分享快乐,一切为您!欢迎向您周围的超声同仁分享我们的信息,共同进步、共同学习!
您的分享激励我们奋发向前永不止步!
![]()
关注我们的家园微信公众号:超声联盟
扫二维码
![]()
(超声联盟)官方网址http://www.chaoshenglm.88448.com
乳腺超声成像技术展望
![]()
![]()
![]()
![]()
![]()
![]()
在过去的十年中,乳腺和小器官超声成像的质量有了显著的改进。组织对比度的提高和细节的丰富主要归功于新的数字信号处理技术使超声应用更快捷和便宜。
然而人们常常忽略乳腺成像是超声应用的先驱领域之一。远在50年前Wild和Reed便开始用工作频率为15MHz的A超检测乳腺肿瘤。从此,乳腺超声成像技术经历了从静态B超到浸入式水路成像,再到实时手握式成像的演变,探头工作频率也从开始的5MHz,发展到7.5MHz,直至今天的10MHz及以上。
随着超声影像质量的稳步提高,某些医务人员已开始改进成像及诊断方式,以更有效地利用已有的信息。尽管1995年FDA确认可应用超声来诊断固态乳腺肿块是良性还是恶性,但许多医务人员和超声专家仍固守成规,仅运用超声来区分固态和液态肿块。任何成像模式要达到诊断的水平,必须依*新科技的发展而不断改进和完善。
![]()
![]()
![]()
![]()
一、乳腺超声技术近期的进展
乳腺超声技术近期的进展包括:
1. 超声探头上传感器数量的增加,提高了横向分辨率。
2. 探头工作频率提高到10~15MHz,进一步提高横向分辨率。
3.宽带超声探头和加宽的扫描频带提高了纵向分辨率,中心工作频率偏移及频率复合技术的应用降低了噪声。
4. 信号处理功能增强,可获得高质量、低噪声、高对比度的影像。
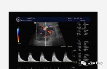
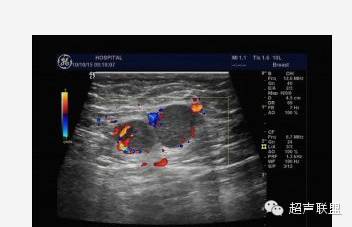
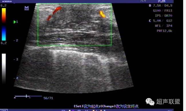
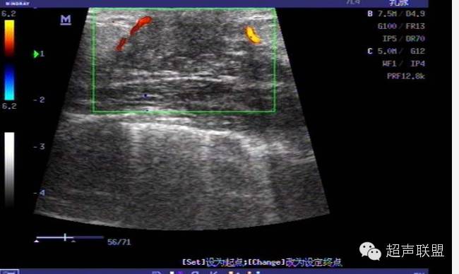
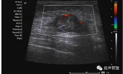
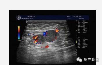
5.多普勒灵敏度和功率多普勒技术的改善,使观察乳腺内部的血管分布更为直接。在20世纪80年代初多普勒超声技术刚用于血管检测时,主要采用连续波多普勒,因为它有较高的灵敏度。乳腺肿块周围的血管内含有较高的血流速度被认为是恶性肿瘤的象征。现在,只需用彩色多普勒观察分布于肿块内外的血管数量即可作出同样的诊断。尽管对于多普勒信息的解释仍有异议,但多数研究者及ATL/FDA临床实验的结果确认了乳腺肿块中增加的血管分布预示了恶性肿瘤。
6.近年来最显著的进步当属1.5维扫描阵列,它具备在垂直于常规扫描平面的厚度平面上动态聚焦的功能,该特性极大地改善了*近探头的肿块区域的对比度。
![]()
![]()
![]()
二、新的扫描技术
随着超声影像的改进及新成像仪的使用,临床检测的方式也有了相应的进展。最为重要的是超声已被广泛用于固态肿块和乳腺癌的诊断。新的扫描技术应运而生,其中包括辐射扫描、挤压扫描以及成像之中的触诊。
1. 辐射扫描
辐射扫描对于乳腺导管间疾病的诊断极为有效。图2显示了在微张的乳腺导管内的一处固态肿块,若非沿着导管的纵轴方向观测,很难发现该肿块。相反探头若是沿着导管的方向,肿块便显而易见。
