北京物流信息联盟

【病例】下颌骨骨内腺样囊性癌

2022-08-01 15:04:16


大家最近有没有注意到下方菜单有变?除了栏目整合外,往期所有内容均可以点击查看了! 另外,为了今后提供更符合您兴趣的内容,小助手恳请各位医师大侠们在此回复“交流”,根据引导来聊聊您想要的史克牙医汇:)


腺样囊性癌(ACC)是一种唾液腺来源的恶性肿瘤。其临床特点表现为无痛性浸润性生长。有较高的局部复发及远处转移性。据文献报道,腺样囊性癌占头颈部恶性肿瘤的比例不足 3%,发生在下颌骨内的腺样囊性癌至今只报道了 26 例。中南大学湘雅二医院任振虎等医生报道了一例转移性下颌骨骨内的腺样囊性癌。


患者23 岁女性,因右侧下颌骨肿胀伴疼痛就诊,该患者诉近 6 个月来,右侧下颌骨迅速增大,并出现疼痛。此患者 4 年前在当地医院行左侧腮腺肿块切除术,术后病检结果报告为:筛孔状 ACC。


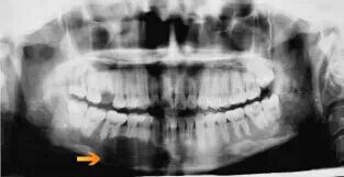
体格检查发现:右侧下颌骨可扪及一 2*4cm 大小肿块,质硬,不可活动,与周围组织分界欠清。表面皮肤无红肿溃烂。左侧腮腺区可见腮腺手术术后瘢痕。未扪及肿大淋巴结。全景片示:右侧下颌第一前磨牙至下颌右侧第一磨牙骨质边界不清的边界,累及牙齿呈浮动的牙齿外观,有牙根吸收。


CT 示下颌骨溶骨性破坏,病变累及的牙齿牙根吸收。病变下颌骨骨皮质未见侵蚀。


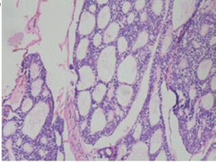
活检结果显示,肿瘤细胞呈筛状生长模式,由基底样细胞深染棱角核包围假性囊肿,使整个结构呈现出典型的“瑞士奶酪”样


手术切除右侧下颌骨,游离腓骨皮瓣 + 重建钛板重建术后缺损。


术后切除组织送病检,回报 ACC。患者术后进行放疗,至今随访 10 个月,未见复发及转移倾向。


ACC 本身具有的特殊性,因此临床上诊断 ACC 存在着一定的挑战。虽然说 ACC 具有一定的共性,如沿神经浸润生长及容易向远处发生转移,但每个患者又有其特性,任振虎医生报道的这个病例中给出了两个重要的提示:


第一,并不是所有的囊状溶骨性病变是转移或复发的必要条件,并且在同一时间,即使两种肿瘤表现出相似的组织学特征,但是它们可能起源并不相同。


第二,尽管 ACC 这种肿瘤的确切起源不详,。



本文转自丁香园,原标题《下颌骨骨内腺样囊性癌一例》,原作者 范腾飞。仅供行业专业人士参考及交流,不代表本账号赞同其观点,也不代表对文中涉及到的药理或实验操作过程做过验证,不视为医疗意见或建议。本账号不对上述摘录的完整性、准确性和真实性负责。


查阅信源请点击下方阅读原文浏览全文。


- - - - - - - - 亲 密 的 产 品 昏 割 线 - - - - - - - -


此内容仅限与口腔专业人士沟通使用。


分享 点击右上角图标分享到朋友圈即可让更多好友了解口腔健康知识。

关注 搜索公众号史克牙医汇yayihui,小助手会提供丰富的行业资讯及病例等讯息给您。

关键词 关注本账号后,您就可以与小助手互动了。


回复牙医帮帮忙,可查阅往期问答内容。

回复热门推荐,看看会有什么出现吧:P


热文标题一览

·【揭秘】舒适达专业修复牙膏背后的真相

·【窝沟封闭】合格父母的必修课

·【警惕】这些坏习惯,竟致口腔癌?!

·【必知】最毁牙7件事

·【妙招】8张图轻松自检牙齿健康

友情链接

Copyright © 2023 All Rights Reserved 版权所有 北京物流信息联盟