北京物流信息联盟

静脉入路栓塞舌下神经管区硬脑膜动静脉瘘一例---浙二神外周刊(第119期)

2023-05-25 17:04:50

“浙二神外周刊”每周病例回顾,提出最优化的临床治疗分析和随访指导意见。专业讨论意见仅代表浙二神经外科团队观点,如有不同见解,欢迎同道斧正!每期讨论病例资料及整理均为“浙二神外周刊”原创,“浙二神经外科”授权官方合作新媒体《神外资讯》发布,其他网络媒体转载,请务必注明出处!


启事

“浙二神外周刊”不定期接收外院投稿,审核后发表。欢迎各专业同道联系我们,分享精彩病例、研究热点或前沿资讯。投稿请联系:shishi74@163.com


病史简介


患者,女性,49岁,因“左侧耳鸣伴头痛5月,左眼肿胀伴视物模糊1月”入院。


患者于5月前无明显诱因出现左侧耳鸣伴有左侧头痛,无听力下降等,未就诊。1月前症状有所加重,并出现左眼球结膜充血肿胀伴视物模糊,来我院就诊,MRA(3D-TOF )(图1A)检查提示左侧舌下神经管区异常血管。拟诊“硬脑膜动静脉瘘可能”收住入院。

 

入院查体:左眼红肿、眼球活动正常,左耳后听诊可闻及杂音,听力无异常,余神经系统检查也未见异常。


入院后进一步 DSA检查,确诊为舌下神经管区硬脑膜动静脉瘘(hypoglossal canal dural arteriovenous fistulas,HC- DAVF),供血动脉主要为左侧咽升动脉,另外右侧咽升动脉、左侧脑膜前动脉均参与供血。瘘口位于左侧舌下神经管处,静脉引流向上通过岩下窦向海绵窦引流并返流到眼静脉和皮层静脉,向下回流到颈内静脉,并可见有髓周静脉引流(图1B-D)。

图1. A:3D-TOF MRA影显示左侧舌下神经管处异常的紊乱血管(白箭头);B-D:DSA结果提示双侧咽升动脉(APA)及左侧脑膜前动脉(AMA)供血(白色箭头)。


诊疗经过


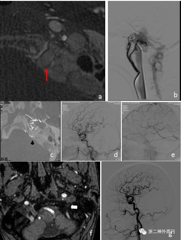
将5F造影管放置到左侧咽升动脉监控治疗效果,然后6F导引导管到位左侧颈内静脉,使用Enchelon微导管(EV3,美国)和Traxcess微导丝(Microvention,美国)尝试超选进入瘘口处静脉球未能成功;遂先使用弹簧圈+Onyx18胶闭塞岩下窦以阻断血流往海绵窦引流,消除眼部症状并改变静脉引流情况;然后成功地将Enchelon微导管(EV3,美国)放置到瘘口处静脉球,超选造影及Xper-CT确认微导管到位,使用弹簧圈填塞静脉球,动脉造影确认瘘口完全闭塞后结束手术。术后3天出院,患者症状完全缓解,无神经功能障碍。术后3个月、1年门诊随访症状无复发,复查脑血管造影未见异常表现(图2)。



图2. a. 栓塞治疗过程中Xper-CT显示左侧舌下神经管处静脉球(红箭头);b. 岩下窦闭塞后左侧咽升动脉造影;c. Xper-CT显示微导管头到位左侧舌下神经管处静脉球(黑箭头);d、e. 栓塞治疗后DSA提示动静脉瘘完全闭塞;f. 栓塞治疗后3D-TOF MRA显示左侧舌下神经管处原有的异常紊乱血管消失,代替为黑色的弹簧圈信号(白箭头);g. 栓塞治疗后3个月数字DSA复查未显示动静脉瘘。


讨论


舌下神经管DAVF由于其静脉引流途径较多,如可以通过岩下窦--海绵窦逆行引流(二型)至眼静脉引起眼眶周围症状,因此临床上易与海绵窦区DAVF混淆[1]。


而舌下神经周围静脉回流比较复杂比如边缘窦、髁后静脉、颈静脉球以及导静脉等,导致舌下神经管DAVF常常被误归为枕骨大孔、颈静脉球、边缘窦DAVF[1, 2]。


舌下神经管DAVF的主要的特征是瘘口处的ACC和或ACV动脉化,但要准确诊断舌下神经管DAVF还需要丰富的解剖知识和合适的检查手段,比如高分辨3D-TOF 磁共振血管造影横断位能够显示动脉化的ACC和或ACV以及精确的静脉瘘口解剖定位,此外CT横断位扩大的舌下神经管也能间接提示舌下神经管DAVF[3]。


