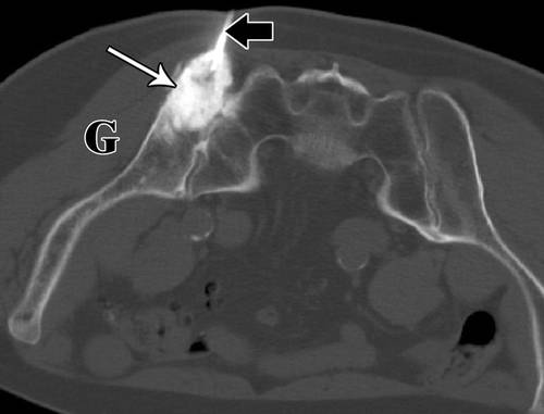
对于主要的骨损伤,如果可能的话,避免向后穿过臀肌和股直肌前方(图6)。切除臀部肌肉与保留肢体的手术后的不良结果相关,因为这些肌肉在手术后提供了相当大比例的功能。通过髂骨的前方或后方途径避免臀肌组织(图7))。如果病变是可疑的转移,可以使用硬件稳定而不是切除。因此,可以选择最短路径(图8))。
![]()
6 -髂骨水平(右)和下耻骨支(左)的骨盆插图。
必须避免臀肌群(G)和股直肌(箭头)。理想的方法是直接进入髂骨(箭头),无论是前或后
![]()
7 - 74岁男性成骨细胞性骨肉瘤穿刺。
![]()
8 - 70岁男性转移性肺癌。
大腿
应避免穿过股直肌的前路(图9))。这些伸肌的切除(特别是股直肌)在保留肢体的手术中提供了不理想的结果。如果病变与股血管密切相连,则采用内侧入路是因为内侧切口有利于血管的探查。外侧入路通常更符合人体工程学的可行性,避免了内侧神经血管结构,尤其是如果股外侧肌无血管受累时(图10A,10B)。在大腿远端,髌上凹陷可能向近端延伸一个不同的距离,应该与其余的膝关节一起避免。对于内侧入路,我们可以提升腿部进行活检或弯曲,从外侧旋转对侧髋关节,以便于进入大腿内侧。
![]()
9 -大腿轴向图
![]()
10A - 58岁男性转移性腺癌MRI冠状位。
![]()
10B - 58岁男性转移性腺癌CT引导下穿刺。
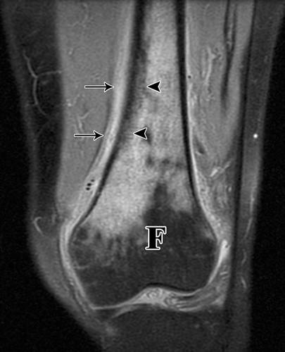
小腿
胫骨和腓骨之间的骨间膜是肿瘤扩散的天然屏障。因为前内侧胫骨是皮下的,所以可以避免两个隔间(图11)和12)。
![]()
11 -小腿的插图。
轴位图显示胫骨活检(绿色和箭头)的最佳入口位置,避免肌肉室。T =胫骨,F =腓骨。
![]()
12 - 52岁女性内生软骨瘤。
手和脚
手和脚的复杂解剖需要与外科医生讨论活检路线的计划。对这些敏感区域进行活组织检查的患者可能受益于局部神经阻滞。我们尽量避免穿过脚底或手掌(图13)),因为这些地区对疼痛更为敏感。在CT引导的活组织检查中,在具有少量皮下组织的结构中的初始针稳定可能是有挑战性的(图14))并且通常需要在针周围的无菌毛巾用于支撑。
![]()
13 - 34岁的女子右第一跖骨骨瘤。
![]()
14 -桡骨内软骨瘤的20岁女性。右前臂轴位CT扫描显示活检针(箭头)。
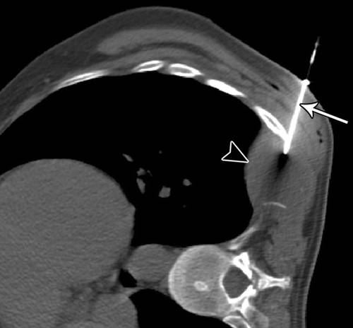
肋骨
如果有相关的软组织肿块,肋骨活检的诊断结果更高(图15))。凸面表面,小体积和相邻的肺使这些活检具有挑战性。切线方法而不是一个垂直于胸膜有利于最小化气胸的风险。
![]()
15 - 35岁的女子转移性肾细胞癌。
胸部轴位CT扫描显示18号软组织活检针(箭头)采样胸壁肿块(箭头)
脊柱
典型地,使用通过椎弓根的方法对椎体损伤进行活组织检查(图16))。然而,如果病变的震中不能通过椎弓根进入,可考虑腰椎椎间盘入路(图17)。向软组织中注射盐水可以用于使组织远离脊柱移位,并使相邻的肺远离针的路径(图18A,18B)。
![]()
16 - 55岁的妇女转移性乳腺癌。椎弓根溶解病变(箭头)使用经椎弓根方法。
![]()
17 - 61岁的女性与结节硬化型霍奇金病的放射治疗。
![]()
8A - 56岁转移性肺癌女性。
![]()
18B - 56岁的女子与转移性肺癌。
![]()
19 - 45岁的男子与骨旁骨肉瘤。
![]()
20A - 52岁男性,II级软骨肉瘤。
![]()
20B。- 52岁的男子II级软骨肉瘤。
![]()
20C - 52岁男性II级软骨肉瘤。
![]()
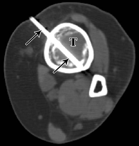
20D - 52岁男性II级软骨肉瘤。
连续的轴向CT扫描通过骨盆与龙门角度显示针(箭头)倾斜CT扫描平面与远端头穿过肿瘤(箭头)。
Read More: http://www.ajronline.org/doi/full/10.2214/AJR.07.3138
| 免责声明:部分内容源自互联网和其他公众平台,仅供阅者浏览或参考,不确保准确性。如有侵犯版权请告知,我们将及时删除。如果您自行使用本账号发布的信息发生了损失或损害,本账号不负任何法律责任。您浏览本站发布的内容,您的浏览行为将被视为对本声明全部内容的认可。 | 
![]()  | 
![]() 
  |