2022-02-13 08:38:30
作者|MasciPier Giorgio 1 , BogaertJan 2
1 Magnetic Resonance Imaging and Cardiovascular Medicine Departments, Fondazione CNR/Regione Toscana ‘G. Monasterio’, Pisa, Italy
2 Radiology Department, Medical Imaging Research Center, University Hospitals Leuven, Herestraat 49, B-3000 Leuven, Belgium
译者|郭现军 苏倩 葛兰素史克(中国)有限公司
审校|翁震 上海交通大学医学院
摘要
在过去十年,心脏核磁共振成像(MRI)作为一种诊断缺血性心脏病(IHD)准确且可重复的显像方法已在心脏病学领域得到广泛认可。特别在急性心肌梗死(AMI)患者中,MRI能够就损伤否具有可逆性、心肌出血和微小血管的堵塞情况对缺血性损伤类型做出全面评估。心肌挽救指数[(((急性期危险心肌-最终梗死面积)/ 危险心肌)]已经成为潜在的终点替代指标,逐渐应用于临床试验或作为辅助再灌注策略。梗死形成后早期,心肌坏死的准确性和重现性量化以及不同成分中局部缺血心肌损伤的特征,为梗死后左心室重塑的预测提供了重要信息,同时有利于患者的分组治疗。由于心脏MRI是非入侵性的,可用于研究心肌梗死治疗进程,以及梗死组织周围以及远端心肌组织的变化,正是这些变化最终导致左心室(LV)几何形态和功能性病变(左室重塑)。本综述将重点分析心脏MRI对于全面评估急慢性IHD患者心肌梗死后(心室)重塑的价值。
前言
在过去的几十年中,心脏核磁共振成像术(MRI)应运而生,它作为一种准确的诊断技术,用于缺血性心脏病(IHD)患者的评估。在急性缺血性心脏病(即急性心肌梗死)发作时,通过全面的心脏MRI检测,能够辨别可逆和不可逆损伤的组织以及微血管损伤的特征,从而准确地描绘了缺血性心肌损伤的特点。在梗死后,通过心脏MRI对局部或整体左心室区域的梗死后重塑和活力进行评估,为患者的管理和风险分级提供了重要信息。
心脏MRI在急性IHD中的应用——寻找受损心肌
研究急性缺血性心肌损伤必须考虑心肌梗死过程的复杂性。急性心肌梗死经历炎症反应阶段和愈合阶段,使得胶原化的瘢痕组织取代死亡的心肌(1)。这个过程的目的在于最大程度降低由坏死组织功能丧失所导致的不利后果,即引起一系列几何结构、机械性能和神经因子的持久的改变,最终导致左心室功能紊乱和心脏衰竭。当急性心肌梗死发生时,理想的做法是运用全面的心脏MRI检测,对体内急性生理病理特征进行准确地描绘。
风险心肌(区域)的特征
在过去的几年里,越来越多的证据表明,通过短时间反转回复序列(STIR) T2加权像的影像数值,可以判断危险心肌,即在冠状动脉阻塞时可通过再灌注得到挽救的心肌(2)。事实上,T2加权像STIR对组织游离水(水肿)的增加特别敏感,而游离水的增加通常伴随缺血性心肌损伤,无论组织是否坏死(3,4)。心肌水肿(缺血引起ATP依赖的钠钾离子通道的功能紊乱,导致膜两侧钠离子梯度的改变,从而引发细胞内水肿)是缺血性损伤的早期症状,T2加权像STIR成像对于在急诊中患有不稳定型心绞痛和不断发展的心肌梗死患者是一种非常有用的诊断手段(5,6)。尤其是在T2加权像STIR影像中,心肌水肿会呈现出强烈信号(亮)(见图1)。Abdel-Aty等人(7)的最近研究显示,通过水肿造影描绘了在缺血发生后30分钟内及不可逆性心肌损伤[表现为肌钙蛋白水平增高和迟发钆增强(LGE)]前急性心肌损伤的情况。Aletras等人(2)用实验证明了在发生再灌注心肌梗死两天后的T2加权像STIR影像中,水肿的面积对应于在发生冠状动脉阻塞时微球注射所呈现的危险心肌的面积(即参考标准)。此外,危险心肌面积明显大于最终发生梗死的心肌面积,说明在T2加权像STIR影像中呈现的水肿区域同时包括了可逆和不可逆损伤的心肌(即永久性心肌损伤)。最近在再灌注后ST-段抬高的心肌损伤患者中,使用单光子发射计算机断层成像术(SPECT)对这项技术进行检验。在急性心肌梗死7天后,使用经皮冠状动脉介入治疗前,通过99mTc-替曲膦SPECT看到的灌注不足区域与通过T2加权像STIR影像检测到的心肌水肿区域相似(8)。因此,T2加权像STIR成像术能够在不干扰急性期患者诊治的情况下,对危险心肌组织进行准确的、可回顾的和非电离的检测。此外,在急性再灌注心肌梗死的病人中,我们和其他一些研究组证明此技术得到的结果和血管造影术对危险心肌评分结果的一致性(9,10)。然而,最近有人对T2加权像STIR成像描绘危险心肌组织的准确性产生怀疑,因为它具有对人造品固有的高灵敏度和可重复性差(11)。此外,此技术的操作序列导致信噪比低及易于在心内膜和心室腔的边界检测到“血流慢”的假象。