北京物流信息联盟

踝关节骨折(九)下胫腓联合2

2021-10-28 11:02:02

经受权

创伤网络学院转载304骨创伤

吴克俭教授的 专业文章

给广大刀客学习



下胫腓损伤 —— 运动伤常见


注意:红衣3号双足

左足:旋前;右足旋后


临床检查

踝关节骨折应根据骨折类型,甄别有无下胫腓联合损伤可能,无骨折踝关节损伤应详细询问受伤机制,仔细局部检查,防止漏诊下胫腓联合损伤。下列检查有助于诊断。多种体格检查相结合,提高诊断率。



测试名称

描述

阳性表现

外旋试验

膝关节及踝关节屈曲90°,足部外旋

诱发胫腓联合疼痛

挤压试验

挤压胫骨和腓骨近端

诱发胫腓联合疼痛

交叉腿

试验

患者坐位,将损伤脚交叉放置于健侧患肢上,在损伤侧膝关节向下施加轻度压力

诱发胫腓联合疼痛

用力

背伸试验

踝关节背伸,而后挤压胫腓骨远端

胫腓联合疼痛减弱





足外旋试验

(Kleiger test)



胫腓骨横向挤压试验

(Hopkinson squeeze test)



交叉腿试验

(Crossed-leg test)



用力背伸试验

Forced dorsiflexion test


X 线诊断

目前国内外对下胫腓联合分离的 X线诊断标准较多,尚无定论。

多数认为X线片正常下胫腓解剖关系如下:

①前后位或踝穴位片上下胫腓骨间隙≤5mm;

②前后位片上胫腓骨重叠>6mm或大于腓骨宽度的42%;

③踝穴位片上胫腓骨重叠影>1cm;

若超过上述范围,则认为损伤或分离。Rose等认为在没有腓骨骨折的情况下,踝关节内侧间隙增宽是判断下胫腓联合分离最可靠的 X线表现。



踝穴位X线片测量



踝穴位X线片测量


在普通X线检查阴性时,应摄距小腿关节外展外旋应力位像,以发现隐匿的下胫腓联合分离。但也有作者认为应力位摄片对诊断无帮助。


CT 与 MRI 检查意义

Nielson等以传统X线测量与MRI进行对比临床实验研究,来评价标准X线测量在踝部骨折时预测下胫腓联合损伤的可靠性,结论认为X线测量不能预测踝部骨折时是否存在下胫腓联合损伤,X线上正常下胫腓关系不能排除下胫腓联合损伤。

Takao等临床研究报导,以关节镜作为对照标准,X线正位片和MRI诊断下胫腓联合损伤的敏感性、特异性和准确性分别为:44.1%与100%、63.5%和100%、93.1%与96.2% (Takao研究引用的X线诊断标准为下胫腓间隙大于5mm、下胫腓重叠小于10mm为异常)。认为X线片有助于评价踝部骨折和韧带损伤的情况,但准确性不够满意。与更为准确的CT, MRI以及踝关节镜相比,传统的X线诊断价值己越来越受到怀疑,己不能作为诊断下胫腓联合损伤的唯一依据。

Ebraheim等证实CT扫描对下胫腓联合损伤诊断比X线平片更容易可靠,敏感性更高。Ebraheifn等对尸体标本进行CT扫描发现,大部分2mm的下胫腓分离可以通过CT扫描发现并确诊,但无法识别1mm以内分离。而X平片仅能发现3mm以上的分离。CT扫描可以克服X线片上重叠影和投照体位的干扰,轴向扫描图像上胫腓间隙内部被清晰地显示,测量相关数值与健侧对比能准确的判断是否存在下胫腓分离。


CT 诊断

2013年加拿大Nault等研究,判定腓骨有无旋转、侧方和前后移位,相对简单,可信度较高。


Marie-Lyne Nault利用CT

判定下胫腓有无分离文献

J Orthop Trauma Volume 27,Number 11,November 2013,638-641.



前七项测量数据


Nault等取胫骨关节面上1 cm作为基准测量平面(前七项):

(1)骨腓切迹最前端到腓骨最前端的最近距离(a);

(2)骨腓切迹最后端到腓骨最后端的最近距离(b);

(3)胫骨腓切迹中间的胫腓骨之间的距离(c);

(4)先在胫骨腓切迹最前端和最后端画一条连线,在这条连线中间画一条垂直线,测量腓骨前部到这条线的距离(d);

(5)同上,在最后测量腓骨后部到垂直线的距离(e);

(6)先和上述一样在胫骨腓切迹最前端和最后端画一条连线,然后通过胫骨腓切迹最前端画一条垂直线,测量其与腓骨前部之间的距离(f);

(7)骨腓切迹最前端和最后端的连线和通过腓骨前后部分的连线二者之间的夹角(θ1);

(8)取距骨关节面做基准测量平面,内外踝距骨关节面夹(θ2);



内外踝距骨关节面夹角(θ2)



测量参考数据


判定下胫腓是否分离,在胫骨腓切迹中间的胫腓骨之间距离(c)是最可靠的测量指标,平均为2.8 mm。指标a与b的比值均值为0.54。



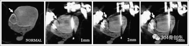
Taser等认为CT三维重建可以显示下胫腓关节的容积形状和大小,在诊断1 mm以内的下胫腓联合分离即具敏感性;当下胫腓联合分离为1 mm时,下胫腓关节容积可以增加43%,当分离>3 mm后,每增加1 mm下胫腓关节容积递增20%,且推荐CT三维重建可以作为下胫腓联合损伤手术前、后完整性评估的方法。



将下胫腓前韧带切断(箭头所指)

外固定架分离下胫腓

Taser F, Shafiq Q, Ebraheim NA.Three-dimensional volume rendering of tibiofibular joint space and quantitative analysis of change in volume due to tibiofibular syndesmosis diastases. Skeletal Radiol.2006 Dec;35(12):935-41.



