北京物流信息联盟

X线、CT、核磁、B超的区别

2021-12-31 06:32:34

X光

X光会穿过人体,遇到被遮挡的部位,底片上不会曝光,洗片后这个部位就是白色的。

X光最大缺点是受制于深浅组织的影像相互重叠和隐藏,有时需要多次多角度拍摄X光片。

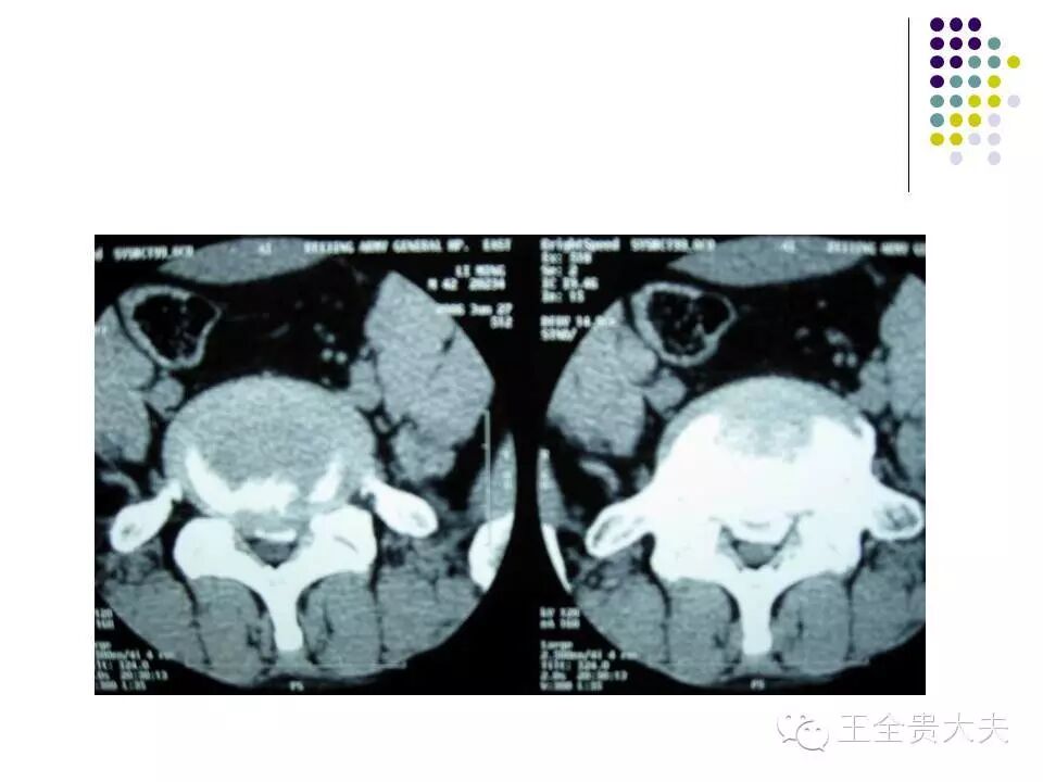
CT

CT的检查原理是X光会分层穿过人体,之后通过电脑计算后二次成像。优点是可以分层看,经计算后可以显示出更多的组织信息。

核磁共振

核磁共振机使用较强大的磁场,使人体中所有水分子磁场的磁力线方向一致,这时磁共振机的磁场突然消失,身体中水分子的磁力线方向,突然恢复到原来随意排列的状态。简单说就相当于用手摇一摇,让水分子振动起来,再平静下来,感受一下里面的振动。所以,核磁共振(MRI)也被戏说为是摇摇看的检查

B超

B超的原理是用超声波穿透人体,当声波遇到人体组织时会产生反射波,通过计算反射波成像。就像挑西瓜一样,边敲边看显示病灶情况。

四种影像方式分别应用于何种检查?

