北京物流信息联盟

髋关节骨性强直二例针刀治疗观察分析

2022-01-16 09:01:40

髋关节骨性强直是多种髋关节疾病的严重后遗症,针刀松解治疗疗效可观。


患者一:

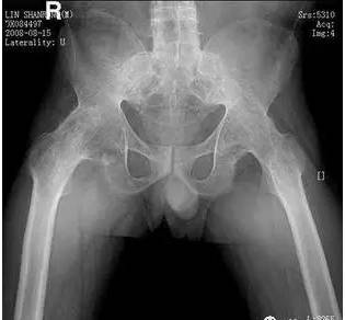
男,32岁,因强直性脊柱炎18年,驼背畸形,左髋关节活动明显受限,右髋关节无功能,髋关节X光正位片显示:左髋关节间隙变窄,关节边缘增生,股骨头表面粗糙,右髋关节3/4骨性融合。

诊断:强直性脊柱炎左髋关节骨性强直

针刀治疗:

体位:仰卧位,患侧垫高45度。

麻醉:硬膜外麻醉

针刀:髋关节强直用二型针刀。 

手术过程:第1-3次手术:分别于髋关节前外侧穿刺点,髋关节外侧穿刺点,髋关节后侧龙胆紫定点,自制弧形针刀按四步进针法,分别达到髋关节的前、外、后侧关节囊,行切割松解关节囊后,髋关节外侧的弧形针刀沿尚未融合的髋关节间隙进入关节腔,沿髋关节腔环形松解骨性融合;直至手下有松动感;第4-6次手术:分别于内收肌止点,股四头肌起点,股二头肌起点定点,用二型3号针刀在上述各点骨面铲剥2刀。第7-8次手术:松解髋关节活动后的疼痛点。

手法:每次针刀术后立即作髋关节屈曲、外展、内收快速弹拨手法,逐渐加大髋关节的活动度。

每次针刀术后中西药活血止痛,预防感染,理疗按摩,主动活动髋关节。

疗程:两个月内完成针刀综合治疗。


患者二:

男,25岁,跌伤至右髋关节强直8年,左髋关节功能正常,右髋关节无功能,髋关节X光正位片显示:左髋关节间隙正常,右髋关节3/5骨性融合,仅关节上缘未融合,关节后下边缘增生,股骨头表面粗糙。 

诊断:外伤性右髋关节强直

针刀治疗:

体位:仰卧位,患侧垫高45度。

麻醉:硬膜外麻醉

针刀:髋关节强直用二型3号针刀

手术过程:同上。 

疗程:两个半月完成针刀综合治疗。


结果:两例病人髋关节主动活动:外展:30度;内收:15度,屈曲:90度,后伸:10度;被动活动:外展:30度,内收20度,屈曲:130度,后伸:15度。


体会:髋关节骨性强直严重影响病人的生活质量,目前,除了全髋关节置换可能恢复有限的髋关节功能外,另无其它治疗方法。而髋关节置换对于由于髋关节长期骨性强直,肌肉废用萎缩甚至纤维化,而带来的术后功能恢复非常有限。


根据针刀医学理论,在基本不损伤正常肌肉,韧带等软组织的情况下,应用针刀分次松解髋关节周围软组织粘连,疤痕,挛缩的关键点,再应用手法,松解残余的粘连,从而保障了骨性强直被消除以后,髋关节周围的肌肉、韧带得以主动收缩,对髋关节的功能恢复提供了完整的伸屈软组织。

针刀医学的临床应用,为这一临床疑难病症开辟了一条崭新的治疗途径,必将改变只有关节置换才能治疗髋关节骨性强直的历史。

往期视频翻滚点击查看


1.庞继光针刀临床教学|颈椎、胸椎和腰椎手术操作视频

2.王海东教授—辨位定点针刀松解术治疗颈椎病

3.【操作视频】膝关节痛针刀诊疗视频(全程)

4.【操作视频】王海东|针刀治疗强柱髋臀部松解

5.全身激痛点手册

6.【操作视频】针刀治疗下肢疾病—附视频

7.【操作视频】针刀治疗腰椎间盘突出症

8.棘突 横突 体表定位

9.竖脊肌解读很详细

10.股骨头坏死针刀2个疗程可以改善大半症状

11.针刀初学者必须知道的指法、刀法

12.腰椎管狭窄针刀治疗

13.针刀辨证分度治疗肩周炎病例分享

14.针刀治疗网球肘

15.基于经筋理论针刀治疗膝骨性关节炎

16.龙氏推拿手法笔记

持续更新中、敬请关注……


培训特色

1、实体解剖:在解剖教研室进行标本解剖以便学员清楚掌握针刀施术部位的解剖层次及神经、血管的走行。

2、名师指导:由全国知名针刀专家带教,从针刀临床实际出发,以针刀医学常见病种为主线,既有相应的理论阐述,又针对针刀的施术部位进行了详尽的局部解剖,将针刀入路层次、毗邻组织结构、针刀松解目标组织等一一客观展现,使施术者对针下的解剖结构做到了然于胸。一方面有助于提高施术的准确性,避免医源性伤害的发生,另一方面,也加深了对于针刀治病机理的理解,避免对针刀治疗进行穿凿附会、猜测推导,甚至无端联线。同时,对于其他学科了解针刀治疗的科学性也大有裨益。学习对每个疾病的分析、手术部位定点及针对每个疾病的具体针刀操作。

3、三位一体:即动眼、动脑、动手(学员通过观看针刀专家临床示教;自己思考疾病的发病机理及针刀治疗方法并与带教老师沟通;学员两人一组互相触摸体表标志、定点,由带教老师指导、修正)

4、独立实践:独立对病人病情进行分析,并实施针刀操作,由带教老师指导更正。一次学习有多个实习点供临床实践,学到做到回家用到。精品针刀医学培训共计八天时间,加晚上,涉及三十余种疾病的相关解剖,病因病理、临床表现及针刀治疗等内容。其中,既有对针刀临床常见病种的研究,也有对拇外翻、颞下颌关节功能紊乱病等疑难疾病针刀治疗的探索。其中还详细阐述了针对星状神经节阻滞术、蝶腭神经节刺激术等临床治疗技术的局部解剖、操作入路等内容的研究,学员可通过老师精细讲解示教观模迅速掌握针刀医学精细治疗操作要点。

课程咨询,扫码更方便!

扫码免费赠送针刀视频一套及相关课件!

福利领取:魏玲(领视频)

13716017499

福利领取:林峰(领课件)

13811322394

友情链接

Copyright © 2023 All Rights Reserved 版权所有 北京物流信息联盟