北京物流信息联盟

警惕内分泌科里的高血压

2022-08-20 11:52:49


警惕内分泌科里的高血压——高血压低血钾综合征

作者   赵家胜 刘光辉     来源   内分泌时间 

高血压就只是心血管的事儿吗?NO!其实内分泌科也有不少「内分泌相关性高血压」,在世界高血压日,通过一则病例,咱们来聊聊内分泌科里碰到的高血压。


实战病例解析


50 岁中年男性,因「反复四肢酸软无力 2 月,再发 2 日伴站立困难」就诊于急诊科。当时检查发现血压为 165/100 mmHg,右上肢肌力为Ⅳ级,左上肢肌力为Ⅴ级,双下肢肌力为Ⅳ级。急查血钾为 1.8 mmol/L,血钠 145 mmol/L,血氯 102 mmol/L。遂以「低血钾原因待查」收住我科。


入院体检:血压 155/85 mmHg,心率 80 次/分,呼吸 18 次/分;发育正常,神志清楚,皮肤粘膜无黄染,无贫血貌;甲状腺不大;心界不大,心律整齐,无杂音,双肺呼吸音清晰,无罗音。肝脾不大,肠鸣音正常,未闻及血管杂音;外生殖器及分布正常。双上肢肌力Ⅳ级,双下肢肌力Ⅱ级;病理反射阴性。


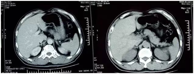
实验室检查:血、尿、粪常规、血糖、血脂和肝肾功能和甲状腺功能均正常, 血磷酸肌酸激酶明显升高为 470U/L(正常范围:38-147U/L)(低血钾可导致横纹肌的损伤);血钾 2.1 mmol/L,血钠 147 mmol/L,血氯 108 mmol/L;24 h 尿钾 79.2 mmol/24 h; 血气分析 PH7.44,标准碳酸氢根 27.1 mmo/L(正常范围:22-26 mmo/L),碱剩余 3 mmol/L,提示为代谢性碱中毒;血浆醛固酮 7.9ng/dl(低血钾可抑制醛固酮的分泌),血浆肾素活性 0.07ng/ml/h,醛固酮/肾素活性比值 (ARR)= 7.9/0.07 = 113,远大于 30。肾上腺 CT 显示「双侧肾上腺增生」(见图 1 )。建议患者进行双侧肾上腺静脉取血测醛固酮,但患者及家属不同意做创伤性检查。


图 1. 左图:右侧肾上腺增生;右图:左侧肾上腺增生


治疗及随访结果:根据病史和检查结果考虑增生型原醛可能,于是给予患者多种降压药物联合治疗,缬沙坦 80 mg/日,氨氯地平 5 mg/日,美托洛尔 25 mg 每日 2 次和螺内酯 20 mg 每日 2 次,出院 3 个月时随访血压和血钾均恢复正常。最后考虑诊断:原发性醛固酮增多症 (增生型)。


原发性醛固酮增多症是引起高血压低血钾最常见的病因


原发性醛固酮增多症是引起高血压低血钾最常见的原因。


最常见的 2 个类型是醛固酮瘤和增生型原醛。不同类型原醛治疗策略迥异——醛固酮瘤和单侧肾上腺增生首选手术治疗,双侧肾上腺增生首选螺内酯等药物治疗,因而原醛类型的判断很重要。


目前多采用肾上腺 CT 或 MRI 检查来判别单侧还是双侧病变,但 CT/MRI 仅能显示肾上腺形态上的改变,无法判断其是否具有高分泌功能,而且分辨率有限,单纯依赖 CT/MRI 检查,容易导致误判。


选择性肾上腺静脉采血 AVS 提高原醛固诊断准确性


选择性肾上腺静脉采血 (AVS) 对病变部位判断的准确性大大提高,该技术通过股静脉插管将导管分别插至左右两侧肾上腺静脉开口取血,测定双侧肾上腺静脉血醛固酮浓度并加以比较,浓度高的一侧为病变侧,两侧浓度没有差异者为双侧病变。经过改良的 AVS 诊断单侧腺瘤或单侧增生的特异性可以达到 95% 甚至 100%,被公认为金标准。


其方法是:术前半小时开始和术中每小时持续静脉滴注人工合成的促肾上腺皮质激素 ACTH50ug(或 25U),采用 Seldinger 法 5F 导管经右侧股静脉插管先后插入左右肾上腺静脉,推注少量造影剂 (3 ml 左右) 显示导管进入肾上腺静脉 (adrenal vein, av) 后,缓慢抽取 5-6 ml 血标本,各分装为两管分别测定醛固酮 (Aav) 和皮质醇 (Cav),同时取肘静脉血测定外周静脉 (peripheral vein, pv) 血皮质醇 (Cpv)。