![]()
![]()
![]()
2. 挤压成像
挤压成像对诊断固态肿块十分重要,因为癌变区域的压缩形变较良性肿瘤小得多。有时固态肿块的声学特性相对于周围组织(尤其是脂肪)来说是一致的,因而只能*观测某块区域相对的挤压形变量来检测病变。
3. 触诊
扫描中的触诊可以在超声影像帮助下精确定位可触知的异常区域。触诊可以让检查者发现微小的病变区,同时也可以确定该异常是否由正常的乳腺组织如脂肪页片或由变厚的Cooper’s韧带所致。利用该信息,医生可以解释有关肿块的来由进而安抚焦虑不安的妇女。
随着新的超声扫描技术的出现,一些新的研究所和组织纷纷成立以帮助妇女获得高质量的乳腺超声扫描影像。美国乳腺超声医务人员注册处(American Registry of Diagnostic Medical Sonographers in Breast Ultrasound)主要关注先进的超声扫描技术并作乳腺超声操作人员的资格鉴定。美国医学超声研究所(American Institute of Ultrasound in Medicine,AIUM)的乳腺超声鉴定程序有助于保证那些不隶属于大影像中心的乳腺成像中心执行高质量的操作。如何帮助成像中心将新科技运用于临床实践中,还有很多问题有待解决。
![]()
![]()
三、新成像方法
在乳腺超声成像方面的一些新进展包括谐波成像、造影成像、弹力图、声学弹力图、二维传感器阵列以及三维超声成像。
1. 谐波成像
谐波成像是利用探头超声波的二次谐波成像。该技术可有效地抑制超声混响效应及其它近场噪声,但可能会限制穿透深度而导致分辨率下降,除非运用更新的宽带谐波成像技术。如图3所示液态肿块的内部回声在谐波影像中有所下降。
谐波成像减少了通常乳腺超声中可能出现的复杂液态和固态肿块的数目,同时提高了鉴定肿块为固态还是液态的准确性。该项技术也可能更清晰地定义病变边界——一个区分良性和恶性的重要特征。
![]()
![]()
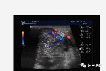
2. 超声造影剂
超声造影剂主要是采用大小为5~7mm的封闭气泡或固态粒子以显著增强反射信号,提高血流的可视度。造影剂也能适度提高组织的对比度,有助于在动态渗透研究中观测组织随时间的增强变化。当高能量超声束冲破微泡时,释放出的声学能量可以在彩色或功率多普勒影像中显现出来。这一现象被称为激励型声能发射(Stimulated Acoustic Emission),可用于探测在灰度影像中看不出来的病变。
使用造影剂的缺点在于造价高,并需要静脉注射。而且,灵敏度更高的多普勒仪器的出现使得血流信号的增强已不像过去那么重要。图4显示,在移植入肝脏中的实验性肿块上运用造影剂后,组织的对比度增强。类似的增强是否也适用于乳腺组织亟待研究。
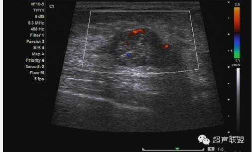
3. 振荡多普勒成像
振荡多普勒成像或声学弹力图,是从著名的震颤乳腺超声技术派生而来的(如图5所示)。在震颤检查中,用彩色或功率多普勒进行乳腺成像的同时要求病人发出声音。乳腺中松软的部份振动较大,而癌变区域和其它较硬的组织振幅小,形成影像中色彩较弱的区域。这样原来在B超中声学特性一致的区域,因其结构的疏密变得可以区分。振荡弹力图或振荡多普勒成像与此类似,不同的是用一个单独的传感器产生振荡。该传感器可产生不同的振荡频率,而成像系统里的定量功率多普勒算法可以计算出组织在每一频率上的振荡量。振荡多普勒成像用于观察组织的粘弹特性。