重要的是,我们对T2加权像STIR成像所确定的危险心肌组织的认识来源于数量相对较少的试验研究,需要进一步的研究。在这种情况下,产生了更好的序列产生了,例如T2加权稳定态自由旋进造影或T2弛豫时间图(12,13)。众所周知,T2加权异常在急性和亚急性预后阶段表现最明显,但是随梗死诱发的心肌水肿和炎症的再吸收而慢慢退去(8)。因此,T2加权STIR的序列能够将急性和慢性心肌梗死区分开来(14),因为在T2加权STIR成像中前者伴随着心肌水肿,而后者没有显现水肿。最后一点,T2加权STIR成像能够显现再灌注后心肌出血情况。事实确实如此,无再灌注的心肌梗死,一般不会导致出血,而再灌注的梗死不同与此,经常出现由缺血性再灌注引起的严重微血管损伤,从而导致明显的红细胞渗出(15)。活体和尸检研究显示通过检测血红蛋白降解物的顺磁性,T2加权具有辨别心肌内出血的能力,这将缩短T2弛豫的时间(16,17)。因此,水肿的图像显示出血性梗死区域的不均一性,通常呈现低亮度的核心和高亮度的边缘,因此可与非出血性梗死区别开来,因为非出血性梗死呈现亮度均匀的心肌(图2)。对98位患有再灌注ST段抬高的心肌梗死患者研究,发现25%的患者心肌内出血(18)。这些出血性梗死的患者出现更大的梗死面积和透壁性心梗,更大的无复流区和更少的心肌复活。心肌内出血,是独立于初始梗死面积,不利于左心室重塑的因素。之后,Eitel等人(19)研究发现T2加权检测出心肌出血,预测心肌梗死后6个月发生重大心血管疾病。
图1 Edema imaging in a patient with a reperfused acute anteroseptal myocardial infarction (day 3 post MI). Short-axis T2-weighted STIR imaging at 4 levels (A-D). The jeopardized, edematous myocardium is visible as the myocardium showing increased signal intensity (arrowheads, A-C). Note the extension of the edema towards the adjacent RV anterior wall (arrows, A-D). Adapted from Ischemic Heart Disease by Bogaert J and Dymarkowski S, in Clinical Cardiac MRI Second Edition, Bogaert J, Dymarkowski S, Taylor AM, Muthurangu V (eds). Springer Heidelberg, Germany (ISBN 978-3-642-23034-9).
图2 Hemorrhagic myocardial infarction. Short-axis T2-weighted STIR imaging (A), early gadolinium imaging (B) and late gadolinium imaging (C) in a patient with an extensive reperfused acute anteroseptal myocardial infarction. Presence of an extensive zone of myocardial edema in the LV anteroseptal wall (arrows, A) with evidence of concomitant myocardial hemorrhage (arrowheads, A). On early gadolinium imaging, a large zone of microvascular obstruction is present (arrowheads, B). At late imaging, a significant shrinkage of the microvascular obstruction has occurred (arrowheads, C) while the infarct has substantially become enhanced (arrows, C). Adapted from Ischemic Heart Disease by Bogaert J and Dymarkowski S, in Clinical Cardiac MRI Second Edition, Bogaert J, Dymarkowski S, Taylor AM, Muthurangu V (eds). Springer Heidelberg, Germany (ISBN 978-3-642-23034-9).