就诊时,医生常会开各种各样的影像学检查单:超声、CT、核磁……不少患者会质疑医生故意开高价检查单。其实,医生是依据不同病情选不同影像检查的。

1、外伤骨头——粗看X光片、细看CT

各种外伤,如果怀疑伤到了骨头,优先选择X光照片,检查结果快速易得。若要进一步观察,可以选择CT。超声、核磁对于骨皮髓质等看不大清,一般不选择。

2、颈椎腰椎——最佳选核磁、次选CT

颈椎病、腰椎间盘突出等椎间盘疾病需要观察椎间盘与相应的神经根,要想更好观察这些软组织,最优选择就是核磁。同样,对于关节、肌肉、脂肪组织检查,核磁也是首选。

3、胸部——粗看X光片,细看CT

X光胸片可粗略检查心脏、主动脉、肺、胸膜、肋骨等,可以检查有无肺纹理增多、肺部钙化点、主动脉结钙化等。

胸部CT检查显示出的结构更清晰,对胸部病变检出敏感性和显示病变的准确性均优于常规X光胸片,特别是对于早期肺癌确诊有决定性意义。但是CT检查的辐射剂量高于X光。核磁对于肺部疾病的诊断,应用非常有限。

4、腹部盆腔——除肠道外,一般超声都能查


腹腔器官受呼吸影响较大,进而影响到CT、核磁成像,而超声不会因此受影响。同时,超声对肝脏、脾脏、胰腺、肾脏、盆腔脏器等诊断准确率较高。


但是超声受气体干扰很大,对于肠道等含气较多的器官,超声诊断准确率会降低。

5、心脏——排除冠心病用CT,看心功能用超声

常规的心脏结构与功能检查,心脏彩超所提供的信息已经较为充分,又简单易行。


用CT可检查冠状动脉,但冠脉CT检查辐射量较大,不适合作为常规体检。核磁虽无电磁辐射,但对冠状动脉的观察不及CT。心脏核磁则是评价心脏结构和功能的“金标准”。

第八届“三全循法针刀”及“专利针镰刀”微创实用技术研修班




时间:2017年4月28---5月2日(28日上午报到)

主办单位:

北京全贵微创医学技术研究院

承办单位:

北京朝阳中西医结合急诊抢救中心  


培训地址:

北京朝阳中西医结合急诊抢救中心

(北京市朝阳区西大望南路周庄123号)

民航总医院

(北京市朝阳区 朝阳路高井)






一、培训特色


1、专家荟萃,一流师资。汇聚中日友好医院、北京军区总医院、北京中医药大学专家、教授及医学博士授课,强大的师资力量在针刀业界首屈一指。


2、源自实践,注重实践。理论讲解均来自老师的临床实践,在实用的理论基础上注重实操,在三级医院临床带教,可观摩、学习大量的各类病例和微创治疗技巧。


3、立体教学,务实求真以手术解剖为基础,精准定位、靶向治疗,治疗点少,安全高效。实行“微创技术临床带教实操、老师临床经验讲解”立体教学模式。现场讲解针刀解剖入路,拓宽学员视野。临床带教"三全针刀"、“专利针镰刀”操作,并演示典传中医手法。理论知识讲解为老师多年从事针刀临床的经验分享与独到见解。立体教学模式避免纸上谈兵,让学员学得会、用得好!





二、课程安排



1、三全针刀、针镰刀微创医学技术原理及操作方法

三全循法针刀+神经触激术治疗六种类型颈椎病

腰椎间盘突出症、膝关节疾病动态解剖及三全循法针刀的微创靶点治疗

专利针镰刀微创、神经触激联合治疗三叉神经痛、面瘫、面肌痉挛

 专利针镰刀快速治疗狭窄性腱鞘炎、网球肘

三全循法针刀治疗各种肩周疾病

蝶腭神经节、神经触激等综合疗法治疗鼻炎的操作技巧

专利针镰刀+神经触激治疗脑瘫操作技巧

专利针镰刀靶点微创治疗踇趾外翻

三全循法针刀、专利针镰刀微创联合疗法治疗股骨头坏死

2、针刀新技术(王全贵教授原创 “绝技”)

三全针刀新方法:循法有效避开针刀对神经及血管的损伤王全贵教授独创);

专利针镰刀疗法突破传统微创理念将不可治变为可治疗(国家专利号ZL02203503.6);

独创修护新手法配合三全针刀治疗颈椎病的特殊修护手法王全贵教授独创);

