北京物流信息联盟

病例讨论浙二神外周刊(第45期)---颈髓髓内黑色素性神经鞘瘤一例

2022-02-14 08:20:43

广而告之:“浙二神外周刊”作为浙江大学医学院附属第二医院神经外科微信公众号,将以每周一期刊出如病例讨论,手术视频,会议信息,热点研究,学术讲座,疑难解答,简讯等临床实用问题。发布时间为每周一。若有特别内容,以“号外”发布。欢迎大家关注,订阅,指正,交流。

“浙二神外周刊”每周病例回顾,提出最优化的临床治疗分析和随访指导意见。专业讨论意见仅代表浙二神经外科团队观点,如有不同见解,欢迎同道斧正! 每期讨论病例资料及整理均为“浙二神外周刊”原创,“浙二神经外科”授权官方合作新媒体《神外资讯》发布,其他网络媒体转载,请务必注明出处!

 

病史简介

 

患者,男,40岁,主诉左上肢麻木4月,渐加重,经MRl检查,门诊以“椎管内占位”,于2016-04-20收入院。

 

患者于4月前无明显诱因下出现左上肢麻木,间歇发生,无四肢乏力及大小便障碍等,未予重视。近来症状缓慢加重,来我院检查,颈椎增强MRI提示:C1-2髓内占位,性质待查(图1)。发病来除左上肢麻木以外,无其他不适。

 

入院查体:四肢近端及远端肌力V级,无肌萎缩。左上肢远端针刺觉稍有减退,其余面部及躯干、肢体深浅感觉无明显障碍。四肢腱反射正常,两侧对称。双侧巴氏征阴性。

1.颈椎增强MRI,见C1-2偏左侧髓内占位,呈嵌入式生长,向后凸出髓外。AB:平扫,病灶T1呈不均质高信号,T2呈低信号;CD:增强后强化明显。

  

诊治经过

 

术前科室讨论,根据患者慢性起病,MRI所见T1高信号,T2低信号,增强后病灶有明显强化,考虑黑色素性肿瘤(髓内原发或转移性恶性黑色素瘤),髓内神经鞘瘤及海绵状血管瘤引起的亚急性血肿不能排除。但患者病史不是突发起病,症状呈缓慢加重,似与出血表现不符。鉴于患者症状进行性加重,脊髓占位明显,具有明确手术指证,建议手术探查。

 

手术所见

 

完善术前检查后,全麻下行椎管内病损切除术。术中神经电生理监测下,全椎板切开入路,剪开硬膜,即见黑色肿瘤匍匐于脊髓表面,向内嵌入脊髓深部,呈浸润性生长,与正常脊髓组织边界欠清。脊髓发出神经根处亦被肿瘤浸润包绕。肿瘤质地似橡胶样,切除困难,CUSA效果也不理想,最后使用刀片剜除中心部分肿瘤。术中冰冻提示黑色素性肿瘤,倾向转移性恶性黑色素瘤可能。此外,电生理监测提示肿瘤中心部分切除后电生理阈值略有下降,故仅做部分切除(图2)。术后标本送常规病理检查。

2.术中所见:A.髓内肿瘤匍匐生长于脊髓背侧硬膜,大片黑色素沉积;B. 肿瘤质地极韧,似橡胶样,仅能用刀片剜除;C.神经根受侵犯(箭头);D.肿瘤浸润性生长,与正常脊髓边界不清(箭头),仅部分切除


 

点击左下角“阅读原文”或长按并识别下方维码即可观看手术视频。



长按并识别二维码观看手术视频


 

病理结果

 

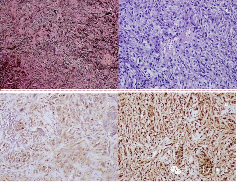
术后病理报告:(C1-2髓内)富含黑色素的上皮样和梭形细胞肿瘤,伴致密胶原间质,散在核分裂,结合免疫组化及特殊染色,考虑黑色素性神经鞘瘤(图3)。

 

免疫组化结果:melan-A -S-100 +HMB45 +Ki-67 -P53 +EMA -Vimentin +

特殊染色结果:脱色素 +,网状纤维染色阳性,纤维围绕单个细胞及细胞巢团。

 

UCLA病理会诊结果:

C1-2髓内肿瘤---黑色素肿瘤,符合黑色素性神经鞘瘤。大量细胞周围网状纤维支持黑色素性神经鞘瘤。不太倾向黑色素细胞瘤。


3. 术后病理结果:A.高倍镜下可见胞质周围大量黑色素沉着,细胞核呈纺锤形。B.脱色素染色后,可见无明显细胞核异型。C.免疫组化示HMB45(黑色素性肿瘤特异性标志物)阳性。D. 免疫组化示S-100阳性。

