北京物流信息联盟

自动三维超声心动图评价非选择性患者左心容积--可行性及图像质量影响

2022-06-21 16:46:33



摘要:

背景:尽管3DE可以准确定量评估心腔大小且可重复性良好,但是仍未成为临床常规,主要是受到需要手动调整额外增加工作量的影响。新近研发的自动定量软件可以同时评估左心房和室容积,研究证实在图像质量良好的患者中具有很好的准确性和可重复性。本研究前瞻性连续纳入一批患者,旨在评估其可行性,及与图像质量和检查者经验的关系。

方法:连续纳入300例接受3DE检查的患者。图像质量分为差、良和好。应用Philips HeartModel技术测量LV容积和射血分数及LA容积。评估对心内膜边界进行编辑及未编辑时测量结果的一致性,并以传统的3DE手动追踪方法所测结果为对照标准。

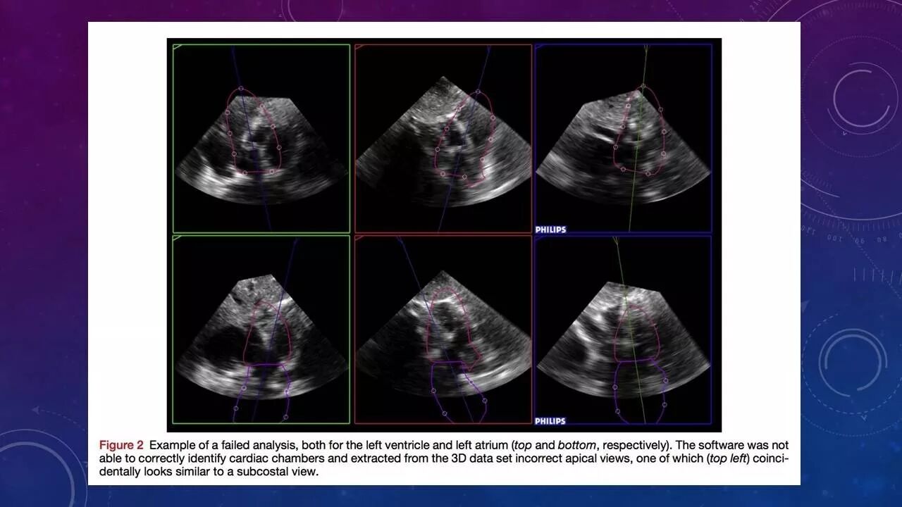
结果:31例(10%)患者未能进行自动分析。图像质量差的患者 (n = 72, 24%)测量结果与参考技术一致性不佳。图像质量良(n = 89, 30%)和好(n = 108, 36%)的患者与对照值相比偏倚小、相关性高。手动编辑后的结果优于未进行校正者。但无经验的检查者进行的调整并不能改善一致性。

结论:自动3DE分析可以在多数患者(66%)中准确定量左心大小和功能,另一部分患者由于图像质量不佳影响测量结果的准确性。有经验的检查者进行心内膜校正可以改善自动测量的准确性。在图像质量良好的患者中,这种自动定量技术有望克服3D分析额外增加临床工作量的局限性。



友情链接

Copyright © 2023 All Rights Reserved 版权所有 北京物流信息联盟