常规数字减影血管造影检查,特别是带3D旋转的数字减影血管造影是诊断舌下神经管DAVF的金标准,它能够获得精确的瘘口定位,供血动脉组成和静脉引流类型等重要信息,这些信息是制定治疗计划必须的[4]。


舌下神经管DAVF的静脉引流变化多样,一型(占62.5%)主要引流至颈静脉球、颈内静脉或者椎静脉丛;二型(23.3%)主要引流至海绵窦,并表现为眼眶症状如突眼、结膜充血等;而三型(14.2%)主要引流至小脑软膜或者髓周静脉,出现该型的原因常常由于髁前静脉与颈内静脉、岩下窦等静脉吻合消失或者狭窄,导致髓周静脉淤血从而出现颈髓症状或者颅内出血[5]。


目前舌下神经管DAVF的治疗指征主要为高级别瘘口或者出现眼眶、皮层或者髓周静脉引流,非常严重的搏动性耳鸣也可以作为治疗指征[6]。治疗方法有多种,主要还是血管内栓塞治疗,其中以经静脉弹簧圈栓塞或者经静脉弹簧圈+Onxy胶最为常用,而且临床疗效好,复发率低,总体闭塞率大于90%,症状缓解率接近100%。治疗并发症较少,主要为舌下神经麻痹而且多为一过性。本文报道的患者采用经静脉途径栓塞治疗,同时使用了弹簧圈和Onyx两种栓塞材料,成功栓塞瘘口而且未发生舌下神经麻痹等并发症。在经静脉弹簧圈栓塞治疗舌下神经管DAVF过程中的难点主要在于找到合适的静脉通路到达瘘口,如病例中起初尝试将微导管直接放入静脉瘘口失败,在这样的情况下通过先栓塞IPS-CS改变DAVF的静脉引流途径使其主要往颈内静脉引流后才成功将微导管经颈内静脉置入瘘口处完成栓塞。


栓塞的材料目前常用弹簧圈和胶包括Onyx和NBCA(N-butyl cyanoacrylate),单独使用弹簧圈栓塞时由于弹簧圈的占位效应容易导致舌下神经麻痹[7],因此常常使用弹簧圈与胶联合或者单独使用胶进行栓塞降低舌下神经麻痹的发生。当经静脉弹簧圈栓塞治疗无法实现时供血动脉栓塞也可闭塞DAVF,但较容易产生颅神经受损的症状,其原因在于舌下神经管DAVF常常由咽升动脉的神经脑膜支供血,该动脉分支又同时供应第IXXXIXII对颅神经,因此闭塞该供血动脉后常导致上述颅神经麻痹[8-11]。此外咽升动脉与颈内动脉、椎动脉有时存在吻合,如果使用胶(Onyx或NBCA)经咽升动脉行经导管血管栓塞治疗存在继发脑梗死的风险[8]


结论


舌下神经管DAVF是颅内DAVF一个罕见亚型,由于其多变的静脉引流常常与其他DAVF混淆,结合3D-TOFMRA和DSA检查能够提高诊断的准确性。经静脉途径栓塞是治疗舌下神经管DAVF的最佳途径,通过学习舌下神经管周围的静脉解剖,术前仔细分析引流静脉的情况,使用弹簧圈+Onyx胶能够非常有效闭塞瘘口且避免并发症。


参考文献


[1] J. W. Choi, B. M. Kim, D. J. Kim, D. I. Kim, S. H. Suh, N. Y. Shin, J. G. Lee. 2013. Hypoglossal canal dural arteriovenous fistula: incidence and the relationship between symptoms and drainage pattern[J]. Journal of neurosurgery, 119(4): 955-960 doi: 10.3171/2013.4.JNS121974.

