北京物流信息联盟

髂静脉压迫综合征,不容忽视的"小问题"

2022-03-12 16:15:01

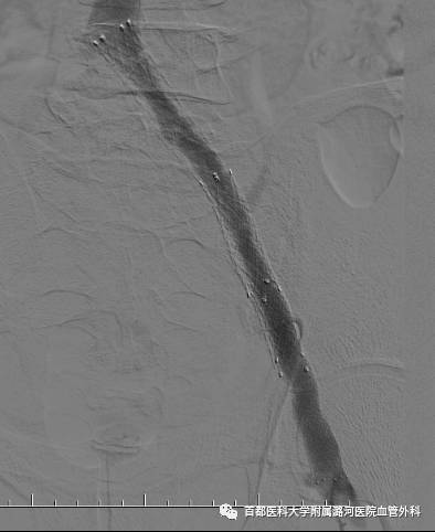
左侧髂总静脉压迫综合征

      髂静脉压迫综合征(iliac vein compression svn— drome,IVcS)是右侧髂总动脉与第五腰椎共同压迫 左侧髂总静脉而引起的左下肢静脉回流障碍性疾 病,又称为Cockett综合征或Mav—Thumer综合征。 1957年,Mav和Thumer经组织学研究发现左髂病 变静脉内膜和中层肉皮细胞被结缔组织所取代认 为是左髂总静脉受右髂总动脉和盆腔压迫,动脉搏 动传导引起的静脉壁之问摩擦刺激,内膜慢性增生 和纤维化形成…。1965年,Cockett等通过解剖学、静 脉造影和手术探查的资料进行系统详细的描述,将 该病命名为髂静脉压迫综合征。在此基础上容易 继发左下肢深静脉血栓形成(DVT)。临床表现主要为慢性下肢静脉功能不全,进 行性加重的肿胀、疼痛、浅静脉曲张、色素沉着、溃 疡及深静脉血栓形成等,极大地危害人类类的健康。 近年来,随着介入技术和介入器材的飞速发展,血 管腔内治疗已经成为IVCS治疗的首选。



髂血管解剖特点


左右髂总静脉于第5腰椎体中下部平面右侧汇合成下腔静脉,右侧髂总静脉几乎呈直线与下腔静脉连续,左侧髂总静脉自盆腔横行向右,经腰骶椎前侧,与下腔静脉几乎成直角汇合。腹主动脉相当于4腰椎分出左右髂总动脉,右侧髂总动脉跨越左侧髂总静脉之前方,然后向骨盆右下延伸。左侧髂总静脉在前方受右侧髂总动脉的骑跨,后方受腰骶部生理性前凸的推挤,造成前压后挤。

(手术中解剖)图片来自网络

尸体解剖


病因
解剖学因素


  • Cockett等报告左髂总静脉受压率为80% 

  • 左髂总静脉处于受压位置还不能构成Cockett征发生的原因,只有使静脉受到挤压损伤和前后壁粘连纤维性索条形成,从而导致管腔狭窄或阻塞后,才是Cockett征发生的关键。


髂静脉腔内粘连结构


Jacgues等分型的检出率:

  •  多呈三角形,尖端向下,贴壁相连,面积5mm左右。Jacgues等检出率为43.8%。付家珏等报告为75%,而40例胎儿则高达100%。如此差异,可能与生后退化所致。

  • 桥型(Bridges) 两学者检出率为16.6~16.9%。1例15mm长桥形双管道,使管腔减小50%。

  • 粘着型(Adhesion) 使前后壁粘连,长度10mm左右,检出率分别为21.5%和8.3%。

  • 带型(Bands) 将静脉前后连在一起长15mm左右,检出率分别为2.3%和8.3%。 


盆腔其它原因


由盆腔占位病而引起者屡有报告。例如淋巴肉瘤、转移癌、粘液囊肿瘤、脂肪增多症,以及外伤性血肿、乙状结肠憩室引起的腰大肌脓肿、膀胱尿潴留和髂静脉平滑肌瘤等。有一些盆腔手术和炎症后形成的疤痕性索条,也有引发Cockett型征的可能。