专利针镰刀疗法独创循法结合神经触激术特色疗法(美容美体、男性专科)

微创治疗新技巧:O型腿、拇指外翻、脑瘫、股骨头坏死、腋臭专利针镰刀特效);

三全针刀新技术:触激术结合蝶腭神经穿刺(综合特效治疗多种鼻炎)。

注:根据学员临床所遇到的问题,可以调整并加课。



三、授课专家



王全贵:北京军区总医院骨科专家,针刀、疼痛专家,原北京军区总医院东院骨科主任,疼痛治疗中心主任。

北京全贵微创医学技术研究院讲师团讲师:

胡向林: 医学硕士 研究院优秀讲师

张    昶:航天中心医院 医学博士



四、主讲老师




王全贵,毕业于广州解放军第一军医大学。北京军区总医院骨科专家,针刀、疼痛专家,原北京军区总医院东院骨科主任,疼痛治疗中心主任。担任多家医院特聘专家。获科技成果二等奖2项,获国家专利九项。曾荣立三等功3次,被北京军区树为学习成才标兵。

(一)个人专长:

微创手术:发明专利针镰刀结合骨科手术微创治疗狭窄性腱鞘炎,拇外翻,斜颈,小儿脊柱侧弯,腋臭,斑痕挛缩等病变。创新循法针刀,治疗各类疼痛、骨质增生有奇效,并大大提高了安全性,避免了副损伤。以其“用时短、不开刀、不包扎、不住院、费用小”赢得广大患者的信赖和好评。独创股骨头坏死微创减压松解术、骨性关节炎膝内翻V--L截骨术,临床应用效果良好。

在骨质疏松性椎体压缩骨折微创治疗、三瘫(脑瘫\偏瘫\截瘫)微创治疗、颈腰椎经皮低温等离子消融术、强直性脊柱炎微创治疗、椎间孔镜微创手术、关节镜技术等方面也很有造诣。各大媒体多次报道。

开放手术:对骨科创伤、各类骨病、断肢、断指手术有独到之处。成功进行了8指断指再植手术及多例高位断肢再植手术。中央电视台、北京电视台予以报道。

(二)个人优势:

王全贵老师具有丰富的骨外科、显微外科手术经验,平时既拿大刀做开放手术,又拿针刀做微创手术,从事针刀治疗,在临床活体解剖上非常有优势,确保针刀的安全性、精准性,疗效显著。

(三)社会任职:

中华骨科理事、中华中医药针刀学会副主委、中医药促进会针刀学会副主委、

世中联针刀专业委员会副会长、、慢病学会腰腿疼痛分会执行会长、北京市针刀委员会副主委,全国针刀专家组成员,中国针刀杂志副主编,、全军针刀专业委员会副主委。




五、学员待遇



1、培训班结束后,可以来北京多家三级医院进修学习,由王全贵教授亲自带教。老学员复学只需交场地费,座位费即可。

2、优秀者可加入研究院,提供发展平台。

3、学员结业后回当地,研究院全方位帮助学员建设科室,提高学员的业务水平和病人量。

4、符合条件的学员,可授权所在单位、科室成立研究院诊疗基地,研究院长期提供技术帮带。

5、所有学员都可加入研究院远程辅导中心,临床诊疗问题随时可向博士讲师团请教,治疗病例可与大家一起分享、交流。



六、技术推介










七、招生对象




凡从事中西医外科、骨伤科、软伤科、针灸科、推拿按摩科、康复科、理疗科、麻醉科等各级医院、门诊、诊所的临床医生均可报名参加。




八、收费标准



6800元/人,其中包括“专利针镰刀”技术转让费学费资料费学习期间临床实践证书费、研究院笔记本、手提包等。食宿统一安排,费用自理。

注:参加本次培训的学员,学习结束后颁发结业证书。


九、培训报名

1、报名电话:

张老师:15711378226(微信同)

刘老师:15711376826(微信同)

王老师:13366696405(微信同)

2、报名时间:即日起开始报名,截止2017年4月27日。



十、历届回顾







友情链接

Copyright © 2023 All Rights Reserved 版权所有 北京物流信息联盟