心肌梗死急性期的特征
对比增强的LGE-MRI,可以准确地显示并量化危险心肌组织中的不可逆缺血损伤(20),得到的结果与给予基于钆的造影剂(GBCA)后10到20分钟的T1加权反转回复节段梯度回波脉冲序列得到的结果相似。虽然LGE的原理尚未研究清楚,但确定的是在正常和发生梗死的心肌中,随时间的变化其加强程度存在很大差别。相比正常心肌,GBCA在梗死的心肌中流入和流出的过程相对缓慢,因此LGE影像显示,在梗死的心肌中GBCA的浓度更高。T2加权STIR影像中,非梗死心肌的信号被人为扣除,所以信号低(暗),而梗死的心肌则显示为高信号(亮),因此得到高信噪比(图3)。在发生梗死的组织中,除分布容积的增加可能是导致GBCA的积累的最主要原因外,其他的一些病理生理因素也可能参与其中。钆是一种细胞外造影剂(主要分布在细胞间质),因为正常心肌的组织容积主要是细胞内,所以它不会在正常心肌积聚。然而急性心肌坏死导致细胞膜破裂,扩大了胞外容积,从而引起分布容积增加,导致高钆浓度,在T2加权STIR影像中表现为T1弛豫时间缩短和信号增强。然而,必须牢记,GBCA非坏死或者纤维化特异的,他们的单位体积钆浓度受任何可改变细胞外体积的条件的影响(例如,心肌水肿)。Reimer等人的研究表明,梗死的心肌再灌注2-4天后,伴随着炎症和出血,水含量增加了25%(21)。因此,LGE技术可能夸大了心肌梗死早期的心肌坏死程度,此时的心肌组织出现如充血,水肿和炎症细胞浸润的现象导致梗死组织的容积增加。最近的研究结果显示,梗死后1天至7天间,LGE程度明显降低,提示非常早期(第1天)的影像夸大了不可逆性损伤的程度(22)。在应用LGE技术对心肌梗死后早期阶段进行坏死心肌的量化时,应当考虑这些影响。然而,急性心肌梗死后早期,LGE的信号强度与不利的心室重塑和患者的预后较差息息相关(23)。即使是在已治愈或之前未觉察到心肌梗死的患者中,LGE-MRI中缺血性瘢痕的出现和程度与重大不良心血管事件和心源性死亡也息息相关(24,25)。
图3 Evolution of an acute towards a healed myocardial infarction in a 52-year-old patient with anteroapical infarction. Late gadolinium imaging in horizontal image plane at 1 week (A) and 4 months (B) after the acute event. At 1 week, presence of diffuse enhancement of the apical part of the ventricular septum and LV apex (arrowheads, A) with large area of microvascular obstruction (small arrows, A). Note the presence of some pericardial enhancement over the laterobasal part of the LV (arrows, A). At 4 month follow-up, the infarct has thinned and strongly enhances (arrowheads, B). Note the presence of a small mural thrombus in LV apex (arrows, B). Adapted from Ischemic Heart Disease by Bogaert J and Dymarkowski S, in Clinical Cardiac MRI Second Edition, Bogaert J, Dymarkowski S, Taylor AM, Muthurangu V (eds). Springer Heidelberg, Germany (ISBN 978-3-642-23034-9).