临床表现


Cockett综合征并没有特异性临床表现,仅从体征和一般检查,很难与原发性深静脉瓣膜关闭不全和下肢静脉曲张等相鉴别。

  • Cockett综合征有下肢静脉曲张率高达66.7~82.0%。此外还有下肢肿胀、瘀滞性皮炎和溃疡等下肢其它静脉疾病所共有的临床表现。

  • 早期下肢肿胀、乏力,女性经期延长、量增多,月经期下肢肿胀加重。

  • 后期因下肢静脉压升高,导致下肢静脉瓣关闭功能不全,最终引起下肢静脉淤血症状:浅静脉曲张、小腿色素沉着、慢性溃疡等。


临床工作中如果发现单一左下肢肿胀患者请于血管外科联系:


辅助检查


cockett综合征既往被认为较少见,随着影像医 学的快速发展以及国内外学者对该病认识的提高, 发现其为常见病,尤其在左下肢深静脉血栓形成患 者中更较常见。目前没有受压处狭窄程度的超声诊断标准,超声检查可提示此病,血管造影是诊断Cockett 综合征的金标准。


彩色多普勒超声


左侧髂静脉受压处管腔变扁,前后径变小。受压的远端扩张,呈“喇叭口”状改变。常伴髂静脉腔内血栓形成,长期血栓可形成大量侧支循环。


直接征像:

受压狭窄区域呈“五彩镶嵌”持续性高速血流;严重受压时受压处血流可缓慢,通过挤压肢体远端可见血流通过;完全闭塞时彩色血流信号中断。

间接征像:

受压远心端侧支循环形成,如髂内静脉血流反向,盆腔内静脉曲张等;髂外静脉呼吸相减弱,甚至消失。

正常髂静脉超声

注意事项


  1. 因左下肢肿胀就诊的患者,如果下肢静脉无异常,应注意有无髂静脉受压。

  2. 由于髂总静脉位置较深,一部分患者(特别是肥胖者)可能因肠气干扰显示不清。

  3. 对该病的检查不能用力过重,以免造成人为的受压。

  4. 超声不能显示管腔内的粘连带。


下肢CTV


下肢静脉CTV:

3D打印模型

下腹部平扫也能初步判断有没有左髂静脉压迫,对于怀疑该疾病的可以常规检查下腹平扫CT。

下肢MRV:


下肢静脉核磁:

随着临床工作的逐渐开展,相关科室的逐渐认识,发现确诊髂静脉越来越简单。


那么髂静脉压迫综合征的又会有哪些危险呢?


首先是左侧肢体肿胀,张力高。如果不尽早进行干预,远期可能形成深静脉血栓后综合征(俗称老烂腿)

深静脉血栓形成后综合征(post-thrombotic syndrome,PTS)是指下肢深静脉血栓形成(deep venous thrombosis,DVT)后所引起的一系列症候群 的总称;髂股静脉Iris是下肢DVT后髂股静脉段 闭塞所引起的症候群。髂股静脉慢性完全闭塞性病 变(chronic total occlusion,CTO)主要继发于DVT并 大部分伴有髂静脉压迫综合征。60%的髂股静脉 DVT患者在两年内将发生PTS。髂股静脉管腔闭塞 过程中炎性改变引起静脉内纤维束带形成及瓣膜 破坏,造成深静脉回流障碍和/或倒流导致下肢静 脉高压,并引起一系列静脉淤血性症状,包括肿胀、慢性疼痛以及难愈性溃疡等。44%的髂股静脉 闭塞患者表现为静脉性跛行(即活动后下肢疼痛、 肿胀、疲劳,休息或抬高下肢后缓解),5%~10%患 者出现难愈性溃疡,严重影响患者生活质量。

急性深静脉血栓严重时可造成股青肿甚至肢体坏疽

部分病人因血栓脱落造成肺动脉栓塞,危及生命!

观察结合文献报道,轻度的压迫是 除了深静脉返流及非血栓静脉损伤外的导致下肢 慢性静脉疾病的重要因素;Cockett在妊娠及大手术 术后血栓事件的发生中越来越受到关注。很多病人在骨科或其他手术后出现左侧肢体肿胀而确诊。

       髂静脉压迫综合征如何治疗呢?

