北京物流信息联盟

宫外孕超声诊断

2021-06-06 15:21:17

宫外孕超声诊断

孕卵在子宫体腔以外的部位生长发育,称为宫外孕。包括输卵管妊娠,宫颈、卵巢以及腹腔等部位的妊娠。据统计,98%的宫外孕是输卵管妊娠。宫外孕是常见的妇产科急腹症之一,若不及时诊治会危及病人的生命。以下几点有助于发现宫外孕早期症状:

  ①宫外孕早期症状和体征:病人多有停经史,有时停经后可出现少量不规则阴道流血。宫外孕的破裂或流产多见于妊娠40天左右,出现下腹部剧烈疼痛。由于宫外孕破裂可引起急性大出血,导致病人的血压下降,出现晕厥或休克状态。10%的病人出现肩痛,是由腹腔积血反射性地刺激脯神经所致。

   ②宫外孕早期症状辅助检查:放射免疫测定BhCG可以协助诊断早期未破裂的宫外孕。超声检查可以发现官腔内无妊娠囊,而在子宫外见到,从而有助于早期诊断。后穹窿穿刺或腹腔穿刺,抽出不凝血,有助于诊断宫外孕破裂。近年来,人们应用腹腔镜在直视下观察盆、腹腔脏器,可以早期发现未破裂的病例。诊断性刮宫检查子宫内腹以及检测病人血中妊娠特异性B1—糖蛋白,也有助于早期诊断宫外孕。

  宫外孕又叫异位妊娠,就是怀孕,是不会来月经的。尽管两者着床的地点不一样,但怀孕产生的孕激素拮抗妇女正常分泌的雌激素,使之子宫正常的激素调节发生改变。 宫外孕其主要症状有:停经、腹痛、阴道流血(并非月经血,是因为胚胎死亡后所致的,色暗红或深褐,量少呈点状,一般不超过月经量,只有少数量较多,类似月经。阴道流血可伴有蜕膜管型或蜕膜碎片排出,系子宫蜕膜剥离所致)、晕厥与休克(失血过多)、腹部包块 异位妊娠流产或破裂后诊断多无困难 

       宫外孕会来月经,但是宫外孕的话会有少量的阴道流血,黑褐色,伴有腹痛,很多女性认为这是来月经了。


宫外孕早期症状hcg

很多人认为hcg升高提示怀孕可能,而宫外孕早期症状hcg比前一天成倍升高,其实这不是准确的,要确定宫外孕早期症状可通过下面的检查: 

  1、腹部检查。 有明显内出血时,下腹有压痛及反跳痛,尤以患侧为著,但腹肌紧张轻微,出血较多时,叩诊有移动性浊音。若反复出血并积聚黏连包裹,可形成包块并不断增大变硬,下腹部可触及包块。 

   2、妇科检查。 输卵管妊娠未发生流产或破裂者,除子宫略大较软外,可能触及胀大的输卵管并有轻度压痛。输卵管妊娠流产或破裂者,阴道后穹窿饱满有触痛,宫颈举痛或摇摆痛明显,子宫稍大而软,内出血多时,检查子宫有漂浮感。 

   3、超声诊断。B型超声检查对宫外孕的诊断尤为常用,阴道B超检查较腹部B起程检查准确性更高。 

   4、诊断性刮宫。 在不能排除宫外孕时,可行诊断性刮宫术,获取子宫内膜进行病理检查。 

   5、后穹窿穿刺。 后宫窿穿刺辅助诊断异位妊娠被广泛采用,常可抽出血液放置后不凝固,其中有小凝血块。若未抽出液体,也不能排除宫外孕的诊断。 

   6、腹腔镜检查。B超检查后即可对早期宫外孕作出诊断。但对于部分诊断比较困难的病例。


宫外孕破裂是妇产科最常见的急腹症之一,严重危及患者的健康和生命。B超作为诊断宫外孕破裂的重要检查手段,已被广泛使用。熟练掌握宫外孕破裂出血的声像图特点,并与有关疾病鉴别,既能为临床选择有效的治疗方案提供可靠依据,减少宫外孕破裂的误诊率和病死率,又可避免一些不必要的手术,减轻对患者的损伤。


通过宫外孕超声的表现,提高宫外孕早期诊断率,减少宫外孕破裂的误诊率,对异位妊娠进行早期临床干预,预防其严重并发症及降低孕产妇死亡率。经腹壁及阴道超声检查,对于附件区见胎囊、胎芽、胎心搏动或者见附件包块伴腹腔积液征的超声图像对宫外孕的诊断阳性率很高。且超声检查能对宫外孕作出较准确的诊断,为临床治疗提供相关信息具有较高的临床价值。

宫外孕是受精卵在宫腔以外的器官或组织中着床发育。宫外孕亦称为异位妊娠,是妇产科常见的急腹症之一,以输卵管妊娠多见,也可发生在卵巢、腹腔、阔韧带、宫角及子宫颈。宫外孕在流产或破裂前,往往无明显症状,诊断比较困难。少数病人停经后有早期妊娠反应,有的病人在下腹一侧有隐痛或酸坠感。尿妊娠试验多为阳性。破裂后主要症状是腹痛,病人突感下腹一侧有撕裂样或阵发性疼痛,持续或反复发作,常伴恶心呕吐,当血液积累在子宫直肠窝处可引起肛门坠胀和排便感。出血量多时,可出现昏倒与休克。输卵管妊娠中止后,常有阴道不规则出血,点滴状,深褐色,血量不超过月经量。

