原帖发布于丁香园论坛
【第一部分】血小板的检测原理
PLT检测方法介绍(来自希森美康官网)
血小板计数是临床检验常见项目之一,其结果的准确性对临床的诊断与治疗起着决定性作用。现如今,随着仪器的发展,血小板的检测方法越来越多,下面重点介绍一下Sysmex血球仪三种不同检测方法的优缺点。
一、电阻抗法(PLT-I)
原理:当不同于电解质的检测颗粒通过检测小孔时,会形成脉冲,脉冲振幅越高,体积越大,脉冲数量越多,检测颗粒数量越多(仅根据颗粒大小来区分血小板)
优点:计数粒子较多,重复性好。
缺点:
1、小红细胞、碎片会导致计数结果假性增高。
2、大血小板,微小血小板,聚**导致假性减低。
![]()
通过计算图中绿色虚线内部分,分别计算血小板数和红细胞数,正常情况下,红细胞体积明显大于PLT,两者是不会相互干扰。
【笔者注】迈瑞的血球仪,常规也是用电阻抗法检测血小板计数
RBC、PLT直方图
![]()
当直方图存在异常时,如PLT尾部太高等,就会干扰plt的计数。所以电阻抗法是无法排除小红细胞,细胞碎片,巨大血小板,血小板聚集等带来的干扰,目前技术的鞘流,浮动界标,拟合曲线等都只能一定程度的降低干扰,还是无法真正排除,因此碰到直方图异常时点阻很多抗法血小板计数是不可信的。
二、光学法(PLT-O、PLT-F)
原理:通过核酸荧光染色法(荧光强度区分红细胞),激光散射(前向散射光区分大小)多维度分析。
![]()
PLT-O散点图
(1)PLT-O:通过对网织红核酸成分的染色的过程中,也对血小板进行染色
优点:可以有效去除小红细胞、红细胞碎片干扰。
缺点:
1,颗粒计数比不上PLT-I,精密度比不上PLT-I;
2,白细胞碎片会导致PLT-O结果假性增高。
【笔者注】迈瑞的血球仪(如BC6800/6900)若配备网织红细胞染液,也能检测PLT-O
![]()
PLT-F散点图
(2)PLT-F:单独PLT-F通道,专门对血小板进行染色,而且对血小板进行5倍颗粒分析技术。
优点:
1, 选择性染色血小板,故网织红细胞难以染色,避免红细胞碎片影响,特异性强;
2, 5倍颗粒分析计数,提高检测结果精密度,使低值血小板更精确;
3, 可以有效排除微血小板的干扰;
4, 高灵敏度地检出血小板凝集。
【笔者注】只不过配备PLT-F试剂的检验科恐怕不是很多吧,下文也不会谈及该方法
来源:http://www.sysmex.com.cn/index.aspx?lanmuid=85&sublanmuid=711&id=625
【第二部分】血小板直方图
首先要注意,血小板直方图只在阻抗法检测血小板时才能获得,以光学法检测时只能获得散点图
血细胞直方图:血细胞产生的脉冲高度与血细胞体积大小成正比,经换算后,转换成与细胞大小相应的数字,按体积大小储存于体积通道,血细胞分析仪根据它们的体积大小,出现的相对频率,以坐标轴的曲线图表示出来,从而形成血细胞直方图。
直方图的X轴或横轴从左至右表示仪器通道排列范围,可以看作是细胞特定体积大小,以飞升(fl)为单位。横轴的大小范围因为仪器的型号不同而有所差异。直方图的Y轴或纵轴代表一定体积大小范围内的细胞相对频率(百分率表示)。直方图给出一个直观的图形,让我们对血细胞的正常与否有一个基本概念。根据图形特征、动态变化、与其他各项参数进行分析,可以辅助判断检验结果是否可靠,乃至能给临床提供诊断参考数据,对某些疾病的诊断和疗效观察具有一定的指导意义。
血小板直方图:反映血小板体积大小分布的一个曲线图,正常的血小板直方图呈偏态分布(如下)