Cav /Cpv>10:1 提示插管成功。两侧肾上腺醛固酮/皮质醇比之比 (A/Cips/A/Ccont)≥ 2.5(ips: ipsilateral,同侧,优势侧;cont: contralateral 对侧,非优势侧)提示单侧病变,首选手术切除优势侧肾上腺;比值<2.5 者给予盐皮质激素受体拮抗剂-螺内酯治疗。


AVS 检查以两侧醛固酮之比作为判定标准时符合率为 71.8%, 以两侧醛固酮与皮质醇比之比为判定标准时,诊断符合率达到 100%。因此 AVS 在原醛分型诊断中具有重要价值。原醛是高血压伴低血钾最常见的病因,其诊治流程可总结如图 2。


图 2. 原发性醛固酮增多症的诊治流程


临床经验


1. 原发性醛固酮增多症是引起高血压低血钾最常见的原因,在内分泌科中遇到高血压同时伴有低血钾的患者时,不妨考虑此疾病,并采用上述相应检查帮助确诊。


2. 原醛分型诊断很重要,单侧肾上腺病变首选手术治疗,双侧病变首选盐皮质激素受体拮抗剂治疗,低血钾可得到完全根治,高血压可完全或部分缓解。


3. 肾上腺静脉采血 (AVS) 在原醛分型诊断中具有重要价值。


作者简介:

