北京物流信息联盟

肝内胆管结石超声

2022-03-25 07:27:05

点上面蓝色字  即可免费订阅!

幸福小编微信号2733056433

新朋友阅读本文前,请您先点击箭头上面的蓝色字体“超声联盟”,再点关 注这样您就可以继续免费收到最好看的文章了,每天都有分享,完全是免费订阅,请放心关注。

1.肝内胆管结石


肝内胆管结石是胆管结石的一种类型,是指左右肝管汇合部以上各分枝胆管内的结石。它可以单独存在,也可以与肝外胆管结石并存。一般为胆红素结石。肝内胆管结石常合并肝外胆管结石。本病可引起严重并发症,是良性胆道疾病死亡的重要原因。肝内胆管结石可弥漫存在于肝内胆管系统,也可发生在某肝叶或肝段的胆管内,且左叶明显多于右叶。患者症状一般不典型,在病程的间歇期多无症状,或仅表现为右上腹部轻度不适;在急性期则可出现急性化脓性胆管炎的症状(黄疸、畏寒、发热等)。肝内胆管结石的诊断比较复杂,除根据患者的临床表现外,还可通过B超和经皮肝穿刺胆管造影(PTC)检查,以显示肝内胆管结石的分布和肝胆管的狭窄及扩张情况。此外,CT检查对肝内胆管结石也有重要的诊断意义,特别是对于并发胆汁性肝硬化和癌变者。肝内胆管结石常并发胆管梗阻,容易诱发局部感染及继发胆管狭窄,使结石难以自行排出,病情迁延不愈。


2概述

胆管结石分为原发性和继发性两种。原发性胆管结石是指原发于胆管系统(包括肝内胆管)内的结石,结石的性质大多为含有多量胆红素钙的色素性混合结石,胆囊内一定存在结石。在我国,胆管结石多数属于这一类。继发性胆管结石是指胆囊内结石通过扩大的胆囊管进入胆总管而形成的结石,结石的形状和性质多与胆囊内的结石相同,多数呈多面形的胆固醇混合结石。继发于胆道感染的结石的外层带有胆红素钙沉着。


  肝内胆管结石是胆管结石的一种类型,是指左右肝管汇合部以上各分枝胆管内的结石。它可以单独存在,也可以与肝外胆管结石并存。一般为胆红素结石。肝内胆管结石常合并肝外胆管结石。肝内胆管结石不仅是常见病,更重要的是由此引起的严重并发症,是良性胆道疾病死亡的重要原因。


  肝内胆管结石该病的病因比较复杂,与肝内感染、胆汁淤滞、胆道蛔虫等因素有关。肝内胆管结石可弥漫存在于肝内胆管系统,也可发生在某肝叶或肝段的胆管内,且左叶明显多于右叶。在临床上,肝内胆管结石患者的症状一般不很典型,在病程的间歇期多无症状,或仅表现为右上腹部轻度不适;在急性期则可出现急性化脓性胆管炎的症状(黄疸、畏寒、发热等)。肝内胆管结石的诊断比较复杂,除根据患者的临床表现外,还可通过B超和经皮肝穿刺胆管造影(PTC)检查,以显示肝内胆管结石的分布和肝胆管的狭窄及扩张情况。此外,CT检查对肝内胆管结石也有重要的诊断意义,特别是对于并发胆汁性肝硬化和癌变者。肝内胆管结石常并发胆管梗阻,容易诱发局部感染及继发胆管狭窄,使结石难以自行排出,病情迁延不愈。



3.病理生理

左右肝管汇合形成肝总管。右肝内胆管分为右前叶肝管、右后叶肝管;左肝内胆管分为左内叶肝管及左外叶肝管。肝内胆管结石易发生于左肝管起始部,肝管狭窄伴管腔扩张、堆积结石。还多见于右前、后肝管汇合成右肝管开口处,胆管结石堆积。正常胆道在PTC、ERCP时直径0.7~1.0cm,管径<0.06cm考虑硬化性胆管炎,管径>1.0cm考虑胆道梗阻,病因为胆管结石、肿瘤、良性狭窄等。肝内胆管轻度狭窄指胆管最大直径超过最小直径1倍以下。重度狭窄指胆管最大直径超过最小直径1倍以上。