       Cockett的开放手术治疗如Palma-Dale术、髂静脉切开成 形、髂动脉悬吊、人工血管旁路移植术等,创伤大, 并发症多,效果不理想。近年来,经皮导管溶栓术,抽吸 配合球囊扩张和支架植人等,较传统的治疗更符合 人体正常生理和解剖,不但血管通畅率高,并发症 少、临床疗效显著,且能大大缩短住院时间,最大程度地保护静脉瓣膜功能,降低远期血栓后综 合征(PTS)目前介 入治疗Cockett综合征的疗效已得到公认。

我中心2年来已成功开展髂静脉压迫合并血栓形成微创介入治疗近30例,效果满意。文献报道,髂股静脉闭塞腔内支架成形 术3年一期通畅率超过70%,3年二期通畅率超过 90%,而传统转流术仅分别为40%和60%1s—s1。腔内 支架成形术安全、有效,且较开放性手术而言创伤 小、技术难度较低,可以使大部分患者获益,已成为治疗髂股静脉CTO的首选方案。

髂股静脉腔内手术适应证和技术要点 

1.手术适应证:术前影像学检查发现胭静脉和/或 以上部位深静脉(股静脉、髂静脉)存在闭塞但有 适的静脉流入道:患肢症状需满足Villalta评分[> 10分或临床症状C3级及以上(CEAP分级),或有中度以上肿胀、静脉性间歇性跛行、静脉溃疡:能够定期检测凝血功能.依从性较好且有强烈的治疗意 愿者可行髂股静脉闭塞段腔内再通支架成形术。 

2.入路选择:治疗髂股静脉CTO常用的穿刺 入路为腘静脉,患者一般取俯卧位,腘静脉穿刺点位于腘窝横行皮肤皱褶腘动脉搏动点的外侧 0.5 cm处,为了提高穿刺准确度和效率,通常可借助超声或“路途”透视下直接穿刺的方法。对于无 法耐受俯卧位者也可让患者仰卧位,患肢外旋在超 声或“路途”下穿刺。

3.通过CTO病变段的技术要点:髂股静脉CTO 在导丝行进过程中常遇到3个较难通过的部位:腹 股沟韧带处、同侧髂内动脉及右髂总动脉压迫处。 通过病变时应注意:

(1)应用支撑导管、较强支撑的导丝配合,导丝可呈袢状向前推进(导丝袢状部 分顶端推送力较强,可加速导丝前行速度,减少穿 孔);

(2)导丝通过病变段后在球囊扩张之前必须 确认导丝位于静脉管腔内.

(3)长鞘加强支撑可协助导丝通过较难的3个部位;

(4)导丝通过病变部位,但导管或球囊导管难以跟进时,可取小球囊边扩边进 (必须首先确认导丝位于静脉管腔内),进而完成整 个腔内操作;

(5)导丝在行进过程中可能引起管壁 穿孔,导丝在血管外前行时患者常诉疼痛,此时应 撤回导丝或跟进导管推注少量造影剂。如确认导丝在血管外应退回导丝、导管,可继续手术,旋转球管,调整导丝、导管方向,结合髂静脉正常解剖走向尝试其他通道通过病变段.若有大量造影剂外渗时 需终止手术,可在几周后再次尝试;

(6)通过病变 段后取长球囊扩张病变部位开通闭塞静脉,球囊直径自“小”到“大”逐步扩张。对于长段闭塞性病变,通过旋转球管在不同平面细心观察静脉的解剖位置和耐心尝试是通过病变的关键。

 4.支架的选择及释放:需要指出的是,由于闭塞的静脉管腔内主要是炎性改变形成的纤维束带或纤维化引起的闭塞与动脉性闭塞并不尽相同,治疗理念应区别对待。

(1)单纯的球囊扩张往往不能充分扩开闭塞管腔内的纤维束带,漂浮的纤维束带仍有可能导致早期管腔再闭塞,闭塞静脉段即使球囊已扩开闭塞段,但很快就会发生弹性回缩而闭塞.因此必须植入支架使纤维束带尽可能贴壁并且防止管壁发生弹性回缩。对于同时合并有髂静脉压迫性病变的患者植入支架可起到抵抗压迫的支撑作用。

(2)由于静脉闭塞的管腔中为纤维增生的组织,在球囊扩张和支架植入时并不存在“斑块” 移动和移位的情况,单侧髂股静脉病变在髂静脉分叉处行“kissing”球囊扩张并无必要,也无需在这一 位置的双侧髂静脉均放置支架。

