北京物流信息联盟

肩锁关节脱位的治疗选择

2022-07-31 06:33:48

来源:好医生在线

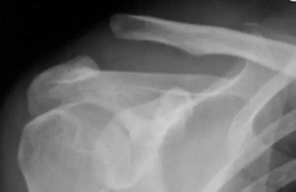
肩锁关节是肩带与躯干相连的重要枢纽,作用于上肢的应力都要通过肩锁关节进行传导。肩锁关节脱位多由直接暴力所致,约占肩部损伤的12%。男性发病是女性的5-10倍。肩锁关节不完全损伤大约是完全损伤的2倍。年龄小于30岁占多数,其中大部分是轻度损伤和半脱位。在美国,这些病例主要是体育运动伤,美式足球运动员极为常见此类损伤。在其他发达国家则常见于橄榄球,足球等。中国以骑摩托车,自行车摔倒者较常见。肩锁关节损伤会造成整个上肢的功能障碍,严重影响患者的生活质量。然而对于肩锁关节损伤治疗方法的选择还存在很大的争议。而且不论采用手术还保守方式治疗,肩锁关节都会残留不同程度的功能障碍。因此,治疗方式的选择和相应的康复治疗对于肩锁关节的功能恢复至关重要。以下是肩锁关节脱位的x线图:


一、肩锁关节的解剖概要

肩锁关节是一个由肩峰内缘与锁骨外端并连的关节,其关节稳定由三部分装置维持:①关节囊及其加厚部分形成的肩锁韧带;②三角肌及斜方肌的腱性附着部分;③喙突至锁骨的喙锁韧带(斜方韧带与锥状韧带)。锁骨与喙突平均距离为1.2cm(1.1~1.3cm)。

肩锁韧带主要维持水平方向上的稳定性;喙锁韧带主要维持垂直方向上的稳定性。其中喙锁韧带对肩锁关节的功能更为重要。喙锁韧带由两个部分构成,分别为内侧的锥形韧带和外侧的斜方韧带(也称三角韧带)。锥形韧带起于喙突根部的内侧垂直向上方止于锁骨的下表面;斜方韧带起于喙突根部的上方,斜形向外侧止于锁骨的下表面。


二.肩锁关节脱位的分型。

最常用的肩锁关节脱位的分型是Rockwood分型。依据该分型,肩锁关节脱位可被分为6型:分别是:I型为肩锁韧带的挫伤或部分断裂,肩锁关节无明显失稳,无影像学可见的关节间隙增宽;II型为肩锁韧带的完全断裂,喙锁韧带韧带挫伤,但外形完整,此时只有喙锁关节间隙的增宽而没有锁骨远端的向上移位;III型为喙锁韧带完全断裂,肩锁关节在垂直方向上的稳定性亦丧失,出现锁骨远端向上移位,移位距离为锁骨端厚度的25%-100%。IV型为锁骨端向后侧脱位进入斜方肌内;V型为锁骨端向上移位达到锁骨端厚度的100%-300%;VI型为一比较特殊的类型,在这一型中,锁骨端向下方脱位至喙突下。其中常见的为I型,II型和III型损伤。还有一种变异的Ⅲ型损伤,即Salter—Harris损伤[27],包括锁骨远端骺损伤、喙突骨折合并肩锁关节脱位.因为锁骨远端骺的闭合较晚(18-22岁),所以该损伤也可发生于年轻人。此时肩锁关节完好,喙锁韧带连接在完整的骨膜鞘上,锁骨的干骺端和干部经肌肉骨膜破裂处向上移位,肩锁关节脱位可以合并关节内、外的喙突骨折,此时喙锁韧带完整连接于喙突骨折块上 ,常见的喙突骨折是经基底的关节外骨折。分型见下图:

还有一种比较常用的分型为TOSSY分型,Ⅰ型:肩锁韧带不完全断裂,喙锁韧带完整,X线上表现为锁骨有轻度移位;Ⅱ型:肩锁韧带完全断裂,喙锁韧带牵拉伤,在应力X线上,锁骨外端直径一半上翘突出超过肩峰;Ⅲ型:肩锁韧带及喙锁韧带完全断裂,可出现钢琴键样体征(piano sign),X线示锁骨远端完全移位。

三、肩锁关节脱位的治疗策略

1、I型和II型脱位:主要采取保守治疗,Ⅰ型损伤一般可以在1-3周恢复正常活动;而Ⅱ型损伤一般在2-12周(一般3-5周)恢复正常活动。但是有位外国学者Martin Mikek对23例I 型和 II 型经保守治疗的肩锁关节脱位进行了为期10.2年的随访,在最后一次随访时,约半数患者存在肩锁关节的功能损害。因此I型和II型肩锁关节脱位的远期疗效是非常不确定的。

