北京物流信息联盟

超声观察宫内节育器

2021-01-04 13:54:05

宫内节育器(IUD)是我国育龄妇女普遍采用的一种长效避孕方法,它既安全、简便、有效,且可放置时间长,而取出后又能恢复生育能力,因此适合于需要定期避孕的妇女。

 

据统计我国约有50%的育龄妇女(约1.5亿)使用IUD避孕,而IUD的位置正常与否直接关系到避孕的效果。

 

IUD异位会导致出血或避孕失败,IUD嵌顿会导致取器手术困难,而术中反复盲目操作常可导致严重后果,诸如子宫穿孔、肠穿孔、继发感染和败血症等,严重者甚至危及妇女生命。

 

因此,临床上迫切希望能寻找到一种无创伤、操作方便且能直观、正确判断IUD形状及方位的检查方法,以提高取器的准确性和安全性。

 

二维超声检查虽可显示IUD与子宫的关系,但易受操作者技术等主观因素的影响,且因为是手动扫描,图像比较粗糙,多只能显示IUD某一局部,研究表明仅有36%可较完整地在一个平面显示IUD,尤其对开放型IUD两横臂的情况不能很好地显示。

 

三维超声的优势

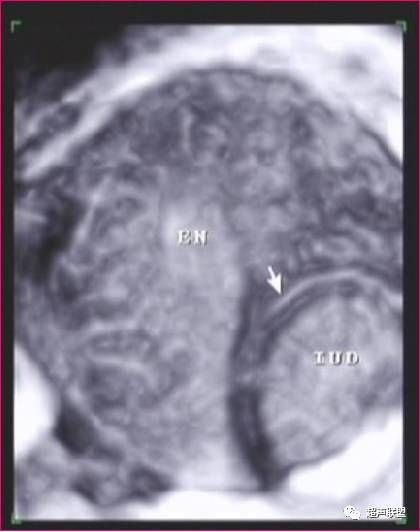
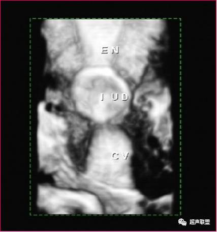
三维超声成像技术可获取二维超声不能得到的冠状面的回声信息,可以直接反映子宫外形和宫腔形态,形象完整地显示IUD的整体,清晰显示IUD有无断裂及嵌顿程度、部位。

同时,因计算机扫描的标准化、程序化,在重建回放检查过程中不易遗漏细节问题,如细碎的IUD残留及与宫壁的关系,从而为临床有的放矢地选择治疗措施提供可靠依据。

 

在经阴道三维超声成像检查中要注意的问题:

    三维超声成像时整个子宫均应在三维采样框内,且以子宫前位或后位为佳,而平位子宫因其宫底距离探头较远,声衰减后清晰度将受影响。

成像前的二维图像尽量完整地显示整个宫腔和宫颈管,以便成像后能比较容易地找出宫腔与IUD关系的清晰图像。

 

可适当增强灰阶阈值,成像后的图像和照片均较清晰。

尽可能在患者月经周期的中后期进行检查,子宫内膜相对较厚,此时成像宫腔形态显示满意。

 

圆形环


T形环

圆形环位置下移


宫腔形环位置下移


 圆形环嵌入肌层

诊断: 宫内节育器位置下移


诊断:宫内节育环残留可能

     宫腔镜证实圆形环宫内残留


诊断宫内节育环部分嵌入

肌层可能,宫腔镜证实

爱母环


节育器嵌顿

节育环(IUD)嵌入子宫肌层内.

(经阴道超声)

节育器外游

节育环(IUD)位于宫颈(CX)左侧的盆腔内.

(经阴道超声)

节育器变形

宫腔内节育环(IUD)变形.

(经阴道超声)

 

宫内节育器的超声检查

主要检查内容:

①节育器是否存留或脱落

②节育器在宫内的位置是否正常

③有无引起并发症

 

声像图特征

①特殊的形态特征

②呈强回声

③有的节育环可见彗星征或声影

 

宫内节育器定位

判断标准为必须确定节育器是否放置在近子宫底部的内膜腔内

另一指标为子宫纵切面上测量节育器上缘到宫底外缘的距离( FUD ),正常范围为1119mm,超过20mm为异常。

子宫前后壁厚度之和与2FUD的比值,正常为0.8,大于此值为下移。

 

节育器异位

 