对于20个病人的初步研究表明,病变区域的振荡量随频率变化的规律十分复杂。病变肿块区并不是在任一频率都会比周围组织振荡得小。这或许能够解释震颤法临床所得的结果变化不一。不同的病人发出不同的音调,在特定频率下,病变区的振荡不一定与周围组织不同。而且,良性肿块振荡量随频率变化的范围很大。相反癌变区表现出少量的振荡,而且随振荡频率的变化很小。
![]()
![]()
![]()
利用良性和恶性肿瘤的振荡差异,我们有可能准确地诊断大多数良性肿瘤而不会把癌症误断为良性。图6所示为两个肿瘤的频谱图,一块为良性,另一块为恶性。良性肿瘤的振荡变化量随频率范围的增大而增大,而恶性的振荡变化量随频率变化很小,而且恶性肿瘤整体信号强度都很弱。值得注意的是,在某一频率范围内,恶性与良性病变的振动强度相同,使之变得不可区分。
![]()
![]()
![]()
4. 弹力图
弹力图是通过在组织上施加一个微小的压力,比较挤压前后的两幅图像而获得组织的弹性特征。运用互相关法处理挤压前后获得的数据可测定各个小块组织相应于探头压力所产生的位移量。这些挤压幅度很小,通常在0.2到0.6mm之间。乳腺组织位移变化率相对于施压探头距离的变化关系,即为应变图像,进而构成了最后的弹力图。
![]()
![]()
![]()
![]()
![]()
初期研究表明,良性肿块诸如纤维增生,纤维性囊肿节点在弹力图上不可见或几乎看不见。图7呈现了典型的纤维组织增生。癌症肿瘤因比周围正常组织硬得多,在弹力图中非常明显。
癌症区在弹力图中有三种不同的模式: 非常规范的一块硬(暗色的)肿块或小结;一块硬度适中的肿块或小节点,里面具有更硬的颗粒;或是非常暗或硬的中心区域环绕着一些较弱(较亮的)周边组织。弹力图对区分乳腺纤维化与癌极为有效。纤维化在B超上表现为回声较强的区域并附带后部声学阴影,与癌症区的B超影像极为类似。然而在弹力图中,组织纤维化通常表现为一片硬度适中的均匀区并没有更硬的中心核区,相反地癌变区会突现出一块清晰而不规则的高硬度区域。
初期的工作揭示了弹力图能正确区分大多数良性与恶性肿瘤。其主要原因是恶性肿瘤比良性肿瘤更硬或更暗,而且其宽度较良性肿瘤宽。由于碳塑反应(Demoplastic),恶性肿瘤在弹力图上比在普通B超图上显得大,因为碳塑反应在恶性肿瘤四周导致了一块硬度增强的区域。
![]()
![]()
![]()
![]()
![]()
![]()
观察弹力图上肿块外形的研究表明,测得的癌症横向尺寸总是比在普通B超上的大。良性肿块却常常比B超图像小或相近。利用回波信号的总体强度(组织的硬度)以及肿块在B超与弹力图中大小的差异可以正确地区分大多数的固态良恶性肿瘤。在先前的工作中,用这两个特征区分良、恶性肿瘤,其ROC弧线下的面积可达0.86,10例良性肿瘤中的6个被正确分类,而且未漏判任何一例癌症。这项技术可用来排除许多良性肿瘤的活性组织检查,从而降低乳腺癌诊断的花费和病人的痛苦。在过去的几年中,弹力图像质量有所改善,硬块边缘增强,其内部的分辨率也提高了。
5. 二维传感器阵列
二维传感器阵列现可用来产生三维超声图像。当然还有其他技术可用来产生三维超声图像,但其手段均很繁琐。三维超声的一个重要优点在于其允许快速和可复现的扫描,有助于解决在普查超声检查中的一些问题。超声普查非常有用,但对整个乳腺进行普查成像,对超声操作人员和医生而言都是极为耗时费力的。普查手段应该简单、便宜,最好无需医务人员在场。一个超声操作人员所作的三维超声普查,可以允许放射专家和医师从多个扫描平面(包括从射状平面)复查已采的三维数据。