[2] R. Ernst, R. Bulas, T. Tomsick, H. van Loveren, K. A. Aziz. 1999. Three cases of dural arteriovenous fistula of the anterior condylar vein within the hypoglossal canal[J]. AJNR American journal of neuroradiology, 20(10): 2016-2020

[3] S. Tanoue, K. Goto, S. Oota. 2005. Endovascular treatment for dural arteriovenous fistula of the anterior condylar vein with unusual venous drainage: report of two cases[J]. AJNR American journal of neuroradiology, 26(8): 1955-1959

[4] C. Y. Lee, J. S. Koh, G. Y. Kwon, C. W. Ryu, S. H. Lee. 2011. Transvenous embolization of an intraosseous dural arteriovenous fistula of the anterior condylar vein with anomalous venous drainage causing ocular manifestations[J]. Journal of clinical neuroscience : official journal of the Neurosurgical Society of Australasia, 18(3): 413-415 doi: 10.1016/j.jocn.2010.05.019.

[5] B. Spittau, D. S. Millan, S. El-Sherifi, C. Hader, T. P. Singh, E. Motschall, W. Vach, H. Urbach, S. Meckel. 2015. Dural arteriovenous fistulas of the hypoglossal canal: systematic review on imaging anatomy, clinical findings, and endovascular management[J]. Journal of neurosurgery, 122(4): 883-903 doi: 10.3171/2014.10.JNS14377.

[6] R. D. Turner, V. Gonugunta, M. E. Kelly, T. J. Masaryk, D. J. Fiorella. 2007. Marginal sinus arteriovenous fistulas mimicking carotid cavernous fistulas: diagnostic and therapeutic considerations[J]. AJNR American journal of neuroradiology, 28(10): 1915-1918 doi: 10.3174/ajnr.A0717.

[7] S. Miyachi, T. Ohshima, T. Izumi, T. Kojima, J. Yoshida. 2008. Dural arteriovenous fistula at the anterior condylar confluence[J]. Interventional neuroradiology : journal of peritherapeutic neuroradiology, surgical procedures and related neurosciences, 14(3): 303-311 doi: 10.1177/159101990801400311.

[8] J. S. Byun, S. N. Hwang, S. W. Park, T. K. Nam. 2009. Dural arteriovenous fistula of jugular foramen with subarachnoid hemorrhage : selective transarterial embolization[J]. Journal of Korean Neurosurgical Society, 45(3): 199-202 doi: 10.3340/jkns.2009.45.3.199.

[9] S. Geibprasert, S. Pongpech, D. Armstrong, T. Krings. 2009. Dangerous extracranial-intracranial anastomoses and supply to the cranial nerves: vessels the neurointerventionalist needs to know[J]. AJNR American journal of neuroradiology, 30(8): 1459-1468 doi: 10.3174/ajnr.A1500.

[10] S. Manabe, K. Satoh, S. Matsubara, J. Satomi, M. Hanaoka, S. Nagahiro. 2008. Characteristics, diagnosis and treatment of hypoglossal canal dural arteriovenous fistula: report of nine cases[J]. Neuroradiology, 50(8): 715-721 doi: 10.1007/s00234-008-0393-7.

[11] Z. S. Shi, J. Ziegler, N. R. Gonzalez, L. Feng, S. Tateshima, R. Jahan, G. Duckwiler, F. Vinuela. 2008. Transarterial embolization of clival dural arteriovenous fistulae using liquid embolic agents[J]. Neurosurgery, 62(2): 408-415; discussion 415 doi: 10.1227/01.neu.0000316007.34259.26.


(本文由浙二神外周刊原创,浙江大学医学院附属第二医院神经外科钱聪主治医师整理,方兵副主任医师审校,张建民主任终审)