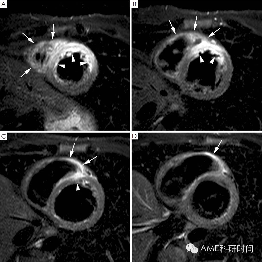
由于LGE-MRI的高空间分辨率以及在正常和坏死心肌间信号强度的差异增加,因此对心肌梗死的成像具有极高的准确度和良好的重现性,优于其他成像方式,如SPECT(26,27)。因此,LGE-MRI使得可以对不可逆损伤心肌进行精确和可重复现的量化,即通过评价坏死心肌的透壁性(心内膜下还是透壁)和质量(坏死或纤维化的量)。梗死透壁可采用半定量评分表示,例如将心肌壁分成等距的4段(26),或使用自动定量的方法(28)。此外,还可以很容易地检测到虽结构小但功能重要的心脏结构(如肌或右心室壁)梗死。目前用于检测右心室梗死的技术低估了其真实发生率(29)。在最近的研究中,我们观察到在急性左心室下端梗死的患者中,右心室水肿和LGE发生的比率分别为75%和54%(30)(图4),而急性左心室前端梗死的患者中,右心室水肿和LGE发生的比率分别为33%和11%,这是因为前外侧的右心室壁有相当部分是靠冠状动脉前降支的细小分支灌注的。在心肌梗死后4个月,持续性的右心室壁LGE,与局部或整体右心室的功能未恢复有关。LGE-MRI可显示小至1 g的心肌坏死,使其成为描绘经皮冠状动脉介入治疗后梗死的理想技术。经皮冠状动脉介入治疗后心肌梗死,在LGE-MRI中显示两种信号形式,即与支架附近侧支闭塞有关的“相邻”的心肌坏死,和斑块材料远端栓塞引起的“远端”心肌坏死(31)。
图4 Nearly isolated RV infarction in 82-year-old woman. Short-axis cine at end diastole (A) and end systole (B), short-axis T2 weighted STIR imaging (C). Late gadolinium imaging in short-axis (D), horizontal long-axis (E) and RV vertical long-axis (F). Moderately dilated and dysfunctional RV (EDV: 197 mL, EF: 39%) and nearly normal LV volumes and function (EDV: 109 mL, EF: 63%). Diffuse RV myocardial edema (arrowheads, C) with limited edema in inferoseptal LV wall (arrow, C). Late gadolinium imaging shows diffuse RV myocardial enhancement (arrowheads, D,E,F). Focal transmural enhancement in inferoseptal LV wall (arrow, D). Note the presence of some pericardial enhancement along the lateral LV border (arrows, E). Adapted from Ischemic Heart Disease by Bogaert J and Dymarkowski S, in Clinical Cardiac MRI Second Edition, Bogaert J, Dymarkowski S, Taylor AM, Muthurangu V (eds). Springer Heidelberg, Germany (ISBN 978-3-642-23034-9).
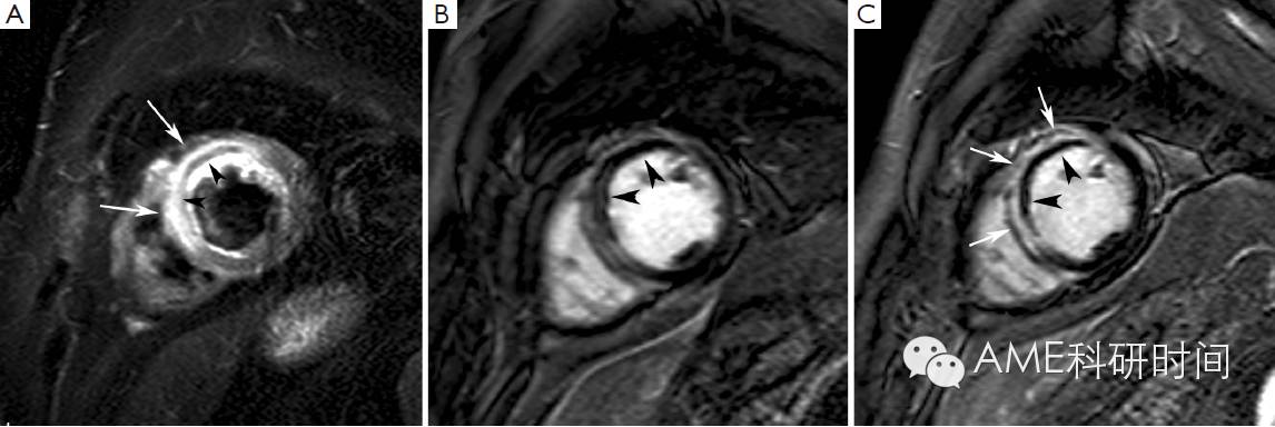
急性心肌梗死再灌注过程中,LGE-MRI还可以准确地检测到微血管阻塞。值得注意的是,虽然经皮冠状动脉介入治疗能够有效实现栓塞有关的动脉的快速和持续疏通,但是有相当比例的ST段抬高的心肌梗死患者(根据形态划分在5%和50%之间)显示出由冠状动脉微血管功能障碍所致的心肌再灌注受损(32)。微血管阻塞具有复杂和多因素参与的发病机制,包括:远端栓塞、缺血再灌注损伤、心肌细胞肿胀和间质水肿所致的压迫、中性粒细胞和血小板所致的微血管堵塞和心外膜冠状动脉血栓的微栓脱落(32,33)。微血管功能受损在LGE-MRI中显示为,出现在信号强度高的心肌(即梗死的心肌)区域中但是心内膜下信号强度低的部分,明显区别与信号强度高且均匀的完全再灌注的梗死心肌。Judd等人(34)使用硫磺素S标定无复流区,验证了LGE-MRI的检测结果(图2和3)。研究52位再灌注ST段抬高的心肌梗死患者发现,相比早期LGE-MRI的图像,晚期的无复流区的数量(32比27)和空间面积(36±25%比16±14%)明显减少(35)。目前,首过灌注成像及LGE-MRI用于检测微血管阻塞(36)。