随着超声新技术在实际临床运用中的不断发展,只要超声影像专家及声学专家积极地去迎接新技术而非刻意回避,现行的乳腺超声应用必将有所突破。乳腺超声成像技术和其他新的非超声技术的融合也至关重要,如何尽可能多地培训和鉴定相关的操作人员和诊所也势在必行。
![]()
![]()
![]()
![]()
浆细胞性乳腺炎
患女47岁,一周前洗澡时发现右略内陷,来诊。外科扪诊:于右乳腺乳晕正下方处扪及一硬结,质略硬,活动良好,轻微压痛。病史:患者无结核病及肝炎史,无家族肿瘤病史;曾有过多次乳肪胀痛,未去医院就诊,口服“乳癖消”等治疗乳腺增生的药物,好转后停用,量不详。现血常规化验未见异常。
声像图表现:于右乳腺相当于六点钟,距约1.5cm处见一大小约1.0x0.6cm低回声肿物,边界尚清,形态不规,周边可检出动脉频谱样血流信号,RI为0.67,余腺体回声粗糙,未见占位性病变。右腋下另见数个淋巴结,较大的为1.4x0.8cm,边界清,周边呈低回声,中心部呈高回声。
超声印诊:1.右乳腺低回声肿物,性质待定
2.右腋下淋巴结肿大
病理结果:浆细胞性乳腺炎
一、浆细胞性乳腺炎的临床特点:浆细胞性乳腺炎是一种乳腺非细菌性炎症。早期可无症状,或表现为浆液性分泌物,常见于中年妇女,病程迁延可达数年。临床可分三个阶段:①急性期:有红、肿、痛,乳腺内触及硬结,边界不清、有触痛;②亚急性期:症状减轻,硬结缩小;③慢性期:上述症状消失,仅留下界限不清、质硬的肿块。
二、浆细胞性乳腺炎的病理特点:早期病理仅见导管扩张;随病程进展,管壁增厚、纤维化、胶原变性;晚期导管周围发生小灶性脂肪坏死,伴大量浆细胞、淋巴细胞和嗜酸粒细胞浸润,以浆细胞浸润最明显。
![]()
![]()
![]()
![]()
![]()
签别诊断:主要是和乳腺Ca的签别,癌肿内还可以有“沙粒样”的微钙化灶,浆细胞性乳腺炎的病灶内血管多为低阻力型,RI一般小于0.70;乳腺癌的病灶内血管一般为高阻力型,RI多数大于0.70。(其机理是由于肿瘤血管在解剖结构上缺乏肌层,且没有一般血管从近端到远端逐渐变细的特点,导致局部受压,使血管阻力升高;而浆细胞性乳腺炎则无上述特点)。当图象上两者有交叉不好区分时,结合病史是最关键的,浆细胞性乳腺炎既往可有红、肿、热、痛的病史,急性期和亚急性期的结节有触痛,常有导管扩张,慢性期的结节可存在数年之久,抗生素治疗无效时,应想到本病的可能性;乳腺癌患者常无症状,仅触及包块,病史短,不伴导管扩张。
泌乳性腺瘤:怀孕和哺乳期间,管状腺瘤的上皮细胞呈现广泛的分泌变化,即可诊断为泌乳性腺瘤,提示此类病变是由局部小叶增生所致。泌乳性腺瘤亦可发生在哺乳后。
管状腺瘤:由小管致密增生形成的通常呈圆形的良性结节。典型的小管结构由上皮和肌上皮层构成,上皮细胞与正常静止期乳腺上皮细胞相似。主要发生于年轻女性,月经来潮前和绝经后女性少见。管状腺瘤占腺瘤占乳腺良性病变总数的0.13%-1.7%。泌乳性腺瘤患者往往是哺乳期妇女,她们在哺乳时或之前怀孕时发现局部逐渐形成硬结。超声表现与纤维腺瘤相似。
乳腺疾病良性和恶性的超声鉴别:
1、肿块长轴是否垂直皮肤表面。
2、是否有微小钙化,即沙粒样微小钙化。
3、彩色血流混乱,无特征,或血供丰富。