2、III型损伤:在治疗上争议很大。目前认为,Ⅲ型损伤需一期手术的适应证为:(1)对美观要求较高或者肩部皮肤菲薄;(2)从事反复提举重物的工种;(3)工作时肩关节长时间处于前屈>90o位。

3、对于Ⅳ、Ⅴ、Ⅵ型因为肌肉与锁骨远端交锁,大多数不能闭合复位,所以最好手术治疗

肩锁关节脱位手术要考虑如下几个原则:1.肩锁关节达到精确复位,恢复锁骨外侧端关节表面的垂直与水平稳定;2.修复或者使用自体(局部的或远处的)/异体韧带替代撕脱的韧带,尽可能达到原有的生物力学形态;3. 在损伤的韧带牢固愈合之前,复位及重建的韧带必须有足够的稳定性,以免再移位;4.一旦修复或重建的韧带牢固愈合,坚强的内植物或暂时性的稳定装置应该即刻移去,不然会断裂,松动或产生肩关节僵硬。

五、治疗方法

(一)、保守治疗:

主要为应用吊带(肯尼-霍华德吊带)悬吊固定。应用止痛药和理疗减轻疼痛。进行功能练习直到达到全幅运动。

保守治疗的并发症

1.创伤后关节炎:很多学者报告Tossy I、Ⅱ型损伤后可出现关节退变,X线片改变可高达75%,出现症状的概率为48%。但是症状的发生与否与X线片表现没有明确关系。如果保守治疗无效可以考虑锁骨远端切除。Ⅲ型损伤如果单纯切除锁骨远端,可能出现肩锁关节不稳定,所以要同时进行肩锁关节稳定术(如喙锁韧带重建术等)。

2.锁骨远端骨溶解:主要表现为疼痛(多发生于外展屈曲时),但有自限倾向。X线片上可见骨溶解,骨质疏松,骨赘形成和锁骨远端变尖[23]

3.神经血管损伤:多由肩胛带不稳定造成臂丛神经牵拉所致;或者由于外固定带过紧压迫所致。如果引起胸廓出口综合征则会出现血管症状。一般通过肩锁关节稳定术可改善症状,且无须松解神经。

4.喙锁间隙骨化:无论保守治疗还是手术治疗都可能发生喙锁间隙骨化,在损伤区周围可以发生异位钙化,或者可以在喙突和锁骨之间形成桥接。喙锁间隙骨化对于功能没有太大的影响。

5.术后复位丧失和再脱位:再脱位/或者部分脱位率较高,但大多数逐渐出现复位丧失的患者并没有明显的症状,多不需要再手术。只有急性再脱位,尤其是那些伴有骨折或内固定物断裂的患者才需要再手术

(二)、手术治疗:

(1)应用K-wire或锁骨钩板固定。

手术要点:撕裂的关节盘需要做切除。修复肩锁、喙锁韧带、修复撕裂的三角肌和斜方肌筋膜。目前学界应用越来越少。

以下是锁骨钩钢板固定:

    

(2)Weaver-Dunn手术:采用喙肩韧带的转位重建喙锁韧带或者自体或同种异体肌腱重建喙锁韧带。同时采用钢丝或纲缆于喙突和锁骨之间固定。

    

(3)动力性重建手术

动力重建就是将喙肱肌及肱二头肌短头在喙突的附着点连同部分骨块一同凿下并将其上移固定于锁骨上的手术方法。此方法更适合于青壮年患者,因为青壮年的肌肉较发达,随着上臂的运动可使肩锁关节牵引复位。该方法再脱位复发率低,但损伤较大,患肢上举时易使关节面两端发生摩擦碰撞,促使肩锁关节加速退化,导致肩锁关节炎的发生。因此在该手术的基础上切除锁骨远端0.5~1 cm,以降低了肩锁关节炎的发生。

(4)肩锁关节脱位手术所应遵循的原则:

①清除脱位处疤痕组织及血凝块,达到解剖复位;

②修复重建相应的韧带和关节囊,以维持肩关节的肌力平衡;

③可靠的固定以最终达到韧带的牢固愈合;

④可进行早期无痛的功能锻炼,防止肩关节周围组织病的发生。

手术治疗也有可能有并发症,如切口感染,损伤血管神经,术后继发半脱位等,虽然目前技术成熟,发生手术治疗的并发症几率很低,但仍然不能完全排除。

免责声明:部分内容源自互联网和其他公众平台,仅供阅者浏览或参考,不确保准确性。如有侵犯版权请告知,我们将及时删除。如果您自行使用本账号发布的信息发生了损失或损害,本账号不负任何法律责任。您浏览本站发布的内容,您的浏览行为将被视为对本声明全部内容的认可。



友情链接

Copyright © 2023 All Rights Reserved 版权所有 北京物流信息联盟