北京物流信息联盟

不同部位(血管)颅内动脉瘤临床表现是什么?该选择那种影像检查?

2022-08-21 06:14:53

(1)   颈内动脉海绵窦段动脉瘤:患者有前额和眼部疼痛、血管杂音、突眼及Ⅲ、Ⅳ、Ⅵ和Ⅴ,脑神经损害所致的眼动障码,其破裂可引起颈内动脉海绵窦瘘。


(2)   颈内动脉后交通动脉瘤:患者出现动眼神经受压的表现,常提示后交通动脉瘤。


(3)   大脑中动脉瘤:患者出现偏瘫、失语和搐等症状,多提示动脉瘤位于大脑中动 脉的第一分支处。


(4)   大脑前动脉-前交通动脉瘤:患者出现精神症状、单侧或双侧下肢瘫痪和意识障 碍等症状,提示动脉瘤位于大脑前动脉或前交通动脉。


(5)   大脑后动脉瘤:患者出现同向偏肓、Weber综合征和第Ⅲ脑神经麻痹的表现。

(6)   -基底动脉瘤:患者可出现枕部和面部疼痛、面肌痉挛、而瘫及脑干受压等 症状。

CTA和MRA:主要用于有动脉瘤家族史或破裂先兆者的筛查,动脉瘤患者的随访,及DSA不能进行及时检查时的替代方法。


CTA:检查比DSA更为快捷、创伤小,尤为适用于危重患者,同时已被证实对较大动脉瘤的灵敏度接近DSA,并可补充DSA的结果,较好的确定动脉瘤瘤壁是否钙化,瘤腔是否有血栓形成、动脉瘤与出血的关系以及动脉瘤位置与骨性标志的关系。目前,随着CTA检查设备的不断改进,CTA已经逐步取代DSA成为诊断有无动脉瘤的首先方法。传统 CT 检测颅内动脉瘤的灵敏度在 94.6% - 93.3%之间。


CTA 在诊断颅内动脉瘤方面的局限性:

(1)有些患者(比 如肾功能较差,心衰的患者,以及对碘对比剂过敏者)使碘对比 剂在临床上的应用受到限制。

(2)骨性结构(尤其在颅底)及静 脉造影会使 CTA 的准确性降低。

(3)不能动态观察。无法依时间顺序分别显示动脉、毛细血管和静脉,无法分清血流方向及显示一些重要的小血管和重要的穿通支如丘脑穿通动脉、脉络 膜前动脉等。

(4)空间分辨力不如常规脑血管造影检查,不能 评价。

(5)只能显示颅内动脉瘤,不如 DSA 可以对颅内动脉瘤进 行治疗。

(6)对进行图像后处理者的操作水平有较高要求]。


3D-TOF MRA 主要优点:无创伤、不需造影剂,还有成像速度快,能够进行多种方法重建和任一角度旋转,MRA对直径3〜15mm动脉瘤检出率达84%〜100%。运用最大密度投影(MIP)和多平面重建(MPR)对 动脉瘤的大小、形态、部位,载瘤动脉的关系较好的显示。

缺点:由于空间分辨率较差,不能淸晰地显示动脉瘤颈和载瘤动脉。

CT:高密度,T1WI,T2WI流空信号

CTA:动脉瘤合并血栓。


DSA :一旦SAH诊断明确后需行全脑DSA检查,以确定动脉瘤位置、大小、与载瘤动脉的关系、侧支循环情况及有无血管痉挛等,同时利于发现烟雾病、血管畸形等 SAH病因,为SAH病因诊断提供可靠证据,也是制定合理外科治疗方案的先决条件。约5%首次DSA检查阴性的患者I〜2周后再次DSA检査可检出动脉瘤。一般认为,中脑周围出血若首次DSA检查阴性,则可不必再DSA检查,因其多为非动脉瘤性 SAH。造影时机一般选择在SAH3天内或3周后,以避开脑血管痉挛和再出血高峰期。


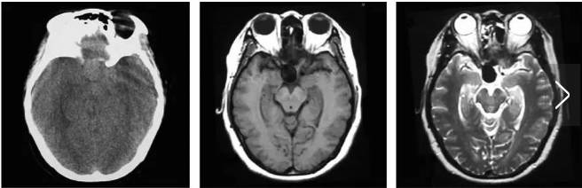
CT表现:

 

①无血栓动脉瘤:平扫为圆形等或略高密度影,边缘清楚,病灶周围无或轻度水肿。增强有均匀强化。


②部分血栓动脉瘤:平扫有血流的部分为等密度,而血栓部分密度稍高。增强扫描,瘤腔部分强化,血栓部分不强化。如果血栓是偏心型,强化部分则显示为半圆形、新月形等。如果血栓位于血管腔内的周边,增强扫描动脉瘤中心的瘤腔和外层囊壁均有强化,形成中心高密度和外围高密度环,中间隔以等密度带,称之“靶形征”。

③完全血栓动脉瘤:平扫为等密度,其内可有点状钙化,瘤壁可见蛋壳样弧形钙化。增强扫描仅有囊壁环状强化,其内血栓无强化。


MRI表现:MRI显示动脉瘤与其血流、血栓、钙化和含铁血黄素沉积有关。无血栓动脉瘤,T1WI与T2WI均为无信号或低信号。较大的动脉瘤,由于动脉瘤内血流速度不一,血流快的部分出现“流空效应”,血流慢的部分在T1WI图像为低信号或等信号,T2WI上为高信号。动脉瘤内血栓,MRI可为高、低、等或混杂信号。增强扫描动脉瘤腔强化,血栓无明显强化。钙化和“流空”的鉴别可根据其位置,前者位于周边,,同时钙化的信号稍高于“流空”。


推荐影像学检查方案 

对怀疑蛛网膜下腔出血的患者,急性期首选CT平扫,结果为阳性时则选择CTA或MRA进一步检查。如果CTA或MRA能确定动脉瘤的存在,则可进一步行血管内介入栓塞或手术夹闭治疗。如果CTA或MRA未发现动脉瘤,需要脑血管造影进一步确诊,DSA是诊断颅内动脉瘤最可靠的检查方法。

友情链接

Copyright © 2023 All Rights Reserved 版权所有 北京物流信息联盟