4、胸小肌旁淋巴结肿大,腋窝淋巴结肿大。
5、肿块周边呈蟹足样。
6、回声极低,后方增强效应不明显或有声衰减。从你提供的情况看,上述情况都没有,纤维瘤的诊断应该不成问题。不要过多地担心和恐慌。因为医学是高风险行业,超声诊断有很多的不确定因素,一些医生出于自身考虑,下结论时不予肯定是可以理解的,如果不放心,你还可以定期随访,看看瘤体的变化,也可以采取穿刺活检等方法、进一步确定病灶的性质。为了让你较为全面了解乳腺肿瘤,提供如下资料供你参阅,相信能够让你有所收获。
![]()
![]()
![]()
![]()
![]()
![]()
![]()
![]()
癌
癌是妇女常见的恶性肿瘤之一,其发病率在我国占各种恶性肿瘤的7~1O%,仅次于子宫颈癌。发病年龄以40~60岁居多数。男性癌的发病率极低。
早期癌病人无任何不适,仅在内有一个比较小的肿块,不痛、不疼,也无变化,大多是在医生作体格检查时发现,少数是由病人无意中自行摸到后再请医生确诊。因此,为了早期发现癌,特别是中年妇女应经常自己检查内有无肿块存在。正确的检查方法是将手指伸直并拢进行扪摸,而不是手指抓提,以免将正常的乳腺组织误认为是肿块,如发现内有可疑的肿块,必须请医生检查,并作必要的化验,包括钼靶X线摄片、活体组织切片检查,以明确诊断。
由于早期癌的肿块较小,如不提高警惕,容易被病人忽略,肿块就逐渐增大,侵入周围皮肤或肌肉,与之粘连固定;内缩、抬高,有时有血性液体溢出,这是癌肿浸入大的乳腺导管所致;皮肤是橘皮样变,腋窝淋巴结肿大,质坚硬。晚期癌肿块直径超过5厘米,甚至溃烂,不仅腋窝淋巴结肿大,锁骨上淋巴结、胸骨旁淋巴结 和对侧液窝淋巴结也可肿大。癌细胞也可通过血液转移到肺、骨或肝脏。癌在妊娠期发展特别迅 速,癌肿呈现炎症性,红肿充血、发热、犹如急性乳腺炎,容易误诊,也说明癌的发病与性激素的变化有关。至于癌发病与生育和哺乳究竟有何关系,目前意见尚不一致。癌在肿块中占的比例最大,而且良性肿块也有恶变可能,因此,对妇女肿块应提高警惕,仔细检查,以防误诊、漏诊。癌应与小叶增生病和纤维腺瘤相鉴别。
治疗癌的方法甚多,包括手术、放射、激素、抗癌化疗和中草药等,但目前疗效最满意最可靠的方法仍是早期手术,其他方法只能作为辅助措施或癌晚期不能手术时采用。手术时可先将肿块局部切除,立即作冰冻切片检查,证实是癌后,才进行根治手术。
![]()
![]()
![]()
![]()
乳腺肿瘤的发病原因有哪些?
乳腺肿瘤的发病原因目前不明,现将一些影响发病的因素叙述如下:
(1)年龄:乳腺肿瘤多发于40~60岁,占全部患者的75%左右,20岁以前患者罕见。
(2)卵巢功能:乳腺受卵巢激素的调节。雌激素是乳腺发育的基本刺激素,亦是乳腺肿瘤发病的先决条件之一。有人认为,雌酮和雌二醇的异常增加与雌三醇的缺乏是乳腺肿瘤的发病原因之一,已得到临床检查的支持与动物实验的证明。而且男性乳腺肿瘤患者少见,约为女性患者的1%,此亦说明可能与男性无卵巢激素有关。
(3)结婚、生育及哺乳:临床上发现独身妇女患乳腺肿瘤较已婚妇女为多,婚后从未生育者其乳腺肿瘤发生率较已生育者亦高,而生育后从未哺乳者或哺乳不正常者(哺乳期过短或过长)的发生率比正常哺乳者高。乳腺在一生中都处于内分泌激素影响下,所以结婚、生育及哺乳与乳腺肿瘤的发生有一定关系。
(4)遗传因素:临床上发现有的乳腺癌患者有家族史,有母女及姐妹同时或先后患乳腺肿瘤的情况,但这一观点目前有不同的看法。
如何进行乳腺检查?