然而,前者用于评估无复流的程度是不甚理想的,因其图像数量有限、空间分辨率较低和动态的特性。早期LGE-MRI(1-4分钟)可将左心室全部覆盖并具有较高的空间分辨率,成为具有吸引力的替代技术(图2)(35)。一些研究组使用早期对比后成像进行无复流成像,而其他一些研究报道LGE-MRI图像显示出低信号中心是左心室重塑最好的预后标记(37,38)。在后期成像时,有可能因低复流区或无复流区造影剂的流入,使小的无复流区信号变得均匀增强,因此只有严重微血管损伤的梗死被认为是真正的无复流梗死。因为这种时间上的差异,需要进一步研究来确定无复流成像的最佳时间点。无复流与更加严重的心肌损伤相关,且随缺血时间的延长而增加,又与无功能恢复、不利的心室重塑和较差的患者预后息息相关(39-42)。Rochitte等人在研究中使用LGE-MRI,发现首次再灌注后48小时LGE低信号区域增加3倍,这说明再灌注后微血管的损伤逐渐增强(43),验证了其他研究者的结论:再灌注后微血管损伤和心肌损伤增加(41)。微血管阻塞根据严重程度分不同等级,梗死核心区的微血管损伤最为严重,导致完全的血管闭塞(无复流),而在梗死外周区,微血管损伤程度较低导致次级阻塞,表现为低复流(44)。这或许可以解释超声波心动描记术和LGE-MRI之间存在的空间范围差异(41)。因此,在急性心肌梗死患者中,发生急性心梗后的第一周采用全面的MRI可以准确估计处于风险的心肌,血管损伤和心肌梗死的程度(图2)。
此外,可推算可挽救的心肌=危险心肌-最终发生梗死的心肌(图5)。可挽救心肌与早期ST段的分辨率独立相关(45),并且是随访中期不利的左心室重塑和重大心脏疾病(即心源性死亡和非致死性心肌梗死)发生的独立预测因素(45,46)。虽然危险心肌范围大于不可逆受损的心肌,但两者密切相关(45)。有趣的是,Francone等人在心脏MRI研究中发现(47),延长缺血时间不影响危险心肌范围,但会增加心肌梗死的面积,从而减少可挽救的心肌,冠状动脉闭塞90分钟后,可挽救的心肌明显减少。早期机械再灌注和维持顺行或侧支血流都分别实现了可挽救心肌的保护,这主要是通过减少梗死透壁来实现的。可挽救心肌代替危险心肌表征心肌梗死的程度,成为新的或辅助的再灌注策略研究的、有吸引力的替代终点指标。
图5 Complementary value of T2-weighted STIR imaging (A,C) and late gadolinium imaging (B,D) in acute infarct imaging. A first patient shows a large area of myocardial edema in the anteroseptal LV wall (arrowheads, A) but not late enhancement (B), corresponding to an aborted infarction. The second patient equally shows an extensive area of myocardial edema in the anteroseptal LV wall (arrowheads, C). Following contrast administration, strong enhancement occurs in the anteroseptal LV wall (arrowheads, D). The extent of enhancement nearly equals the extent of myocardial edema, leaving no or at most a minimal amount of myocardial salvage. In addition, this patient shows a large central hypo-intense zone within the edematous myocardium corresponding to myocardial hemorrhage (C), and an extensive area of microvascular obstruction (D). The relationship between extent of myocardial edema (i.e. area-at-risk) and extent of late enhancement (i.e. MI size), obtained in 137 patients, is shown in the graph (adapted from Masci et al. 2010). On the graph, patient one is shown by the red arrow, patient two by the blue arrow.