节育器下移

节育器嵌顿于子宫肌层内

子宫穿孔致节育器异位

注意事项:宫内有钙化,或刮宫后短时间内超声检查宫腔内气体强回声均酷似节育器回声,须注意鉴别。

 

由于宫内节育器的形状、质地不同,其超声表现不尽相同。金属圆环和宫形环在二维超声扫查子宫纵切面表现为宫腔内两个分离的强回声,在其后方,由于产生多次反射形成慧尾征。T形环在子宫纵切面显示为宫腔内线状或串珠状强回声,横切面在宫腔底部显示条形强回声,塑料节育器在不同的切面扫查进表现为宫腔内强回声,其后方不伴慧尾征。

  “O”:为圆形环

  “T”:为T型环

  “ⅰ”:为吉妮环

  “|”:为母体乐

  “ Ύ ”:为Ύ环

“∵”:为爱母环

 

 

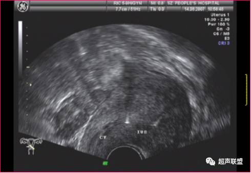
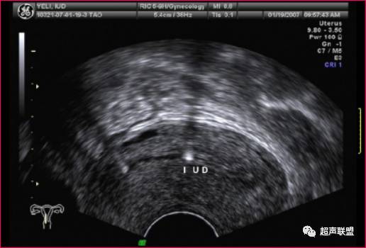
宫内节育器下移

声像特点为节育器不在宫腔内而向下移位,节育器下缘达宫颈内口或内口以下,剖宫产切口处常形成憩室,也可是节育器下移到达之处,有时节育器可下移至宫颈管内,或脱出宫颈外口至阴道。

一般节育器的上缘距宫腔底内膜以下一段距离,或上缘距宫底大于2cm即诊断为宫内节育器下移。

 

 

常用IUD的声像图特征

—)药铜环165

 1、明亮强回声

1)纵断面 

子宫纵断面,在宫腔内显示明亮强回声的IUDIUD断面呈二字形或一字形短条状,前倾曲及后倾曲子宫内的节育环因为与声束垂直而呈环状强回声,周围有声晕,即使降低增益仍能显示IUD回声。如有次序的连续纵断IUD,各断面可组成“O”形图像。二字形强回声平面联机与宫体纵断面平行。

2)横断面   

由于子宫位置不同,IUD呈不同形态的强回声。子宫过前位或后位时,可见到明亮强回声的IUD呈圆形光环,光环的直径即为IUD的大小;当子宫略前位或后位时,由于超声束与IUD略有倾斜,圆环可呈椭圆形;当子宫水平位时,IUD可呈二字或一字短光条。

 

2、彗星征及声影

           

金属IUD明亮强回声的后方有尖端向下的锥形强回声,称彗星征。彗星征是金属超声回声的特征,是声束通过强反射界面时所形成的多重反射(即混响伪像),每一次往复,声能略有减低。声影的出现是声束在传播过程中遇到强反射体时,由于强反射体吸收大量声能,与周围组织产生较大的声阻抗差异。金属IUD兼具高反射及高吸收系数,更具明显声影。在子宫纵切位时,可见到2个“钉子”样的回声,即2个钉头明亮强回声为IUD的两个截面,钉体即为彗星征及声影,其后拖有较长的声影。

 

(二)金塑铜IUD

      

金塑铜IUD基本声像图与不锈钢圆环相似,另可显示短柱回声。

1、纵断面常见二点或三点强回声,中间一点为节育器中间的短柱。 2、横断面常在圆形光环中间见到短柱状强回声。

    

(三)宫形IUD(宫腔形含铜IUD

       

宫形IUD基本图像与不锈钢圆环相似,惟呈类三角形为特征。

1、纵断面   

常见一点和一条强回声,一点为宫形IUD的上缘、一条为IUD的侧壁强回声,伴有彗星征及声影。

2、横断面   

当子宫前位或后位时可见到宫形强回声;子宫水平位时IUD呈“—”字形强回声。

 

(四)带铜TIUD

 1、纵断面  

 IUD的纵臂缠绕铜丝,声像图显示直线状较强回声。如在纵臂上镶有45个铜套,则显示45个串珠状或链条状强回声短条,伴有光晕和后方成片声影。强回声长2835mm

 2、横断面   

前位子宫可显示“T”形强回声,各铜套形成的光晕较强,呈横行条状,排列呈“鱼刺样”强回声。后位子宫可显示“⊥”形强回声。水平位子宫,当探头从宫颈向宫底连续扫查时,显示IUD纵臂呈点状强回声连续出现,至IUD横臂处,呈“—”字形较强回声。