  肝内胆管结石几乎全是胆红素钙石,由胆红素、胆固醇、脂肪酸与钙组成。可为双侧肝内胆管结石,也可限于左肝或右肝,左肝内胆管结石较右肝多见。


  肝内胆管结石与肝内胆管狭窄、扩张并存,因此有胆汁的滞留。狭窄于两侧肝管均可见到,以左侧多见,也可见于肝门左、右肝管汇合部。少数病例仅有肝内胆管结石并无胆管狭窄。



4.发病机制

肝内胆管结石的发病原因与胆道的细菌感染、寄生虫感染及胆汁滞留有关。

感染是导致结石形成的首要因素,感染的原因常见的是胆道寄生虫感染和复发性胆管炎,差不多所有的肝内胆管结石病病人的胆汁培养均可检出细菌;感染细菌主要是来源于肠道,常见的细菌是大肠杆菌及厌氧菌。大肠菌属和一些厌氧菌感染时产生的B-葡萄糖醛酸苷酶和在胆道感染时产生内生性葡萄糖醛酸苷酶,能使结合型胆红素水解生成游离胆红素而沉着。


胆汁滞留是肝内胆管结石形成必要条件,只有在胆汁滞留的条件下,胆汁中的成分才能沉积并形成结石。引起胆汁滞留有胆道炎性狭窄和胆道畸形;在梗阻的远端胆管内压力升高,胆管扩张,胆流缓慢,有利于结石的形成。


  此外,胆汁中的粘蛋白、酸性粘多糖、免疫球蛋白等大分子物质,炎性渗出物,脱落的上皮细胞、细菌、寄生虫、胆汁中的金属离子等,均参与结石的形成。

肝内胆管结石的诊断较复杂,除根据上述临床表现外,以往的手术发现和X线造影的结果,常为确定诊断的主要依据。X线造影中主要应用直接胆管造影法,如PTC和ERCP,特别是前者,能清楚地显示肝内胆管结石的分布情况,以及了解有无肝内胆管狭窄、完全阻塞或局限性扩张,对诊断和指导治疗有很重要意义。


B超检查虽不如PTC或ERCP确诊率高,又不能帮助了解结石分布等详细情况,但在诊断肝内胆管结石仍有80%的准确性,其最大优点是方法简便且为无损伤性检查,故目前常作为肝内胆管结石的首选诊断方法。CT由于费用昂贵,又对肝内胆管含钙量较低的色素性结石的诊断正确率并不高于B超检查,一般较少应用。


另外,可以通过手术探查来诊断,即在手术中仔细探查肝内胆管,这是肝内胆管结石最可靠的诊断方法。手术中除顺序探查肝外胆管外,还应注意肝脏的触诊,特别是左肝叶的检查,有时还应用双合诊的检查方法,检查肝脏内有无结石存在。用取石钳、T管冲洗等方法探查肝内胆管;术中胆管造影常是肯定肝内胆管结石的诊断手段,并能用以指导和选择手术方式;术中胆道镜检查能在直视下看到肝内胆管分支内的结石,有时还能通过胆道镜用结石篮和气囊导管等取出结石。


肝内肝管结石的临床表现很不典型。在病程间歇期,可无症状,或仅表现为上腹轻度不适。但在急性期,则可出现急性化脓性胆管炎的症状,或不同程度的Charcot三联征,多数可能是合并的肝外胆管结石所造成。在无合并肝外胆管结石的病人,当一侧或一叶的肝内胆管结石造成半肝或某一肝段的肝内胆管梗阻,并继发感染时,可出现畏寒、发热等全身感染症状,甚至在出现精神症状和休克等急性重症胆管炎的表现时,病人仍可明显的腹痛和黄疸。体检可扪及肝脏不对称性肿大和压痛,常易误诊为肝脓肿或肝炎。这种周期性的间歇发作是肝内胆管结石的特征性临床表现。


B超诊断

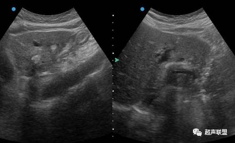
 B超为无创性检查,方便易行,是肝内胆管结石诊断的首选方法,一般估计诊断准确率为50%-70%。肝内胆管结石的超声图象变化较多,一般要求在结石远端的胆管有扩张才能作出肝内胆管结石的诊断,因肝内管道系统的钙化也具有结石样的影像表现。


  肝内胆管结石的诊断不受肠道气体的干扰,诊断的准确性优于肝外胆管结石。诊断正确率70%~80%。但肝内胆管分支较多,不仔细扫描易漏诊,而且还要与肝内钙化点相鉴别。B超对肝内钙化点与肝内胆管结石鉴别困难在于,如果肝内点状、团状回声,其后若有声影,并不是典型的条索状回声,其后拽有声影,那么单纯依靠B超诊断肝内胆管结石比较困难。应结合其它手段综合判断。


  B超诊断肝内胆管结石典型的图像是条索状回声,其后拽有声影,其远端胆管明显扩张,可为结石引起的胆道梗阻及并发的胆管狭窄所致。有报道术中B超的应用(术中于肝脏面、膈面全面超声扫描)可提高肝内胆管结石的诊断率达91%,残石率降至9%。




