北京物流信息联盟

肺癌质子治疗一个月 体积缩小65%

2022-04-21 14:27:11


肺癌质子治疗一个月 体积缩小65% 


咨询电话:陈庆主任 15666022313

                                 0533—4658618

肺癌是发病率和死亡率增长最快,对人群健康和生命威胁最大的恶性肿瘤之一。近50年来许多国家都报道肺癌的发病率和死亡率均明显增高,男性肺癌发病率和死亡率均占所有恶性肿瘤的第一位,女性发病率占第二位,死亡率占第二位。肺癌的病因至今尚不完全明确,大量资料表明,长期大量吸烟与肺癌的发生有非常密切的关系。已有的研究证明:长期大量吸烟者患肺癌的概率是不吸烟者的10~20倍,开始吸烟的年龄越小,患肺癌的几率越高。此外,吸烟不仅直接影响本人的身体健康,还对周围人群的健康产生不良影响,导致被动吸烟者肺癌患病率明显增加。城市居民肺癌的发病率比农村高,这可能与城市大气污染和烟尘中含有致癌物质有关。因此应该提倡不吸烟,并加强城市环境卫生工作。


肺癌的播散转移主要有:

1.直接扩散

靠近肺外围的肿瘤可侵犯脏层胸膜,癌细胞脱落进入胸膜腔,形成种植性转移。、胸壁组织及纵隔器官。

2.血行转移

癌细胞随肺静脉回流到左心后,可转移到体内任何部位,常见转移部位为肝、脑、肺、骨骼系统、肾上腺、胰等器官。

3.淋巴道转移

淋巴道转移是肺癌最常见的转移途径。癌细胞经支气管和肺血管周围的淋巴管,先侵入邻近的肺段或叶支气管周围淋巴结,然后到达肺门或隆突下淋巴结,再侵入纵隔和气管旁淋巴结,最后累及锁骨上或颈部淋巴结。

肺癌质子治疗病例:

患者,男 55岁

于2006年12月无明显诱因出现走路左偏,左侧上肢抽搐,发作时意识清醒,持续时间约1-2分钟,可自行缓解,当天发作2次。遂于医院就诊,考虑为“颈椎病”,经对症治疗后仍感左侧肢体麻木,为进一步明确诊疗,于2007年1月行PET-CT“示:左肺上叶尖后段肺癌;并右侧顶叶脑转移”,考虑为“肺癌脑转移”,于2007年1月在全麻下行“脑转移瘤切除术”,术后未再出现上肢抽搐及走路左偏,术后病理为“(颅内占位组织)转移低分化鳞状细胞癌。免疫组化:CgA(-),CK(++),CK(5/6)(++),EMA(++),Ki-67(﹥50%+),NSE(-),P53(++),P63(-),S-100(-),Syn(-),Vimentin(-)”,病理标本行基因检测“未检出EGFR及KRAS基因敏感突变”,术后行化疗2周期“紫杉醇脂质体+卡铂”,具体用量不详,2周期化疗后拟行手术治疗,因肺部肿瘤靠近大血管,不能手术,患者遂来我院就诊,经专家会诊,行质子放射治疗。


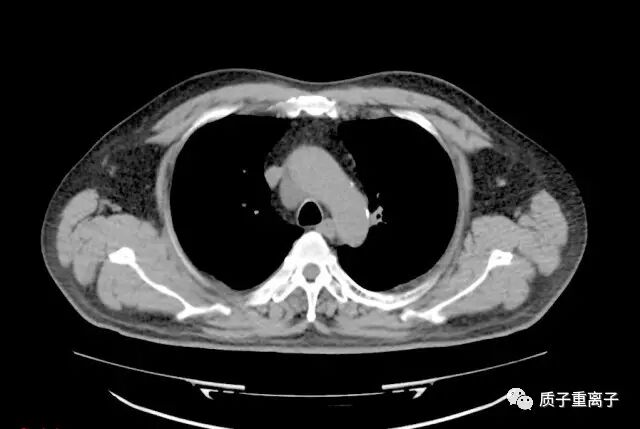
质子治疗前检查图像:左肺上叶见直径3.9cm肿块影;