 

术后情况


术后患者左上肢麻木减轻,无肢体肌力异常。查MRI显示肿瘤部分切除(图4)。


4. 术后T2加权相及增强相均提示肿瘤残留,但突出脊髓部分已切除。

 

讨论


黑色素性神经鞘瘤(Melanotic SchwannomaMS)是一类罕见的原发良性黑色素性肿瘤,由MillarWG最早于1932年报道[1]MS的好发部位位于脊髓后根、交感神经链以及颅神经,少见于周围神经与内脏神经。MS中有一类特殊亚型—砂砾体型,这一类型的患者中有50%伴发有PRKAR1A突变导致的Carney综合征[2]。髓内黑色素性神经鞘瘤更为罕见,目前仅有8例报道,本例为第9[3](图5)。


5. 目前已报道的8例髓内黑色素性神经鞘瘤总结

 

从胚胎发生学上来说,黑色素生成细胞和雪旺细胞均由多型性神经嵴前体细胞分化而来,且互相之间有联系(图6)。目前MS的形成机制有两种假说,一是神经嵴细胞在分化为雪旺细胞过程中夹杂了生黑色素细胞的成分。另一解释是成熟雪旺细胞发生了生黑色素性转化[4]


6. 神经嵴前体细胞分化示意图

临床上MS主要表现为神经根刺激和缓慢进展的脊髓功能受损症状。影像学上主要依靠MRI鉴别。由于黑色素内的自由基带有顺磁性[6],因此MSMRI上表现为T1加权相为高信号,T2加权相为低信号的特点。增强后可伴或不伴强化。这一MRI特点与髓内海绵状血管瘤出血引起的亚急性血肿非常相像。但出血往往表现为突发起病,症状随血肿吸收可逐渐减轻。另一需要鉴别的诊断是髓内恶性黑色素瘤,其MRI表现与MS相同,但恶黑可累及脊髓多个节段,生物学行为极其恶性,患者症状进展快。有文献报道髓内恶性黑色素瘤平均生存期约为113[8]。部分恶黑为转移性,多来源于皮肤,皮肤浅表可有黑斑,其他器官亦可转移受累。

 

MS在病理学上的特征主要是镜下可见纺锤形或上皮样细胞伴随胞质周围的黑色素沉着,较少出现核异型,坏死或核分裂像。免疫组化可出现S-100蛋白、HMB-45melan-A染色阳性。Ki-67通常<1%[2-3,8-9]MS较恶性黑色素瘤在病理学上具有鉴别意义的特点为:MS常以纺锤形细胞为主,可见砂砾体形成,核分裂相较少,黑色素沉着位于胞质周围而非弥漫性分布于细胞核与胞质中[2]。有研究指出GNAQ阴性可能是MS区别于恶性黑色素瘤的免疫组化特点[10]

 

目前手术仍是治疗MS的主要方法[3,8-9]。在已报道的8MS中,6例进行了全切,1例部分切除,1例仅做了细针穿刺。其中3例伴有术后神经功能缺陷,2例失访,其余3例恢复良好。但如何在确保神经功能安全的前提下全切髓内肿瘤仍是一个棘手的问题,且受到术中肿瘤的质地,边界,血供及术者经验的影响。此外,由于MS较为罕见,术中冰冻病理的准确性较低,冰冻结果及对该病的了解不够直接影响了术者对预后的判断,本例即如此。这也是髓内黑色素性肿瘤无法全切的原因之一。

 

髓内MS生物学行为较为良性,预后较其他黑色素性肿瘤好。目前文献报道约有10%左右的MS呈浸润性生长,能够在蛛网膜下腔播散生长,预后不佳[8]。既往髓内MS报道中有1例全切后原位复发,4年后再次行手术治疗[6]。有学者认为因胚胎发生学上生黑色素细胞与雪旺细胞同源,存在MS向恶性黑色素瘤转化可能,术后应密切MRI随访[8]

 

本病例肿瘤质地极韧,切除困难,与正常脊髓无明显边界,术中考虑恶性可能,加上电生理监测有影响,因而未能全切肿瘤。术后病理符合MS诊断,肿瘤生物学行为尚可,术后患者神经功能良好,因此建议患者密切MRI随访。如肿瘤增大,可考虑再次手术,争取在安全的前提下全切肿瘤。

 

参考文献

 

1.       MillarWG. A malignantmelanotic tumour of ganglion cells arisingfrom a thoracic sympathetic ganglion.J Pathol Bacteriol. 1932;35:351–7.
2.       Merat R, Szalay-QuinodozI, Laffitte E, Kaya G: Psammomatous melanotic schwannoma: A challenginghistological diagnosis. Dermatopathology 2015;2:67-70.