选择性逆行胰胆管造影(ERCP)、胆道子母镜、胆道镜的临床应用

ERCP可选择性胆管造影,对肝内胆管结石具有较高的诊断价值。可清晰显示肝内胆管结石,确定结石的部位、大小、数量,肝内胆管的狭窄或远端扩张。但应注意以下几点: 

(1)ERCP时,注入造影剂要充足,充分显示肝内胆管,才能明确诊断肝内胆管结石。


  (2)在ERCP胆管显影后,可头低足高位、俯卧位,使肝内胆管充分被造影剂灌注和显影。


  (3)可使用带气囊的导管,在ERCP胆管显影后,把位于十二指肠部位的气囊充气或充水,堵住,使造影剂不会流入肠道,肝内胆管充分显示。对肝内胆管结石诊断价值较大。


 最近,有学者报告:ERCP双重造影可提高胆囊结石的诊断。方法是在ERCP胆管显影后,注入适量的空气。对肝内胆管及其2级分支充盈良好,预计对肝内胆管结石应有较好的影像显示。对未切除胆囊的患者,注入空气约5~10ml,若胆囊已切除的患者,注入空气约2~3ml。


  胆道子母镜是通过母镜的活检管道放入较细的子镜。母镜的活检管道直径5.5mm,子镜的外径4.5mm。只用母镜行ERCP,然后对十二指肠做高频电切(ECT),一般是小切开0.5~1.0cm或对十二指肠行扩张,便于子镜进入胆总管,可直接观察胆总管、1~2级肝内胆管。可判断肝内胆管结石是否存在及大小、部位、数量,肝内胆管是否有狭窄、扩张等。具有较大的诊断价值。但由于胆道子母镜较贵重,易损耗,不易普及。


  胆道镜包括术前、术中、术后三种方式。术前胆道镜是光做PTC,每周更换较粗的导管,5~6周后窦道形成。然后从窦道进镜,直视肝内胆管,可诊断肝内胆管结石,并行取石治疗。术中胆道镜是在手术中切开胆总管,从切口进镜 观察肝内胆管结石并行取石治疗。术后胆道镜是经手术后“T”形引流管形成的窦道进镜(一般术后6周),诊断肝内胆管结石并治疗。胆道镜检查对肝内胆管结石明确的诊断及治疗价值。

辅助检查 编辑

  胆道测压 通过胆道测压可以了解胆汁通过胆道排泄是否正常。对于某一分支肝内胆管结石,胆道测压的临床意义不大。但对左右肝管接近肝门部位的结石伴胆管狭窄,可发现胆汁排泄不良,在病变上方引起胆管扩张、胆汁潴留,胆道压力增高。现在已有电子胆道测压仪精确的测量胆管内的压力,应根据病情选择使用。


  核素闪耀扫描 常用核素 99m Tc,静脉注入后经网状内皮系统摄取后,排泄入胆道。扫描时可分层、定点,获得三维图像,显示与邻近结构的关系,对诊断提供较好的依据。但对肝内胆管结石的诊断不理想。


  选择性腹腔动脉造影 观察动脉血管是否存在移位、受压、中断及异常血管影。对于鉴别诊断肝胆管癌、胆囊癌效果好,但对肝内胆管结石的诊断不理想。而且动脉造影要求一定的设备,操作繁琐,技术条件要求高,不作为肝内胆管结石的首选方法。

肝内胆管结石病的主要病理改变是胆道梗阻和感染;由于肝胆管系统与肝脏实质细胞的直接关系,重症肝胆管炎常伴有严重的肝细胞损害,甚至导致大片的肝细胞坏死,成为了良性胆道疾病死亡的主要原因。肝内胆管结石的并发症包括急性期并发症和慢性期并发症。


总结重点:肝内胆管结石和钙化灶的重点区别

一般要求在结石远端的胆管有扩张才能作出肝内胆管结石的诊断,因肝内管道系统的钙化也具有结石样的影像表现。

 

   

超声医师集团视频课堂QQ群: 476831996

每晚视频讲座,欢迎加入。

销售售后微信;caogl123

                     S6xChen

销售售后热线:04755678777

实体书店售后热线:0258471051

网店负责人微信:ZHQ15965396362

记得点赞和赞赏,就是下面的小手,

工作微信2733056433,商务微信csysjtsw,欢迎广告合作投放,投稿。


商务洽谈手机号码18871343642,欢迎一起,真诚合作。



友情链接

Copyright © 2023 All Rights Reserved 版权所有 北京物流信息联盟