乳腺肿瘤的诊断,首先应详细了解病史,包括既往史、月经婚育史及家族史,然后进行全身检查,最后检查乳腺,乳腺检查主要是视诊和触诊。
(1)视诊
①患者上衣应脱尽,面对光线。
②观察乳腺是否对称及发育情况(如青春型、肥大型、发育不良型、老年萎缩型等),然后观察各处有否隆起及下陷等异常情况。
③的皮肤是否正常,有无皮肤粘连、水肿、发红或破溃等。
④部位、大小是否正常,有无凹陷、裂口、糜烂、溃破、溢液及其他病变。乳晕的大小、着色深浅,有无发红、水肿、糜烂等。
⑤乳腺肿物的部位、形态、是否破溃等。肿瘤深位者不易察看,表浅者容易看到。
⑥腋窝、锁骨上下是否膨满,有无副乳腺。
(2)触诊
①先检查健侧,而后检查患侧。检查时注意用手掌和手指轻轻按揉,切勿用手指抓捏。
②检查腋窝有无肿大淋巴结,若有肿大淋巴结,表明淋巴结有转移。
③检查锁骨上下窝淋巴结,若有肿大淋巴结,说明可能已有远处淋巴结转移。
④检查,卧位或坐位均可,自锁骨下方开始,按顺序平行轻巧触摸,直达下界。若发现肿物,应详细记录肿物部位、大小、形状边界、硬度、压痛及活动度等。除以上情况外,还需注意和的收缩现象。
⑤溢液的检查:由周围向轻轻按压,而后按压乳晕和,注意有无液体流出,特别是血性液体流出。并注意是一个乳管口还是几个乳管口。
乳腺的良性肿瘤有哪些,如何治疗?
(1)乳腺囊性增生病:乳腺囊性增生病是指乳管或腺泡的上皮增生及增生上皮处的乳管扩张或形成囊肿。此病好发于40岁前后的妇女,但青年妇女及年迈老妇亦可患之,自发病到就诊时间长短不一,最短者仅数日,最长者十余年。此病肿物是主要症状,可有4种不同表现:
单一肿块:多为大囊肿所致,边界清晰,可自由推动,常可确定为囊肿。除非囊内容物过多,张力较大,或肿块深位而误认为实性。囊内容物多清亮,如并发感染则内容混浊。若引起周围组织粘连,邻近时可使回缩。
多数肿块:是多个囊肿所致,触诊为多发囊性结节,可累及全乳。
乳腺区段性结节:此结多呈三角形,底边位于边缘,尖端指向。
溢液(血性或浆液性):乳腺检查无明显阳性发现,但按压乳腺周围区的某些部位(相当于一个乳腺腺叶或几个腺叶),可引起一个乳管或几个乳管溢液。
此病乳腺疼痛多不显著,为钝疼或刺疼,当乳管开始扩张时可伴疼痛。
采用中医疏肝理气,化痰通络,活血化瘀及西医激素治疗,效果不佳时,可切除并作病理检查。切除原则为病变区的切除,如病变广泛可酌情全乳腺切除;如果手术后病理检查发现有癌变,则补加根治术。
![]()
![]()
![]()
![]()
(2)乳腺纤维瘤:乳腺纤维瘤是青年妇女最多见的良性肿瘤,大多为无疼性肿物,多在无意中发现;初期较小,但生长较快,长达3cm时生长缓慢或停止生长;呈圆形或卵圆形,边界清晰,多较隆突,扁平者较少,表面不甚光滑,细触之为小结节状,有些呈明显分叶状,中度硬,多无压痛,可自由推动。
乳腺纤维瘤手术切除效果良好。但乳腺纤维瘤可重复发生,一次手术切除后,可以使乳腺其他部位再发生。如连续不断新生乳腺纤维瘤,则手术难以为继,而患者也常拒绝手术治疗。此时可试用雄激素治疗,月经停止后1周开始口服素,至下次月经开始前结束,每日小剂量,总量不超过100mg为宜。治疗期间,以不使月经周期紊乱为度。
(3)乳腺大导管状瘤:乳腺大导管状瘤是指自导管开口起至壶腹以下约1cm的一段乳管所发生的状瘤。以单发为主,多发者少见。临床上乳腺检查可表现为溢液、疼痛、触及肿物三种情况,溢液涂片细胞学检查,可见红细胞和上皮细胞,有时可见瘤细胞,但常常不能确定良性或恶性。
以溢液为唯一临床表现的乳腺大导管状瘤,处理原则如下:①单纯一条导管溢液,可将该点局部切除,若按压某区段导致溢液,可行区段切除。②多乳管溢液,年老者可行全乳切除,年轻者宜行区段切除。③切除标本做病理检查,最后根据病理检查,再决定是否补加其他治疗。
状瘤出现以下临床表现,治疗方法如下:①有出血者,可行大导管摘除术。②乳晕旁有小结节者,可将该结节切除。③乳腺中部有明显囊性肿物,尤其瘤体较大时,凡临床诊断不明者,中年以上妇女,宜行全乳切除术,若瘤体较小者,则局部切除即可。
大导管状瘤癌变者甚属罕见,故不宜视为癌前病变。大导管状瘤局部切除术后复发者很少,故对采用全乳切除治疗要慎重选择。
自我检查发现乳腺癌的三种方法是什么?
