北京物流信息联盟

1例上颌总义齿再诊患者临床感悟

2022-02-25 06:36:10

关注我们,每天都能收到这种好文章!

微信号:kqjy--2000

投稿邮箱:361687558@qq.com

来源:KQ88博客 郅洁云

目前,我国已进入人口老龄化社会,随着银发浪潮的到来,越来越多的老年人迫切需要一副合适的义齿,满足日常生活和社交。尽管种植义齿堪称是人类的第三副牙齿,可是老年人体弱多病,经济受限,很多人不能接受种植手术,活动义齿仍然是众多老年人修复的主要选择。近期接诊一位老年活动义齿再诊患者,临床感悟分享如下:

一. 病史简介:

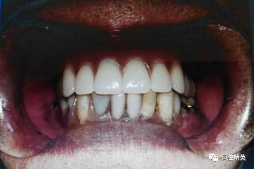
患者王某,男,83岁,因上颌总义齿在外院修复一年多,反复脱落,固位不良,多次修改效果欠佳,影响说话进食。上颌义齿佩戴后,微笑时不露上前牙,影响面部美观,要求重新修复。右下颌前牙一颗天然牙折断,要求义齿修补缺隙。

二.口腔检查:

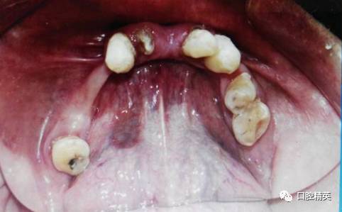
上颌牙槽骨较丰满,牙槽嵴粘膜轻度红肿及义齿摩擦损伤。无尖锐骨尖,无松软牙槽嵴。

上颌旧义齿检查:张口说话咀嚼义齿脱位,无吸附力,上颌前牙过度唇倾,覆盖较深,颌平面低于上唇缘,微笑不露义齿,口角下垂,面部下1/3欠丰满。腭盖为金属基托,义齿后部未达腭小凹后2mm处。下颌金属支架义齿,33牙缺失。

三.设计方案:

上颌解剖颌胶连义齿+金属预成网。

下颌修补33义齿

四.上颌总义齿操作:

1.磨圆下颌天然牙过锐牙尖,调改下颌牙列颌曲线,减少下颌天然牙的咬合力。

2.日常减少戴义齿次数和时间,减轻不良修复体对粘膜的损伤。

3.采用红膏+藻酸盐印模材二次取模,光固化暂基托+蜡堤,确保模型的准确性和基托足够的边缘封闭。

5.颌平面规确定上颌平面,建立面下1/3正确的垂直关系和水平关系。

6.前牙排成浅覆颌、浅覆盖,后牙腭尖要尽量排在牙槽嵴顶,口内试戴蜡牙,验证咬合关系。

7.采用塑料基托+金属网,增加义齿强度,缓冲下颌天然牙颌力,便于以后重衬修补。

8.试戴一周,调颌抛光。

五.新义齿效果:

1.面下1/3丰满度良好,鼻唇沟、颏唇沟自然,口角平齐口裂,无下垂。

2.微笑时,上唇下缘露出上前牙切端约2mm。

3.义齿吸附力强,固位良好,张口、说话无脱落。

4.咀嚼食物建议不用前牙切咬,两侧后牙交替咀嚼,义齿无疼痛,固位稳定。

 六.单颌总义齿修复要点:

1.充分考虑对颌天然的咬合力。

2.建议使用塑料+金属网胶连义齿修复。

3.正确排牙至关重要。





友情链接

Copyright © 2023 All Rights Reserved 版权所有 北京物流信息联盟