   

(五)带铜VIUD       

1、纵断面    

子宫腔内见到比TIUD短的“I”字形较强光条回声,在光条的上、下端及中上部有三点强回声,分别为IUD的上缘、下缘及斜纵臂交界处回声。

2、横断面   

子宫前位或后位时,可显示“V”形或“∧”形较强回声。子宫水平位时呈横置两点较强回声。

     

(六)母体乐Cu375IUD

 1、纵断面    

子宫腔内显示长2224mm、宽5mm左右有光晕的短棒状强回声,后方伴有声影。此为母体乐IUD纵臂回声。

 2、横断面    

前位或后位子宫腔内,显示短棒状强回声,两侧或一侧见较强回声的IUD侧臂。子宫水平位时呈横置三点,中间一点强回声粗大。

 

(七)活性rIUD

 1、纵断面   

子宫腔内显示长2224mm的双条较强回声,置下端呈弧形连接,后方伴有声影,此为rIUD纵臂回声。IUD顶端呈横长方形光斑,此为两横臂顶端交接处咬合的硅橡胶珠。

2、横断面   

前位或后位子宫腔内,显示正或倒“r”形较强回声,两侧横臂比TIUD横臂短,且向下搭拉,“r”似小燕飞翔。子宫水平位时显示IUD纵臂呈点状强回声连续出现,IUD顶端呈横长方形光斑。

 

(八)吉妮IUD

       

声像图似带铜TIUD的纵断面,但无横臂。

1、纵断面   

宫腔内显示6个串珠状或链条状较长强回声光条,伴有光晕和后方成片声影。声像图与T220C相同。在IUD顶端上方1cm处宫底肌壁内可见较强光点,为IUD顶端尼龙线线结。  

2、横断面   

前位、后位子宫可显示“I”形强回声。水平位子宫,当探头从宫颈向宫底连续扫查时,显示IUD纵臂呈点状强回声连续出现,至IUD顶端见不得“-”宇形较强回声的横臂,此点可与带铜TIUD鉴别。横断面重点观察吉妮IUD上端的线结光点及第一个铜套强回声是否在宫底的正中。偏左、偏右均为放置偏移。

 

宫内节育器的超声定位

 

IUD的避孕机理虽然尚未明确,但目前公认它可以作为一种异物,直接对局部子宫内膜组织产生一系列的病理变化,从而干扰和阻碍受精卵的着床和发育,达到避孕的目的。由于绝大多数受精卵是在宫腔上部的前后壁着床,所以IUD必须位于宫腔上部才能阻止受精卵着床,这是决定避孕效果的关键。IUDIUD上缘位于宫腔底部。IUD的定位宜在纵断扫查下进行。

 1、测量IUD上缘至宫底表面的距离

   正常宫底肌壁厚度约为1.2cm,当IUD上缘位于宫腔底部时,超声显像IUD的上缘距宫底表面浆膜层(宫底外缘)之间的距离为1.22.0cm,表示节育器的位置正常。有报导把IUD顶端置入距宫底外缘距离小于或等于1.4cm的区域内,更可能减少脱落。

       

对少数子宫偏大(子宫长径大于7.0cm)的妇女,因子宫底肌层较厚,IUD上缘和宫底之间距离可大于2.0cm,此时需根据子宫底厚度、子宫长度、IUD下缘与宫颈内口的距离等综合分析作出判断,必要时需定期随访观察才能作出正确结论。

 

 子宫底肌肉的厚度有一定的个体差异,为准确起见,除注意子宫底厚度外还应测量宫体前后壁厚度,再按公式计算,预测子宫底肌肉的厚度。

      

子宫前壁厚度+子宫后壁厚度/2×34=子宫底肌壁的厚度  

       

IUD上缘到宫底表面的距离小于或等于预测值,表示IUD位置正常;反之提示IUD低置。但因测量方法较为复杂,准确测量子宫前、后壁厚度尚需一定经验,故普查时较少采用。

 