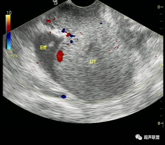
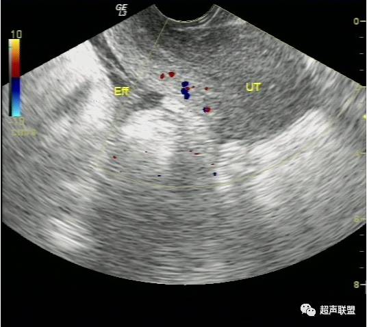
在耻骨联合上方做纵切、横切、斜切观察子宫形态、大小、子宫内膜厚度、宫腔内有无妊娠囊,双侧附件区及盆腔有无明显包块及液性暗区。并观察肝肾间隙、脾肾间隙及腹腔两侧有无液性暗区。

超声检查声像图特点:

(1)子宫增大或轻度增大,子宫内膜不同程度增厚,宫内未见妊娠囊。

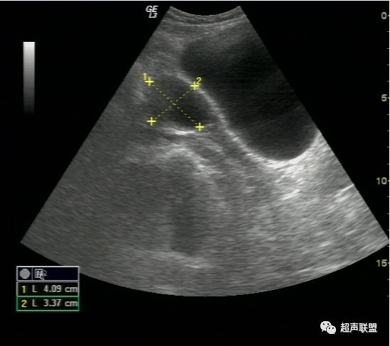
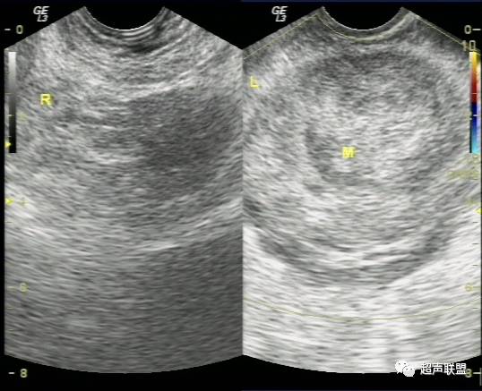
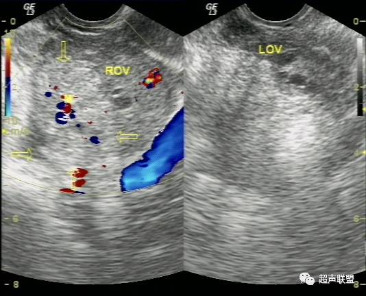
(2)一侧附件区可探及不均质包块,包块形态欠规则,边界不清楚,回声紊乱。

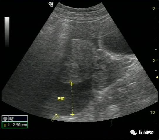
(3)陶氏窝:可见多少不一不规则的液性暗区,暗区中有密集点状回声。

由于卵巢黄体破裂、卵巢囊肿破裂、盆腔炎性包块临床症状表现为下腹疼痛,声像图表现为附件的混合性包块及盆腔积液,与宫外孕破裂出血的声像图有许多相似之处,因此不易鉴别,宫外孕破裂出血一般需要立即手术治疗,否则有生命危险;而黄体破裂、卵巢囊肿破裂由于出血量相对较少,一般可暂时选择保守治疗,观察后跟据情况再决定下一步治疗;盆腔炎性包块则大部分通过抗炎治疗即可治愈。因此仔细鉴别上述疾病,才能为临床适当的治疗方案提供准确依据,降低宫外孕破裂出血的误诊率和死亡率,同时又可避免一些不必要的手术,减轻对患者的损伤。


宫外孕破裂出血的声像图 宫外孕发生率占妊娠的0.5%~1%,其中95%为输卵管妊娠。常与输卵管炎、输卵管手术后输卵管不同程度粘连、受精卵移行不畅有关。输卵管妊娠时由于缺乏完整蜕膜,孕卵植入后,其绒毛借蛋白分解酶的作用直接侵蚀管壁肌层,因输卵管管壁薄弱,不能适应受精卵的发育,当受精卵发育到一定程度后,常引起流产或破裂。由于输卵管肌层血管丰富,短期内即可大量出血使患者陷入休克。由于破裂口周围形成凝血块或未凝血液,从而超声表现为形态不规整、边界不清楚、回声紊乱的混合性包块,并有盆腔积液,积液中含血细胞形成的密集点状回声。 