慢性心肌梗死、心肌梗死后重塑和心肌活力的特征
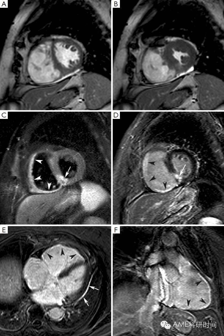
急性心肌梗死后,在坏死的心肌层位置出现一系列的病理生理变化,以坚硬的纤维瘢痕代替坏死的组织,同时为了维持相应的心脏输出,未梗死的心肌层出现代偿以弥补梗死的心肌层造成的损失。尸检结果表明在患者心肌梗死后坚硬的纤维瘢痕取代坏死的心肌的过程可能需要6周,此过程可能受再灌状态的影响(1)。纤维瘢痕替代坏死心肌的过程与受损区域的逐渐缩小有关,这有利于将受损区域最小化以及对抗梗死的血管壁的扩张。心脏LGE-MRI研究表明在急性心肌梗死发生到随访中期期间出现LGE区域持续减少。Ganame等(48)使用MRI对正在接受一级经皮冠状动脉介入治疗的ST段抬高的急性心肌梗死患者在缺血后早期、4个月和1年的状况进行研究。研究者证明在相比心肌梗死后早期,梗死后四个月的左心室体积减小约40%,然而缺血后1年体积没有进一步显著减小。因此这个结果证明了大多数心肌愈合出现在急性发病后的四个月内(图3)。在这个过程中,梗死周围(相邻)区域变薄并出现功能紊乱,这可能是由于受相邻区域坏死或纤维化的心肌的影响。然而,左心室的重塑持续至急性心肌梗死后1年,表现为远端非梗死的心室壁变薄,这至少部分与舒张末期心室壁应力增大,左心室体积增大以及左心室逐渐变成圆形结构有关(图6)。这些研究结果与目前公认的观点相左(即远端非梗死区域发生代偿性心肌肥厚),因此需要进一步的验证(49-52)。近来,我们也研究了梗死区位置和大小以及他们的相互关系是否影响梗死后心肌重塑(53)。在3个三甲医院,我们对正在接受经皮冠状动脉介入术治疗的,患有急性ST段抬高性心肌梗死的260名患者,在患病早期和4个月使用MRI进行研究。我们观察到由于受梗死位置的影响,前壁心肌坏死造成的负担更重,所以患有前壁心梗的患者在发病后左心室的重构和功能失调比下壁和侧壁心梗严重。Bogaert等(54)应用灵敏度高的心肌标记的心脏MRI检测心肌形状的改变,也发现在缺血后的早期远端非梗死心肌已经出现功能失调,对整个左心室的重塑和功能失调有显著影响,这可能是导致梗死区域纵向壁压力增大而没有减少内在的收缩性的原因。在Bogaert等(55)的另一项研究中,对患有透壁性前壁心肌梗死的患者在急性发病后1周和3周,使用心肌标记和晚期钆增强的心脏MRI进行研究。心肌标记的心脏MRI被用来对梗死区心壁中有活力的心外膜的边缘的变形程度进行局域性定量。他们在随访中观察到心外膜下纤维的缩短逐渐减少,这可能与对抗梗死区扩大和增加局部射血分数有关,有利于整个左心室的重构和功能恢复。因此,梗死心肌的愈合模式不仅影响梗死区域的重构和剩余的功能,而且对梗死区相邻和远程心肌的适应性反应产生影响,从而影响整个左心室的形状和功能。值得注意的是梗死区域缩小的程度随其位于梗死区域的方向,即径向、周向和纵向而非常不同。Fieno等(52)在犬再灌注心肌梗死的模型中,研究了梗死和非梗死区域的病程和形状变化。研究者发现径向梗死区域心室壁的厚度逐渐减小而周向和纵向梗死区域心室壁厚度的变化变异性大。心肌梗死径向区域容易被吸收与径向区域心室壁逐渐变薄有关,虽然有时为了对抗心室壁变薄和加速功能恢复而出现一定程度的心外膜肥厚。用实验方法也证明胶原纤维倾向于与坏死的心肌纤维平行分布,反应了心肌层的非均质性(56,57)。这种现象的产生是为了保护梗死心室壁的结构完整性,伴随产生了有抵御力和弹性的瘢痕沉积来抵抗心室的扩张,同时促进了梗死区域相邻心肌层的功能恢复。实验方法证明瘢痕的多样性使得瘢痕可以对抗心室变形导致的周向延伸,与纵向和径向相邻非梗死心肌相互协调(30,31)。连续全方位的MRI技术具有高空间分辨率,高信噪比和无创性的特质,可以描绘出梗死心肌和非梗死心肌复杂的重构过程以及他们对左心室扩张和功能失调的相对影响,为梗死后心室的重构提供独特的视角。