2、测IUD下缘至宫颈内口的距离

测量IUD下缘到宫颈内口的距离,常因子宫颈内口不易辨认,以及宫颈管弯曲测量不准确,故仅用于子宫Ⅲ度后倾。因宫体与宫底之间的图像重迭,IUD上缘与宫底的距离显示不清楚,影响测量资料的准确性。采用测量IUD下缘与宫颈内口之间的距离,应结合各种型号IUD纵臂的长度和子宫长度,综合判断方能较准确地评价IUD在Ⅲ度后位子宫内的位置。圆形IUD的下缘到宫颈内口间的距离平均为2.3±0.3cm。圆形IUD下缘距宫颈内口小于20mm,应视为下移。

 

 

宫内节育器在宫腔内异常声像图特征

   

—)、IUD下移(低置)   

      

节育器下移是节育器最常见的位置异常,也是引起避孕失败的最常见原因,节育器下移与子宫的位置、节育器类型、子宫肌瘤等因素有关。前位子宫时IUD下移发生率最高。子宫肌瘤可使子宫位置异常、宫腔变形导致节育器下移。当IUD下移时其脱落的相对危险增加,带器妊娠发生率会明显增高。

       

IUD上缘与宫底浆膜层之间的距离大于2.0cm,或圆形IUD下缘到子宫内口的距离小于1.0cm,可诊断IUD下移,可在宫内节育器上缘见有子宫内膜回声。IUD进入子宫颈管时,子宫颈管内显示较宽的强回声光条,可伴声影,就此可与子宫颈管回声鉴别。子宫底部患肌瘤,可使正常位置的IUD上缘至子宫底浆膜层的距离增大,应注意与IUD下移鉴别。

 

各种IUD下移和脱落多发生在放置后1年内,占60%~90%,其中50%发生在头3个月内,1年后趋于稳定,这与子宫对异物的敏感性降低有关。IUD下移可使子宫内膜损伤及子宫过度伸展,引起腹部下坠、腰骶部坠痛、不规则阴道流血、白带增多或血性白带。IUD下移可增加感染机会。

IUD异位  

       

IUD异位是指IUD偏离子宫腔中的正常位置,嵌入粘膜、肌层,甚至游离入腹腔。根据IUD偏离的程度可分为粘连、部分异位(嵌顿)、完全异位(部分穿孔)及子宫外异位(完全穿孔)。

       

1、节育环嵌顿  

       

正常时子宫显示良好,宫腔内膜平滑可见,IUDIUD嵌顿时显示IUD上缘与宫底浆膜层之间的距离小于1.0cmIUD至子宫前后壁浆膜层距离不对称,IUD强回声平面与宫腔平面不平行,发生了角度的变化,或IUD某一部分突向子宫壁。剖宫产子宫下段横切口肌层愈合不良时,IUD尤其是TIUD纵臂下端易嵌入切口处,或完全置于浆膜下。节育器嵌顿可与节育器的大小、形状、质地及术者操作技术有关。

 

节育器外游  

       

超声表现为子宫腔内无节育器显示,节育器可穿透宫壁落入腹腔,包裹于肠管中,从而形成纤维粘连或机化,在腹腔内、阔韧带、附件区或直肠窝区有强回声节育器图像。节育器外游至盆腔,因肠道气体干扰不易寻找,应多角度仔细观察,节育器外游至肠间与肠道气体相混不易分辨,超声仪无能为力,须借助X线检查。偶尔IUD可穿入膀胱,此时可见带有彗星尾征的强回声带穿过膀胱壁而进人膀胱腔。鉴别诊断:节育器外游至膀胱须与膀胱结石相鉴别,结石随患者体位不同而改变,位置变化较大,节育器多因炎性粘连而固定不动。

      

不论何种IUD异位,大部分带器者无自觉症状,往往于取IUD时,或带器妊娠行人工流产术时取环困难才发现IUD异位。IUD异位可有不同程度的腰骶酸痛、下腹坠痛、月经不调及盆腔感染,而对症治疗多无效。X线检查,可明确诊断。确诊IUD异位后,应根据不同情况给以及时处理。

 

IUD合并妊娠

       

在子宫内显示妊娠囊与IUD的回声同时存在,可诊断为IUD合并宫内妊娠(带器妊娠)。超声诊断带器妊娠的价值在于能清晰的显示子宫、IUD和妊娠囊,以及三者的关系。

     

 声像图特征:                         

      

1、子宫增大,增大的径值与孕周成正比。

2、早期妊娠时,在子宫腔内显示完整的妊娠囊,随妊娠周数的增加,囊内可见到胎芽、原始心管搏动及胎动。在妊娠囊的下方、侧方、上方或接近子宫颈口处,显示强回声的IUD,由于妊娠囊暗区的衬托,IUD回声显示格外清楚。      