![]()
左移表示血小板体积偏小,右移表示血小板体积偏大。
以上这些都是基础知识,一般的本科教材都会写到。我要谈的内容一般本科教材上没有,很多书上也没有。
![]()
51(来自北京协和医院检验科张时民新浪微博):这个是典型的小红细胞干扰血小板计数问题,你可以看到红细胞直方图明显左移,且与血小板直方图交接处没有触及底线。
![]()
下图来自人民卫生出版社的图书《实验技术的惑与获》:
![]()
52(来自北京协和医院检验科张时民新浪微博):这个是血小板聚集导致的血小板假性减少问题。血小板数量不多,左边峰低矮,右边锯齿状,多数是因EDTA抗凝剂因素导致的假性减少。也是我们工作中最主要防范的问题。
![]()
下图来自人民卫生出版社的图书《实验技术的惑与获》:
![]()
53(来自北京协和医院检验科张时民新浪微博):这种图形提示大血小板增多,特别是右侧可见平缓至略有升高的现象。此图并非小红细胞干扰导致,注意MCV测定值。此时可开启光学法检测血小板,或者使用荧光染色通道测定。
![]()
下图来自人民卫生出版社的图书《实验技术的惑与获》:
![]()
【第三部分】具体案例
案例一(51的类型)
这种情况多见于小细胞性贫血,比如缺铁性贫血。但并不是说大细胞性贫血就见不到,比如下面的例子
该病例血小板计数161
![]()
![]()
该病例的红细胞直方图,显得十分怪异
![]()
血小板直方图也不正常
![]()
这样的血小板直方图,提示其血小板计数结果是不可信的,因其与红细胞直方图交接处没有触及底线(后面提供的XN1000的直方图能更直观地看出来),可能存在小红细胞或大血小板——可能是把大血小板计入了红细胞,也可能是把小红细胞计入了血小板,此时必须涂片镜检,搞清是那种情况
本例MCV 114.2,属于大细胞性贫血,似乎不可能是把小红细胞计入了血小板?
但涂片镜检,可见明显的红细胞大小不均
![]()
![]()
![]()
手机拍照的效果不如CELLDIFF血细胞形态分析仪...请大家见谅
![]()
![]()
![]()
![]()
有些红细胞特别小,不比血小板大,采用阻抗法检测红细胞/血小板的仪器显然是不可能很好区分的
此时有两个选择,①手工计数血小板;②采用光学法计数血小板
我选择了②,使用希森美康XN1000的网织红细胞通道检测该标本
![]()
![]()
XN1000直接按照光学法检测出的PLT-O报告了血小板计数
![]()
这里能明显的看到,血小板/红细胞直方图交界处,非但没有触及底线,反而抬到了很高的位置
![]()
网织红细胞通道的参数,得出PLT-O为125,我们按此报告了该患者的血小板计数
【讨论】大细胞不均一性贫血,也有可能出现小红细胞干扰血小板计数的情况。
案例二(52的类型)
某住院患者的血常规结果,血小板47,危急值了
![]()
![]()
血小板直方图,峰的右侧不平滑,有锯齿状刺突,提示可能存在血小板聚集;仪器也确实有血小板聚集的报警
![]()
EDTA依赖性血小板聚集各位应该有所听说,碰到这样的情况,我认为有必要常规排除之
初次碰到这样的情况,我会找寻该患者是否检测凝血(枸橼酸钠抗凝)和干生化(肝素抗凝),有是再好不过的了。如果没有,我会电话咨询病区护理人员和管床医生,询问其是否有出血的表现/引起血小板减少的疾病等因素;如果没有,会常规建议重新采集两管血:一管是EDTA抗凝,另一管是枸橼酸钠抗凝(如果必要,再增加肝素抗凝的),并提醒护理人员尽量做到采血顺利,及时/充分的混匀。