图6 Use of MRI for long-term follow-up of ventricular remodeling post myocardial infarction in a patient with an extensive anteroapical MI. Horizontal long-axis cine imaging at 1 week (A), 4 months (B), 1 year (C), and 5 years (D) after the acute event (end-diastolic time frames). Cine imaging allows to appreciate the infarct healing with thinning of the LV apex, and the progressive LV dilatation over time (A-D). The LV end-diastolic volumes at 1 week, 4 months, 1 year and 5 years are 167 mL, 180 mL, 230 mL, 257 mL respectively. Adapted from Ischemic Heart Disease by Bogaert J and Dymarkowski S, in Clinical Cardiac MRI Second Edition, Bogaert J, Dymarkowski S, Taylor AM, Muthurangu V (eds). Springer Heidelberg, Germany (ISBN 978-3-642-23034-9).
心肌活力的评价
急性亚致死性心肌缺血迅速导致心肌收缩功能损伤,即使在血流恢复正常后数小时仍存在。这种现象被称作心肌顿抑,而且短暂性缺血的反复发生会导致积累性心肌抑制,引起慢性梗死后左心室功能失调(58)。在心肌顿抑和心肌冬眠时,出现冠状动脉血流储备严重减少,而且冬眠的心肌功能的恢复与血流储备的恢复有关。值得强调的是我们对患有慢性左心室梗死死后功能失调的患者,进行术前心肌活力评价的临床应用价值的认识来源于回顾性研究。这提示结合临床数据和血管造影术,心肌活力检测增加了对急性心肌梗死住院和预后一年患者的心肌状况的了解。然而,最近STICH实验的一个子课题研究对心肌活力检查在梗死性心肌病变患者中的价值产生质疑(59)。与指南建议的疗法相比,使用SPECT对心肌活力的检测对患者的存活率并无影响。值得强调的是这项研究的设计不是用来评价利用心脏成像术检测心肌活力的临床应用价值的,因此导致对研究对象选择具有选择和对照偏倚。图7展示了使用不同的研究方法检测心肌活力和全面检查的时间安排。多巴酚丁胺负荷的心脏MRI显示,低剂量的多巴酚丁胺(5-10 µg•kg•min-1)增加功能损伤但仍具有活力区域的心肌收缩,然而高剂量时(高达40 µg•kg•min-1 合并阿托品)心肌收缩可能降低,这反映了心肌梗死的可诱导性(60,61)。这个双相性反应可以准确预测术后功能的恢复状况(62)。相比没有明显瘢痕的区域,出现透壁瘢痕的左心室区段的功能通常不能恢复。多巴酚丁胺负荷的MRI具有很好的特异性(83%, range 70-95%)和中等的灵敏度(74%, range 50-89%),与多巴酚丁胺负荷超声心动描记术相似(63)。LGE-MRI使得可以准确检测由于心肌梗死而产生的取代性心肌纤维化。与急性坏死的心肌层类似,在纤维化的瘢痕区域,细胞内空间大大减小,有利于细胞外区域造影剂CA的积累(64),因此,LGE-MRI显示瘢痕的心肌层看起来信号更强而正常的心肌层的无信号或出现黑色。