美国癌症协会推荐了一个三步骤的自我检查方法,这种方法适用于20岁以上的妇女,每月做一次,每次检查最好在月经后进行:
(1)在淋浴或洗澡时,用指尖轻轻抚摸两侧和腋下部位,注意有无异常肿块。
(2)脱去上衣,站在镜子前,抬起手臂检查一下轮廓、皮肤、等是否有变化。将两臂下垂,插腰,观察两侧是否等高、对称,、乳晕和皮肤有无反常。
(3)上身裸露,水平仰卧,一只手臂弯曲枕着头,另一只手检查对侧有无肿块、硬结,有无增厚部分。检查时手指以圆圈形式在上移动,先上部再四周,最后腋窝,按顺序认真触摸。具体方法是:手指平放,用手指掌面轻轻扪摸,不要用手抓捏,否则会将抓起的腺体误认为是肿块。
自我检查乳腺的步骤有哪些,预防乳腺癌的要点是什么?
(1)自我检查乳腺的步骤如下:
①对镜自照;
②双臂举起,检查两乳是否对称;
③平卧,垫一平的枕头在左肩下,将左臂举起;
④用右手手指平着轻轻下压,检查左乳内侧和;
⑤检查左乳下方,注意乳腺的边缘;
⑥将左臂放下,沿乳腺外缘继续向上检查,包括腋窝的顶部;
⑦检查外上方;
⑧检查外下方。
(2)乳腺癌的预防要点有以下5点:
①提倡适龄结婚(23岁以后)适龄生育(24~30岁),母乳喂养一年至一年半;
②避免饮食偏于高脂肪高热量,增加食物纤维素成分的含量;
③积极治疗乳腺良性疾病,尽量早期摘除良性肿瘤,如纤维瘤、乳管内状瘤等,密切观察乳腺囊性增生病;
④建议进行“红外线乳腺扫描仪”乳腺癌普查,该仪器诊断符合率高达95%以上;
⑤提倡自查。
![]()
![]()
![]()
早期自查乳腺癌的要点有哪些,晚期表现有哪些?
(1)早期自查要点
①30岁以上妇女每1~2个月自查一次,最好在两次月经之间最少充血时进行。
②乳腺癌高发区——的外上方是重点检查区,其次是中心区。
③检查时,只能以平伸的手指轻轻按下,反复触摸,不能抓捏,正常的乳腺组织极易抓捏成“肿块感”,平按的乳腺组织呈扁平而柔软或隐现条索感,而不是包块、肿物感。
④自查不能用力推拉,因为真正的恶性肿瘤受到推拉挤压时易造成癌细胞的扩散。
(2)晚期乳腺癌表现
①乳腺肿块迅速增大,肿块活动范围越来越限制,渐因与周围组织相连接而固定下来,肿块的外形不规则,周围边界不清楚,表面不光滑,质地比周围的乳腺组织明显发硬,自觉虽无疼痛感,但触压时有隐痛不适感。
②外形改变。双侧不对称,病侧外形比健侧大,局部有突出隆起或凹陷、歪斜、抬高等畸变。亦变歪或略向上翘,或内陷直至消失,或糜烂直至缺损。
③“橘皮样变”和“酒窝征”。晚期乳腺癌,局部皮肤出现水肿变硬,形似“橘皮”,是乳腺癌的典型特征。
④溢出血性或脓血性腐败物,皮肤溃破形成溃疡面,这种溃疡恶臭,极易出血,外形凹陷如弹坑,或外翻似菜花。
![]()
![]()