往期回顾

浙二神外周刊(一百一十八)--儿童中央区病灶致顽固性癫痫外科手术一例

浙二神外周刊(一百一十七)--丙戊酸钠相关高血氨脑病一例

浙二神外周刊(一百一十六)--儿童眶尖-海绵窦-颞下窝病变一例

浙二神外周刊(一百一十五)--小脑节细胞胶质瘤一例

浙二神外周刊(一百一十四)--高血压性脑干出血治疗--浙二的观点

浙二神外周刊(一百一十三)--“复合高压锅技术”治疗横窦区硬脑膜动静脉瘘一例

浙二神外周刊(一百一一十二)--应用新型动脉瘤内栓塞装置(WEB)栓塞前交通未破裂动脉瘤一例

浙二神外周刊(一百一十一)--儿童四脑室室管膜瘤术后并发胃瘫综合征一例

浙二神外周刊(一百一十)--颅内多发病变之隐球菌感染一例

浙二神外周刊(一百零九)--颅内多发病变之多发性硬化一例

浙二神外周刊(一百零八)--新发现AIP基因突变位点的家族性单纯性GH瘤家系一例

浙二神外周刊(一百零七)--自发性低颅压致双侧硬膜下血肿一例

浙二神外周刊(一百零六)--张建民教授牵头国家重点研发计划:“基于脑机接口的脑血管病主动康复技术研究及应用”正式启动

浙二神外周刊(一百零五)--颅骨板障表皮样囊肿合并慢性硬膜外血肿一例

浙二神外周刊(一百零四)--内镜辅助显微手术半椎板入路切除儿童颈髓腹侧肠源性囊肿一例

浙二神外周刊(一百零三)--颅骨缺损修补术后并发急性脑肿胀一例

浙二神外周刊(一百零二)--伴发钙化的椎管内表皮样囊肿一例

浙二神外周刊(一百零一)--胶质瘤的病理特征与位置分布的关系

浙二神外周刊(一百)--疑似DIPG的慢粒急变脑干浸润一例

浙二神外周刊(九十九)--垂体生长激素腺瘤卒中伴发脑梗塞一例

浙二神外周刊(九十八)--多囊肾合并颅内动脉瘤一例

浙二神外周刊(九十七)--巨大延颈髓室管膜瘤一例

浙二神外周刊(九十六)--桥小脑角脑膜瘤伽马刀后并发PICA血栓性动脉瘤一例

浙二神外周刊(九十五)--硬脊膜外囊肿瘘口封闭术一例

浙二神外周刊(九十四)--颅内表皮样囊肿自发破裂伴血清CA-199显著升高一例

浙二神外周刊(九十三)--伴发钙化的垂体腺瘤一例

浙二神外周刊(九十二)--鞍上毛细胞黏液样星形细胞瘤伴自发性出血一例

浙二神外周刊(九十一)--2017西湖神经外科论坛成功召开!

浙二神外周刊(九十)--以尿崩症为首发表现的Erdheim-Chester病一例并文献复习

浙二神外周刊(八十九)--“X”形支架辅助栓塞...

浙二神外周刊(八十八)--神经内镜下经鼻...

浙二神外周刊(八十七)--经一侧椎板间微骨...

浙二神外周刊(八十六)--UCLA住院医师...

浙二神外周刊(八十五)--美国神经外科住院...

浙二神外周刊(八十四)--立体定向125I粒子...

浙二神外周刊(八十三)--垂体脓肿继发颈内...

浙二神外周刊(八十二)--引流静脉自发闭塞...

浙二神外周刊(八十一)--手术治疗Broca区...

浙二神外周刊(八十)--TERT基因在胶质瘤...

浙二神外周刊(七十九)--复合手术治疗复杂...

浙二神外周刊(七十八)--弥漫性胶质瘤...

浙二神外周刊(七十七)--神经内镜下经鼻...

浙二神外周刊(七十六)--经颈静脉孔入路...

浙二神外周刊(七十五)--以特发性颅内压...

浙二神外周刊(七十四)--唤醒麻醉下iMRI...

浙二神外周刊(七十三)--电生理监测下...

浙二神外周刊(七十二)--以疑似脊髓炎起病...

浙二神外周刊(七十一)--鞍上垂体细胞瘤...

浙二神外周刊(七十)--利用复合手术室...

浙二神外周刊(六十九)--AIDS继发弓形体...

浙二神外周刊(六十八)--神经轴钙化性假瘤...

浙二神外周刊(六十七)--以头痛、视物模糊...

浙二神外周刊(六十六)--利用复合手术室...

浙二神外周刊(六十五)--3D神经内镜下...

浙二神外周刊(六十四)--立体定向放射性...

浙二神外周刊(六十三)--张建民教授手术...

浙二神外周刊(六十二)--原发性颅内血管...

浙二神外周刊(六十一)--伴有脑脊液播散

浙二神外周刊(六十)--3.0T术中磁共振...

浙二神外周刊(五十九)--Dolenc入路切除...

浙二神外周刊(五十八)--经动脉途径弹簧圈...

浙二神外周刊(五十七)--特发性正常颅压...