![]()
重采集一个血常规管和一个凝血管,手动上机检测,血常规管没什么改善,而凝血管的血小板计数为115
![]()
![]()
血小板直方图,峰的右侧明显比之前检测的要平滑
![]()
科里配有CELLDIFF自动血细胞形态分析仪,于是分别取EDTA抗凝管和枸橼酸钠抗凝管中的血,涂片染色,让仪器进行分析。
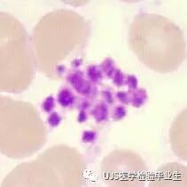
EDTA抗凝管的分析结果:在白细胞分类界面中,仪器辨认出数量可观的血小板聚集现象
![]()
![]()
![]()
![]()
![]()
![]()
![]()
枸橼酸钠抗凝管则一切正常,无论是红细胞界面还是白细胞界面均未发现血小板聚集,也就不特别发图了。
综合分析,我们认为可以按照枸橼酸钠抗凝管检测的结果发报告。
【讨论】我做血常规数个月,个人的经验是:真正的EDTA依赖性血小板聚集相当少见,大部分情况还是采血问题,一旦护理人员注意了采血顺利和混匀,大部分病例的血小板聚集就会减弱乃至消失
需要注意的是,因为蓝色头盖的枸橼酸钠抗凝管要求抗凝剂与血液的比例为1:9,所以血液被稀释了约10%,所以
①如果你想直接检测凝血管报告结果,红细胞/血红蛋白/白细胞/血小板计数等均需要乘以1.1(图3蓝管的检测结果,RBC/Hb/WBC等,的确比图1中下降了约10%)。
②你也可以这么做,血小板数据采用枸橼酸钠抗凝管的检测结果,但血小板计数需要乘以1.1;而红细胞/白细胞的数据采用EDTA抗凝管的检测结果
案例三(53的类型)
一个门诊患者的血常规,仪器是迈瑞BC6800,检测到血小板只有48,危急值了...
![]()
![]()
血小板直方图异常;这种图形,提示的是大血小板
![]()
鉴于该标本的血小板直方图图形异常,再用阻抗法检测不可信
我使用希森美康XN1000的网织红细胞检测通道,用光学法检测血小板。
![]()
![]()
结果得到血小板计数为101,和迈瑞做的48差了50+...哪一个更可信呢?
![]()
下面就按照复检规则染色涂片,让CELLDIFF的血细胞形态分析仪进行分析
![]()
![]()
![]()
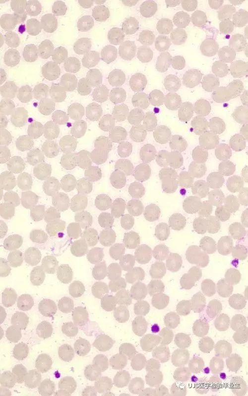
结果发现,该例患者的血涂片中,血小板并不少见,没有聚集;最突出的特点是大血小板非常多,正常大小的血小板不多
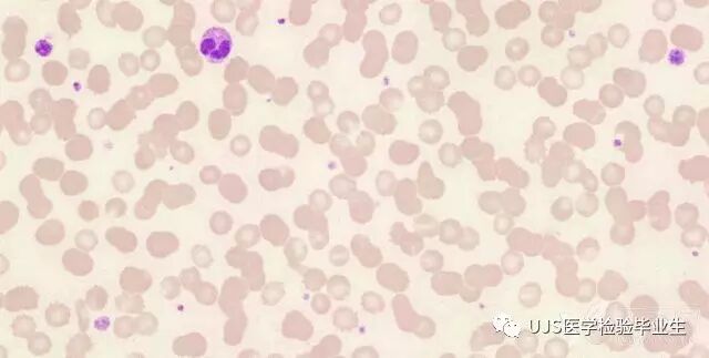
上面的三图是红细胞分析界面中的情况;而在白细胞分类界面中,仪器辨认出一些特别大的血小板
![]()
↑这个血小板不比白细胞小多少
![]()
![]()
↑这个血小板比红细胞都大了...
![]()
![]()
![]()
![]()
![]()
结合血涂片和两台仪器的检测结果,我们认为XN1000提供的PLT-O检测结果(101)比较可信,按照XN1000提供的PLT-O计数报告了该患者的血小板计数值
【讨论】新浪微博上的相似案例
@检验侦察兵:下图是一位孕妇的血涂片,血常规结果SYSMEX XN1000和西门子2120i检测血小板数均在19一63之间!结果很低或低,但血片中血小板一点也不少,大血小板较多,仪器无法识别它,导致结果假低丶不要过分相信仪器结果,也不能怪仪器不准!目前没有一台仪器能认细胞!
![]()
![]()
![]()
笔者第一次在公众号写作,加上才疏学浅,文章的不足在所难免,恳请各位读者批评指正,谢谢!