(3)为最大限度保证静脉阻塞段回流血量.支架必须完全覆盖病变段,以预防再闭塞的发生,如病变已超越腹股沟韧 带下。仍应放置支架,远心端支架可置于股总静脉各属支开口以上部位(支架内维持足够的血流量通 过是保证支架长期通畅的必要条件)。

股静脉处病变未处理

一周内再次闭塞

溶栓后再次植入跨关节支架

一年后复查支架通畅

(4)目前常用的静脉支架为编织型支架Wallstent(Boston公 司,美国),其柔顺性好,定位于髂静脉病变段释放 后可达到满意的形态学表现,但释放过程中支架前段会发生短缩,因此支架植入最好突入下腔静脉 (2~3 cm),以不碰到对侧为宜,以避免支架移位和 近髂静脉分叉部位支架的再狭窄/闭塞,如不将支架突入下腔静脉,髂静脉支架近心段再闭塞率可高 达40%.突入下腔静脉的支架并不影响对侧血流。

目前我中心常用支架为巴德E-LUMINEXX,该款支架释放精准,支撑力好,价格便宜,但不能跨关节放置。

增加释放支架准确性的有效方式,是翻山进入对侧,植入猪尾导管,猪尾导管及左侧鞘内同时注射造影剂路途,然后释放支架。巴德E-LUMINEXX喇叭口设计,可释放1厘米后向下略收紧释放,可更精准释放于髂静脉开口。不建议该款支架入腔静脉更多,超出髂静脉起始0.5-1厘米为宜。

(5)静脉与动脉不同,前者能够承受大直径支架的过度扩张而不破裂,因此髂股静脉段病变应选择大直径并尽量选择足够长的支架, 避免支架在动脉搏动性压迫时的移位。

(6)在支架植入后进行球囊后扩张.这对预防支架移位十分重 要。

(7)静脉 支架释放顺序由远心段至近心段.由小直径至大直 径依次释放,相邻支架首尾重叠,防止支架移位,二 支架之间重叠应不小于3 cm,以避免再狭窄发生。

左髂静脉压迫综合症导致急性血栓形成,如何快速减容最为关键!

目前有多种方式可以做到:
8F导管抽吸

AngioJet抽吸

溶栓导管局部药物溶栓:

   临床上溶栓方式通常分为全身静脉溶栓和局 部插管溶栓两种,1994 年 Semba 和 Dake 首先报道 采用经导管局部灌注溶栓治疗一组急性下肢深静 脉血栓患者,其血栓完全溶解率及部分溶解率分 别为 72% 及 20%,临床疗效满意。目前插管溶栓 (CDT)已成为急性期 DVT 的首选治方法 。欧美 等国主张大剂量(> 100 万单位 /d),中国、日本等 亚洲国家多主张小剂量(40 ~ 100 万单位 /d)。尿 激酶溶栓效果并不单纯取决于剂量的大小,更取决 于其与血栓的接触面积和作用时间。本中心患者采用尿激酶 50万~ 100 万单位 /d 经微量泵持续 灌注,溶栓疗程为 3d。同时会持续泵入普通肝素盐水,标准肝素化。期间查血小板计数、凝血常规指标及 D- 二聚体水平。如凝血酶原时间超过标准值上限 3 秒或血浆纤维蛋白原 < 1.0g/L 时及时暂停溶栓治疗,以防出现严重的出 血反应。 

本中心停止溶栓条件:

(1)影像学检查发现血栓已完全溶 解,血管管腔已恢复通畅。(2)溶栓过程中血浆 D- 二聚体水平持续处于正常范围,无升高趋势。(3) 溶栓 48h 后血栓仍无溶解迹象,表明血栓已机化。 ,部分患者血栓完全溶解后造影检查可发现髂静脉受压狭窄(Cockett syndrome)。

溶栓注意一下几点:

1、溶栓过程务必肝素化,效果会更好,避免继发血栓;

2、溶栓导管溶栓段长度尽量选择完全覆盖病变部位的;

3、建议溶栓前植入临时滤器预防肺栓塞发生;

4、怀疑髂静脉压迫的,建议导管抽吸或者AngioJet抽吸后,行球囊扩张植入支架后再溶栓,溶栓效果较好。











友情链接

Copyright © 2023 All Rights Reserved 版权所有 北京物流信息联盟