浙二神外周刊(五十六)--桥小脑角区胶质瘤...

浙二神外周刊(五十五)--单用替莫唑胺

浙二神外周刊(五十四)--肺癌转移至垂体...

浙二神外周刊(五十三)--经皮内镜下手术...

浙二神外周刊(五十二)--药物敏感性...

浙二神外周刊(五十一)--OA-PICA搭桥...

浙二神外周刊(五十)--立体定向穿刺引流...

浙二神外周刊(四十九)--幕上间变性透明...

浙二神外周刊(四十八)--桥小脑角区生...

浙二神外周刊(四十七)--垂体瘤手术...

浙二神外周刊(四十六)--弥漫内生型...

浙二神外周刊(四十五)--颈髓髓内黑色...

浙二神外周刊(四十四)--脊髓胶质...

浙二神外周刊(四十三)--髓内毛细胞型...

浙二神外周刊(四十二)--海绵窦原发恶...


浙二神外周刊(四十一)--出血性囊性血...

浙二神外周刊(四十)--鞍内蛛网膜囊...

浙二神外周刊(三十九)--椎管内膜外硬脊膜...

浙二神外周刊(三十八)--易误诊为肿瘤的...

二神外周刊(三十七)--垂体瘤伴发鞍结...

浙二神外周刊(三十六)--脑膜血管瘤病...

浙二神外周刊(三十五)--颅骨多发性血...

浙二神外周刊(三十四)--颅颈交界区...

浙二神外周刊(三十三)--下丘脑错构瘤...

浙二神外周刊(三十二)--肉芽肿性垂体炎...

浙二神外周刊(三十一)--颅脑转移性肿瘤...

浙二神外周刊(三十)--螺纹钢致颅脑贯...

浙二神外周刊(二十九)--托式皮肤闭合器...

浙二神外周刊(二十八)--同时合并出血...

浙二神外周刊(二十七)--神经内镜下经鼻...

浙二神外周刊(二十六)--经股静脉-颞浅...

浙二神外周刊(二十五)--脑动静脉畸形...

浙二神外周刊(二十四)--伴发静脉畸形...

浙二神外周刊(二十三)--单电极双靶点...

浙二神外周刊(二十二)--髓母细胞瘤风险...

浙二神外周刊(二十一)--高位颈髓髓内室...

浙二神外周刊(二十)--侵袭中脑和丘脑的...

浙二神外周刊(十九)--嗅沟神经鞘瘤一例

浙二神外周刊(十八)--采用立体定向脑电图...

浙二神外周刊(十七)--小脑胶质母细胞瘤...

浙二神外周刊(十六)--快速生长的腰椎管内...

浙二神外周刊(十五)--原发性颅内黏膜...

浙二神外周刊(十四)--类似颅内多发转移瘤...

浙二神外周刊(十三)--胶质瘤MDT讨论...

浙二神外周刊(十二)--祝向东教授:左侧...

浙二神外周刊(十一)--“夹心饼干”技术...

浙二神外周刊(十)--婴幼儿皮层发育不良致...

浙二神外周刊(九)--复杂性A1段夹层动脉...

浙二神外周刊(八)--眼眶-颅内异物残留致...

浙二神外周刊(七)--鞍区颗粒细胞肿瘤一例...

浙二神外周刊(六)--毛细胞粘液型星形...

浙二神外周刊(五)--鞍区胚胎性癌及放疗...

浙二神外周刊(四)--中枢神经系统非常见...

浙二神外周刊(三)--双侧丘脑病变...

浙二神外周刊(二)--脑室内及颅骨多发肿瘤...

浙二神外周刊(一)--GBM术后:远处播散...

神外资讯微信公众订阅号可以置顶啦!!!打开手机微信(6.3.16以上版本),找到订阅号中的神外资讯公众号,打开并点击右上角头像,进入神外资讯详细信息页面后,选择置顶公众号,这样您就可以将神外资讯置顶啦!从此,重要信息不再错过哦!


《神外资讯》,未经许可不得转载,如希望转载,请联系“神外助手”。请各微信公众号、网站及客户端尊重《神外资讯》版权,经许可转载文章时请清楚注明来源为“神外资讯”。《神外资讯》,欢迎您转发朋友圈。

友情链接

Copyright © 2023 All Rights Reserved 版权所有 北京物流信息联盟