鉴别诊断 由于卵巢黄体破裂、卵巢囊肿破裂、盆腔炎性包块临床症状均表现为下腹疼痛,声像图表现为附件的混合性包块及盆腔积液,与宫外孕破裂出血的声像图有许多相似之处,因此不易鉴别。而上述各种疾病的治疗方案是不同的:宫外孕破裂出血一般需要立即手术治疗,否则有生命危险;而黄体破裂、卵巢囊肿破裂由于出血量相对较少,一般可暂时选择保守治疗,观察后根据情况再决定下一步治疗;盆腔炎性包块则大部分通过抗炎治疗即可治愈。因此仔细鉴别上述疾病,才能为临床选择适当的治疗方案提供准确依据,降低宫外孕破裂出血的误诊率和死亡率,同时又可避免一些不必要的手术,减轻对患者的损伤。


分析其误诊原因及鉴别诊断如下:

(1)一方面由于医生或检查者询问病史不详,另一方面是因为患者病情危重,甚至休克,对停经史及病史叙述不清,甚至个别尿HCG呈假阴性而造成漏诊;有的患者月经周期不规则,而HCG假阳性,误把不规则月经当作早期宫外孕流产阴道出血,腹痛加重时误认为宫外孕破裂;还有患者未做常规妇科检查及尿HCG检验,直接送B超检查,而仅根据超声所见臆断,结果既有漏诊,又有误诊。

(2)卵巢黄体破裂一般无盆腔包块,但如于黄体附近形成血凝块,与破裂黄体混合形成包块时,是最不易与宫外孕破裂鉴别的疾病之一,特别是与卵巢内异位妊娠破裂不易鉴别。因其声像图均表现为附件区混合性包块,阴道检查则发现包块均位于卵巢内,盆腔液性暗区均有密集点状回声等出血征象。但黄体破裂子宫大小正常,子宫内膜为分泌期内膜,而无蜕膜反应性增厚。其临床资料无停经史,破裂腹痛时多发生于月经中后期,常因腹部重击、及妇科检查引起。盆腹腔积液相对较少,而尿或血HCG检查常阴性。

(3)附件炎性包块,患者多为持续下腹疼痛,无突然腹痛加重史,多伴较多的黄色白带而非不规则阴道流血,部分伴发热,无明显腹膜刺激征,血象多增高。临床亦无停经史,查尿HCG阴性。超声检查其子宫体积可稍大,肌层回声不均,无子宫内膜增厚。阴道超声检查可发现其盆腔液中有粗细不一的炎性渗出纤维析出性条状光带,而非密集点状回声。

(4)卵巢囊肿破裂,患者过去多有囊肿病史,突发剧烈腹痛亦多有重击、及妇科检查等诱因。巧克力囊肿则多有痛经病史,由于其囊壁较厚一般不容易破裂,但当月经期出血量多时仍可以破裂。超声检查发现其子宫大小亦多正常,子宫内膜不厚,患者亦无停经史,尿HCG检查阴性。  总之,宫外孕破裂出血是妇产科最常见的急腹症之一。出血量大者,病情特别危急,需要立即做出诊断和鉴别诊断,以便采取适当而有效的治疗措施。对于一个临床主要表现为下腹剧烈疼痛,超声表现为附件或盆腔混合性包块,伴有盆腔甚至腹腔积液的妇科急症患者,检查者应该想到上述疾病。超声声像图注意观察子宫大小、子宫内膜厚度、盆腔积液的内部回声等。并尽可能详细询问月经史、性生活史及临床病史,结合尿或血HCG检查、血常规检查等,进行综合分析判断。随着超声仪技术的发展,阴道彩色多普勒检查的应用,宫外孕包块内滋养层血流的检测,将更有助于宫外孕破裂的诊断及鉴别诊断。


宫外孕破裂出血是妇产科最常见的急腹症之一。出血量大者,病情特别危急,需要立即作出诊断和鉴别诊断,以便采取适当而有效的治疗措施。对于一个临床主要表现为下腹剧痛,超声表现为:子宫轻度增大,子宫内膜不同程度增厚,宫内未见妊娠囊;一侧附件区可探及不均质包块,包块形态欠规则,边界不清楚,回声紊乱;陶氏窝可见多少不一不规则的液性暗区,暗区中有密集点状回声。盆腔甚至腹腔积液的妇产科急症患者。检查者应该想到上述疾病。并尽可能详细询问月经史、性生活史及临床病史,结合尿或血HCG检查、血常规检查等,进行综合分析判断。随着超声仪技术的发展,阴道彩色多普勒检查的应用,宫外孕包块内滋养层血流的检测,将更有助于宫外孕破裂的诊断及鉴别诊断。


总负责人微信1号:18671356132

网店负责人微信2号:ZHQ15965396362

销售售后微信3号:caogl123

人事、器械、营销微信4号:S6xChen

医学实体书店微信5号:njyxsd

论文、科研微信6号:38451046

销售售后咨询热线电话:04755678777

实体书店售后热线:0258471051

商务合作热线:18871343642

实体书店热线:13951996894

论文科研热线:18268823730


超声医师集团视频课堂 QQ群476831996

医疗应聘招聘QQ群 345878246

超声医师集团考试QQ群 285936340

超声医师集团论文科研QQ群523703368



 



超声医师集团综合编辑(版权归原作者)

合作联系微信:18671356132   

             电话:18871343642



友情链接

Copyright © 2023 All Rights Reserved 版权所有 北京物流信息联盟