赵家胜,同济大学附属同济医院内分泌科主任医师,主编《内分泌代谢急症-实例分析》,主审《内分泌那些事儿》等书籍。


刘光辉,同济大学附属同济医院内分泌科主治医师,专栏作者, AME 学术沙龙委员,主编《内分泌那些事儿》等书籍。



高血压——记得查查内分泌!
来源:医学界心血管频道   
作者:Zoe


据不完全统计,高血压在我国成年人群中的发病率约为20%,并随着社会老龄化的加快而呈明显上升趋势。内分泌因素是导致继发性高血压的常见原因。

  高血压按照发病原因可分为原发性高血压和继发性高血压,内分泌因素是导致继发性高血压的常见原因,患者由于激素分泌异常,导致血流动力学改变进而引起血压升高。其患病率达高血压人群的10%以上。
  内分泌性高血压有别于原发性高血压,如果其病因未明确,常导致治疗困难,造成严重后果。多种内分泌疾病(如原发性醛固酮增多症、嗜铬细胞瘤、皮质醇增多症等)由于其相应激素分泌增多,导致血流动力学改变而使血压升高。该类高血压常伴随原发病的临床表现,发病更隐匿,且发生心脑血管并发症的风险较高。因此,对高危人群的筛查、诊断及相关治疗是临床工作中的重要关注点。
原发性醛固酮增多症(PA)
  原发性醛固酮增多症简称原醛症,是最常见的内分泌性高血压,是由于肾上腺自主分泌过多醛固酮,导致水钠潴留、高血压、低血钾和血浆肾素活性受抑制的临床综合征。大部分原醛症患者无明显临床症状,少部分低血钾患者(<30%)有易疲劳、肌肉无力、口渴、多尿、夜尿增多等症状。
  1. 需要进行筛查的高危人群
  (1)早发高血压或血压水平较高,特别是血压>180/110 mmHg的患者;
  (2)服用3种以上降压药物而血压不能达标的难治性高血压,或伴有持续性或利尿剂引起的低血钾(血钾<3.5 mmol/L)或肾上腺意外瘤的高血压;
  (3)有40岁以前发生过脑血管意外家族史的高血压患者和原醛症一级亲属中的高血压患者进行原醛症的筛查。
  2. 诊断步骤
  (1)筛查试验:高危患者中检测醛固酮/肾素活性的比值;
  (2)诊断试验:口服高钠负荷试验、生理盐水试验、抑制试验;
  (3)分型及定位诊断:肾上腺静脉采血、影像学检查、基因测序诊断。
  3. 治疗
  根据病因不同采取手术或药物治疗PA。APA及PAH手术效果较好,可选择经腹腔镜肾上腺切除术,大部分患者血压可降至正常或接近正常;如患者不能手术,则用盐皮质激素受体拮抗剂治疗。IHA术后血压下降常不满意,目前不建议手术治疗,推荐用盐皮质激素受体拮抗剂治疗,在有效降压的同时还有靶器官保护作用,螺内酯作为一线用药。
  有研究对PA患者进行介入治疗具有一定的可行性。对GRA患者用小剂量糖皮质激素治疗,需警惕医源性CS的发生。钙离子拮抗剂、血管紧张素转化酶抑制剂、血管紧张素受体阻滞剂等降压药仅在少数PA患者中有使用的报告。醛固酮合成酶抑制剂在将来也可能会使用。基因治疗作为治疗PA的新方法尚在试验阶段,还存在很多问题。
皮质醇增多症(CS)
  皮质醇增多症又称库欣综合征(Cushing syndrome),为多种病因造成肾上腺皮质分泌过多糖皮质激素(主要是皮质醇)而产生的一种症候群。主要病因分为ACTH依赖性或非依赖性库欣综合征两大类;前者包括垂体ACTH瘤或ACTH细胞增生(即库欣病)、分泌ACTH的垂体外肿瘤(即异位ACTH综合征);后者包括自主分泌皮质醇的肾上腺腺瘤、腺癌或大结节样增生。患者常表现为中度高血压,亦有严重高血压者。
  1. 需要筛查的高危人群
  (1)向心性肥胖、水牛背、锁骨上脂肪垫;满月脸、多血质;皮肤菲薄、瘀斑、宽大紫纹、肌肉萎缩;
  (2)高血压、低血钾、碱中毒;
  (3)糖耐量减退或糖尿病;
  (4)骨质疏松、或有病理性骨折、泌尿系统结石;
  (5)性功能减退,男性,女性月经紊乱、多毛、不育等;
  (6)儿童生长、发育迟缓;
  (7)神经、精神症状;
  (8)易感染、机体抵抗力下降。
  2. 诊断步骤
  (1)筛查试验:24h尿游离皮质醇测定(UFC),诊断符合率约为98%;小剂量地塞米松抑制试验,诊断符合率在90%以上;血皮质醇节律测定;
  (2)病因诊断:大剂量地塞米松抑制试验;血浆ACTH测定;岩下窦插管CRH兴奋试验。
  (3)定位诊断:CT、MRI;选择性静脉取血测定ACTH,即从岩下窦、颈静脉窦等部位双侧同时取血测定ACTH。
嗜铬细胞瘤(PHEO)
  嗜铬细胞瘤(PHEO)的治疗以手术为主,也是最有效的治疗手段。腹腔镜手术是一个安全有效的方法。PHEO手术和麻醉的危险性较大,肿瘤内含大量CA,容易被挤压释放入血,引起患者血压剧升和心跳骤停而危及生命,所以要求充分做好术前准备和术后护理。90%PHEO为良性肿瘤,绝大多数术后效果良好,大部分血压可恢复正常。
  术后有近50%的患者仍可能存在高血压,可能与CA长期高水平而致的血管损伤、肿瘤残留或合并原发性高血压等有关。恶性PHEO患者预后不佳,MIBG是除手术以外最有效的辅助治疗方法,但其疗效有限,且尚无治疗剂量的共识,需进一步研究。
  其他合并高血压的内分泌疾病处理原则治疗以治疗原发病为主,大部分高血压在原发病有效控制后会自动缓解。总之,对于临床上应用多种降压药物治疗效果不佳的患者要想到继发性高血压的可能。内分泌高血压是可治愈或缓解的疾病,及时正确的筛查、诊断及对因治疗,能提高内分泌高血压的治愈率,显著减少脑卒中及心脏病事件,显著改善患者的生存质量。
参阅资料: 
[1] 汤帅,黄苏滨,林小红. 内分泌性高血压的临床诊治分析. 《中外医学研究》第12卷第28期;
[2] 河南省人民医院内分泌代谢科 杨俊朋,赵志刚. 内分泌性高血压的临床关注点及治疗评价. 《药品评价》2014年第11卷第5期;

【温馨提示】感谢您对“一附院内分泌科”微信公众号的关注和支持,我们提供免费的内分泌代谢疾病的健康科普知识。可长按下面二维码后抬手,出现“识别图中二维码”后点击选择关注扫描二维码后关注即可。授人玫瑰手留余香,希望您在朋友圈中分享,让更多人获益。我们以前发出的文章您可查看历史消息凡注明来源的均属转载,转载只限于分享专业知识和医学信息之用,不用于任何商业用途。文章版权归原作者所有。如果所选内容的文章作者认为其作品不宜供大家浏览或者不应无偿使用,如果侵犯了您的权益,请及时联系我们邮箱:rwdlln@126.com,我们会及时改正或删除,谢谢!


友情链接

Copyright © 2023 All Rights Reserved 版权所有 北京物流信息联盟