3、晚期妊娠时,IUD可在胎盘与子宫之间或胎膜与子宫之间查到,或在子宫颈部查到。IUD常因子宫增大及胎儿骨骼回声的重迭而显示困难。

 4、在B超诊断带器妊娠的过程中,应注意异位妊娠的发生。因此,对放置IUD伴有停经史的育龄妇女,当子宫腔内没有查到妊娠囊时,必须注意双侧附件及子宫后方情况,并应结合妊娠试验及动态随访观察,以免遗漏异位妊娠而导致严重后果。

 

(四)、IUD脱落   

     

 曾有带节育器史,但B超在子宫腔及宫颈管内均未探及IUD,配合X线诊断未见IUD,即可诊断IUD脱落。

 

(五)、IUD变形、断裂、横置

      

 IUD在宫腔内正常位置的变形较少见。大多数属于IUD低置,为了适应变化的环境而发生IUD变形。常见不锈钢圆环、VIUD变形。子宫纵断面,圆环两彗星状声影平面与宫体冠状面成角,出现一个彗星状声影平面和一个强光带图像,或两彗星状声影之间夹有强光带图像。子宫横断面,圆环变形呈椭圆形、“8”字形强回声。VIUD变形呈上开口菱形或不规则较强回声。另外对带有横臂的IUD,显示横弩不能充分展开时,将影响避孕效果及出现腹痛、阴道出血等症状。IUD横置、倒置多见于带器妊娠,人工流产时未取出IUD所致。            

 

(六)、IUD与子宫腔大小不匹配

 含纵臂IUD的上界位置正常,而下界进人子宫颈内口;圆形IUD上缘位置正常,而下缘距子宫颈内口间距离小于1.0cm,提示IUD过大。

 

    

(七)、宫内双器  

     

 常因带器妊娠行人工流产术时,没取出IUD而误置引起。宫内双器的超声图像由两枚IUD的形态及在宫腔内的位置所决定。

      

IUD在宫腔内的异常均可引起副作用和并发症,最终导致避孕失败。故一旦诊断明确,需及时采取相应措施。

 

     

(八)、宫内节育器残留

      

由于各种原因导致取节育器时发生断裂,使节育器一部分遗留在子宫内。       

      

超声图像显示宫腔内或宫肌内见强回声光斑,形态不一,伴彗星尾征,子宫内膜居中或不清。

 

IUD强回声与其它强回声鉴别

当宫腔内有胎儿残骨或胎盘残留机化、子宫肌瘤环形钙化、子宫内膜增生或子宫内膜慢性炎症、瘢痕质地较致密时,都可出现强回声,甚至伴有声影,偶有误诊为IUD回声。

 卵巢某些肿瘤的内部也可显示强回声区,不应将卵巢当成子宫、将内部强回声当成IUD。肠管内及阴道内的气体也呈强回声,当膀胱充盈不足时也易于与IUD混淆。

 

 

超声笔记每天分享,赞赏是正能量的动力。


敬请支持

超声联盟是“超声医师集团”团队运营的另一个微信公众号,请还没关注超声联盟公众号的朋友,请长按以下二维码关注下!

公众号已经开通了留言评论功能,欢迎大家在下方评论区进行留言哦!


申明:所有文字及图片为作者原创,未经允许,不得盗用!转载需联系管理员授权!


微店扫码购买:

同时需要告诉大家一个好消息,在超声医师集团购买的任何产品,都可以开发票,需要发票的请留言,备注抬头。



热忱欢迎人才、医生集团、医院、资本与超声医师集团洽谈各种合作!

          联系人:

          曹董  微信;2733056433

          周总  微信;S6xChen

超声医师集团电话:04755678777


书籍、内部资料、视频、考试资料购买

联系人:

赵总微信:ZHQ15965396362

曹董微信:2733056433

汪总微信:njyxsd

售后曹总微信:caogl123

销售售后咨询热线电话:04755678777

实体书店售后热线:0258471051

实体书店热线:13951996894


相关业务论文、科研微信号:38451046

论文科研热线:18268823730

超声医师集团视频课堂 QQ群476831996

医疗应聘招聘QQ群 345878246

超声医师集团考试QQ群 285936340

超声医师集团论文科研QQ群523703368









 


友情链接

Copyright © 2023 All Rights Reserved 版权所有 北京物流信息联盟