3.     Mohamed Mohamed, SpinosPanos, Atik Baborie, Kumar Das & RobinPillay (2014) Atypical benignmelanotic thoracic intradural schwannoma, British Journal ofNeurosurgery, 28:3,411-413,

4.       Agarwalla PK, Koch MJ,Mordes DA, Codd PJ, Coumans JV: Pigmented lesions of the nervous system and theneural crest: Lessons from embryology. Neurosurgery 2016;78:142-155.

5.       Louis DN, Perry A,Reifenberger G, von Deimling A, Figarella-Branger D, Cavenee WK, Ohgaki H,Wiestler OD, Kleihues P, Ellison DW: The 2016 world health organizationclassification of tumors of the central nervous system: A summary. Actaneuropathologica 2016;131:803-820.

6.       Santaguida C, SabbaghAJ, Guiot MC, Del Maestro RF: Aggressive intramedullary melanotic schwannoma:Case report. Neurosurgery 2004;55:1430.

7.       Li YP, Zhang HZ, SheL, Wang XD, Dong L, Xu E, Wang XD: Primary extramedullary spinal melanomamimicking spinal meningioma: A case report and literature review. Oncologyletters 2014;8:339-344.

8.       Hoover JM, Bledsoe JM,Giannini C, Krauss WE: Intramedullary melanotic schwannoma. Rare tumors2012;4:e3.

9.       Mouchaty H, Conti R,Buccoliero AM, Conti P: Intramedullary melanotic schwannoma of the conusmedullaris: A case report. Spinal cord 2008;46:703-706.

10.  Kusters-Vandevelde HV,van Engen-van Grunsven IA, Kusters B, et al. Improveddiscrimination ofmelanotic schwannoma from melanocytic lesions by combinedmorphological and GNAQmutational analysis. Acta Neuropathol. 2010;120(6):755-764.


(本文由浙二神外周刊原创,浙江大学医学院附属第二医院神经外科谷驰总结,朱永坚主任医师提供病例并审校,张建民教授终审。)

 

往期回顾

第一期 http://www.medtion.com/newstop/1436

第二期http://www.medtion.com/newstop/1467

第三期 http://www.medtion.com/newstop/1493

第四期 http://www.medtion.com/newstop/1541

第五期 http://www.medtion.com/newstop/1549

第六期 http://www.medtion.com/newstop/1598

第七期 http://www.medtion.com/newstop/1656

第八期http://www.medtion.com/newstop/1660

第九期http://www.medtion.com/newstop/1694

第十期http://www.medtion.com/newstop/1949

第十一期http://www.medtion.com/newstop/1787

第十二期http://www.medtion.com/newstop/1841

第十三期http://www.medtion.com/newstop/1879

第十四期http://www.medtion.com/newstop/1919

第十五期http://www.medtion.com/newstop/1959

第十六期http://www.medtion.com/newstop/1997

第十七期http://www.medtion.com/newstop/2033

第十八http://www.medtion.com/newstop/2071

第十九期http://www.medtion.com/newstop/2099

第二十期http://www.medtion.com/newstop/2135

第二十一期http://www.medtion.com/newstop/2182

第二十二期http://www.medtion.com/newstop/2212

第二十三期 http://www.medtion.com/newstop/2251

第二十四期http://www.medtion.com/newstop/2294

第二十五期http://www.medtion.com/newstop/2340

第二十六期http://www.medtion.com/newstop/2517

第二十七期http://www.medtion.com/newstop/2425

第二十八期http://www.medtion.com/newstop/2456

第二十九期http://www.medtion.com/newstop/2513

第三十期http://www.medtion.com/newstop/2533

第三十一期http://www.medtion.com/newstop/2562

第三十二期http://www.medtion.com/newstop/2598

第三十三期http://www.medtion.com/newstop/2637

第三十四期http://www.medtion.com/newstop/2673

第三十五期http://www.medtion.com/newstop/2703

第三十六期http://www.medtion.com/newstop/2729

第三十七期http://www.medtion.com/newstop/2764

第三十八期 http://www.medtion.com/newstop/2799

第三十九期http://www.medtion.com/newstop/2831

第四十期http://www.medtion.com/newstop/2885

第四十一期http://www.medtion.com/newstop/2888

第四十二期http://www.medtion.com/newstop/2924

第四十三期http://www.medtion.com/newstop/2958

第四十四期http://www.medtion.com/newstop/2995


友情链接

Copyright © 2023 All Rights Reserved 版权所有 北京物流信息联盟