在患有缺血性心脏病的患者,心脏功能紊乱区域出现LGE的信号,这与SPECT和多巴酚丁胺负荷的超声波心动描记术显示心肌无活力一致,而LGE信号的消失与心肌活力相关无论静息状态下的功能如何(65)。特别是血管重建后,心肌梗死区域收缩功能的恢复可能性,与LGE信号高区域的透壁程度呈负相关(66,67)。在未出现LGE高信号的功能失调的区段,78%的心肌收缩功能在血管重建后得到改善,而在左心室壁透壁程度75%的瘢痕组织形成区段只有2%的功能得到改善(66)。这个发现导致对心肌活力测试认识的巨大转变,即在变薄(<5 mm)和功能失调的心肌层LGE信号的消失,过去被认为是心肌活力丧失,现在认为可能与血管重建后功能恢复正常有关。Post-contrast LGE技术具有非常高的灵敏度(97%, range 91-100%),但是其特异性却相对较低(68%, range 51-85%)(58)。相对低的特异性可能是由以下几个原因造成的:(I)从血管重建到检测左心室功能的随访检测间隔太短(冬眠心肌层功能的恢复长达14个月),(II)假阳性结果,包括程序错误导致的,(III)不完整的血管重建,(IV)邻近瘢痕区段的限制。近来,Gerber等(68)利用LGE-MRI对144名患有缺血性心脏病和左心室功能失调的患者进行了平均三年的随访研究,观察到在没有血管重建的患者中,功能失调但是有活力心肌的出现可作为病死率的独立预测因子。近来,GBCA在患有严重肾功能衰竭的患者中的应用安全性引起担忧,,表现为渐进性、严重的皮肤和皮下组织甚至内部脏器的纤维化。虽然NSF是一种罕见的疾病,通常在使用高剂量的GBCA时出现, mL/min时,尽量减少使用或者不用GBCA。然而,最近一项对370名患有NSF的病例研究发现,其患病风险可明显降低如果采取以下措施:控制GBCA的最大剂量为0.1 mmol/kg;对正在进行透析的患者在注射GBCA后迅速进行透析;急性肾功能衰竭患者待肾功能恢复或者透析后再使用GBCA;在肾功能衰竭患者避免使用非离子线性GBCA(69,70)。
图7 Overview of MRI strategies currently used to assess myocardial viability in patients presenting symptoms of chronic myocardial ischemia and LV dysfunction. Adapted from Ischemic Heart Disease by Bogaert J and Dymarkowski S, in Clinical Cardiac MRI Second Edition, Bogaert J, Dymarkowski S, Taylor AM, Muthurangu V (eds). Springer Heidelberg, Germany (ISBN 978-3-642-23034-9).
结论
心脏MRI是研究急慢性缺血性心脏病最具吸引力的成像技术。在急性心肌梗死患者,这项技术可以用来对心肌梗死损伤进行定量和定性分析,包括危险区域和梗死面积,可挽救的心肌以及心肌出血和微血管阻塞。在慢性缺血性心脏病患者,心脏MRI可对心肌活力和可诱导性缺血进行准确的估计。重要的是,通过得到的这些形态信息和功能评价,可对左心室体积以及局部和整体的心脏收缩功能进行准确的评价。因此,通过MRI可对梗死心肌损伤和梗死后重塑有准确和全面的了解。将来,对心肌的T1和T2值(T1和T2各自的影像)的定量检测的新的序列的产生和心脏分子MRI可能在人类的应用将会进一步增加我们对缺血心脏病的认识。
点击文末阅读原文,可阅读本篇全文。
识别下方二维码,即可进入微店购买《心血管领域新进展》中英文版。
相关推荐
友情链接
Copyright © 2023 All Rights Reserved 版权所有 北京物流信息联盟