胫骨关节面1cm做基准面测量

分别造成1、2、3mm下胫腓分离



相距1mm扫描共计20个平面

测量平面间下胫腓容积



下胫腓分离不同,容积变化明显


MRI 诊断

MRI能够直观看到下胫腓韧带损伤,敏感度较强,量化评价下胫腓分离逊于CT三维重建,一般CT检查足以诊断下胫腓分离,不必常规再行MRI检查,能更好节约医疗费用。



下胫腓前韧带对比



骨间韧带对比



骨间膜对比



下胫腓后韧带对比


术中影像诊断新方法

Chertsey 试验


踝部骨折术中如何判断下胫腓分离程度?最常用的就是“拉钩试验(Cotton test)”,透视观察下胫腓之间距离。当下胫腓固定后,胫腓骨远端位置是否妥当?拉钩试验难以评判。最好的方法就是术中CT检查,但目前不是所有的手术室均有术中CT,多是靠术后CT检查后判断,一旦发现下胫腓位置关系不正确,相当一部分需要重新翻修,增加了患者的痛苦,也增加了手术感染风险。简单可靠的评估方式亟需在临床上推广。



术中判定下胫腓稳定

常用的方法-拉钩试验



部分病例术后发现下胫腓关系错误

常常需要再次手术翻修调整


英国Boyd 等人提出在术中判断下胫腓联合损伤或腓骨复位情况的新方法-Chertsey 试验,该文发表在Injury 杂志。



Chertsey(切特西)位于英格兰萨里郡兰尼米德区的一个集镇,位于泰晤士河畔。该文作者所在医院位于该地区,故名“Chertsey 试验”



Boyd 文献-Chertsey 试验

Robert P.R., Syed Zuhair Nawaz, Arshad Khaleel.A new assessment for syndesmosis injury – The ‘Chertsey test’Injury. 2016 Jun;47(6):1293-6.



注射针头国际标准


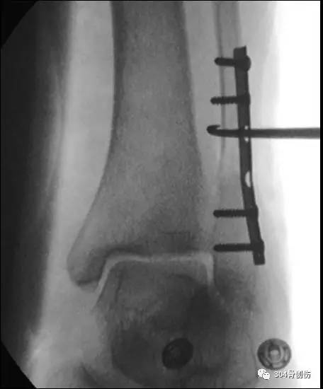
常规手术固定骨折,继而用细穿刺针(22G 腰穿针-相当于6.5号针头,内径0.41mm)在透视下插入踝关节前外侧关节腔,透视踝穴位下注入 2~4 mL 的造影剂(可以1:1盐水稀释)。若造影剂流向下胫腓联合区域,出现「泛溢」现象,说明造影剂渗至损伤的下胫腓联合。若无下胫腓联合损伤,造影剂则局限于踝关节区域,此即 Chertsey 试验阴性。



下胫腓无分离-关节腔内注入造影剂

下胫腓无造影剂泛溢

Chertsey 试验阴性



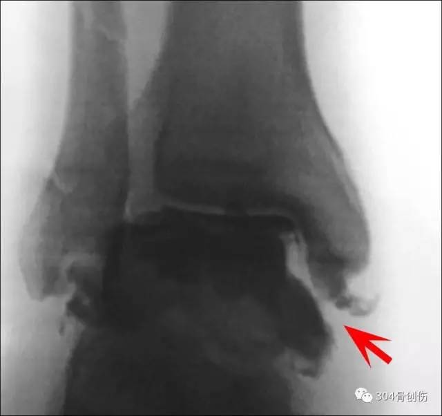
下胫腓分离-关节腔内注入造影剂

下胫腓出现造影剂泛溢

Chertsey 试验阳性



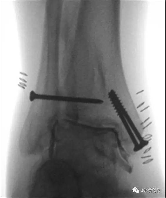
下胫腓固定准确-关节腔内注入造影剂

下胫腓无造影剂泛溢

Chertsey 试验阴性


造影剂有时可少量渗入至下胫腓联合,但仍可看到一个清晰的踝关节边缘,而非 Chertsey 试验阳性时的「泛溢」表现。 Chertsey 试验可重复检查腓骨是否解剖复位,造影剂一般可在 10~15 min 内吸收。

有时, Chertsey 试验可发现三角韧带嵌入现象,可内侧切开处理韧带嵌顿,继而行腓骨固定。



Chertsey 试验见三角韧带嵌顿


作者强调:Chertsey 试验只能用于判断下胫腓联合是否存在损伤。与拉钩试验相同,Chertsey 试验并不能预测损伤程度,只有骨间韧带完全断裂才表现 Chertsey 试验阳性,所以在下胫腓联合轻度损伤时可表现为阴性结果,此试验最大意义-术中检验下胫腓固定是否准确。

友情提示:造影剂应做过敏试验!



(文章及图片转载于:304骨创伤)




长按二维码加入我们



创伤网络学院

友情链接

Copyright © 2023 All Rights Reserved 版权所有 北京物流信息联盟