质子治疗剂量分布:剂量分布良好,对周围正常组织能起到很好的保护,对肿瘤能给予致死剂量:

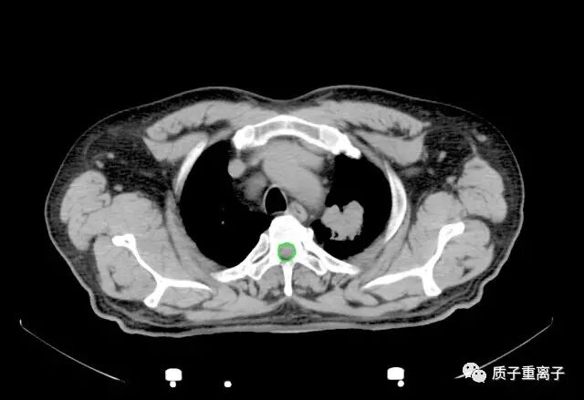
质子治疗一个月后复查:肿瘤较前明显缩小

质子治疗一个月前后对比:肿瘤由治疗前最大截面3.9×3.88cm缩小为2.13×2.48cm,治疗前肿瘤体积为44.56cm3,治疗一个月后为15.68cm3,体积缩小65%;

后续检查结果将持续更新——00349


质子束和重带点粒子特有的物理特性,是靶区在获得更为精准的照射剂量的同时,也能减少周围正常组织的受照射量。因此,可以利用这一特性在安全的范围内提高肺癌患者靶区的受照剂量。由于传统治疗方法对肿瘤局部控制不足,且有证据显示更大剂量照射可以改善肿瘤局部控制,因而对肿瘤患者采用质子放射治疗是更好的选择。

早期非小细胞肺癌立体定向放射治疗局控率很高,由于质子放疗的准确性优于传统放疗,因此治疗疗效会更好。筑波大学的相关研究表明患者2年局控率、无进展生存率和总生存率分别为97%、88.7%和97.8%。

随着质子治疗的普及、临床研究的不断增多,早期和局部晚期非小细胞肺癌质子放射治疗的相关数据越来越成熟,未来相关随机对照试验的结果将进一步明确质子治疗的优缺点。

山东 淄博万杰肿瘤医院质子治疗中心   2004年12月治疗第一例肿瘤患者,目前已治1800余例各类肿瘤患者,拥有360度旋转束治疗室,十年经验,大宗病例,疗效确切,世界公认的尖端技术。


质子治疗癌症主要优点包括:肿瘤邻近重要器官,肿瘤患者亦可获得最好的疗效,而重要器官可受到保护;若肿瘤复发,患者还有再次接受质子治疗的机会;显著减少短期及长期副作用;提升癌症患者的生活质量;明显减少对发育中的少年儿童患者生长发育的影响;明显减少次发性癌症的风险 。

 

质子治疗适应症:

1、头颈部肿瘤:脑膜瘤、脑胶质瘤、颅咽管瘤、垂体肿瘤、颅底脊索瘤、颅底软骨肉瘤、前庭神经鞘膜瘤、鼻咽癌、鼻腔鼻窦恶性肿瘤、腮腺恶性肿瘤、口咽癌、口腔恶性肿瘤、腺样囊性癌、恶性黑色素瘤、软组织肉瘤、血管外皮瘤、复发性头颈部恶性肿瘤、髓母细胞瘤、室管膜瘤、面部纤维肉瘤、海绵状血管瘤、颅内生殖细胞瘤、血管内皮细胞瘤、神经纤维瘤、畸胎瘤、舌根癌、牙龈癌、骨巨细胞瘤、喉癌、淋巴瘤  原始神经外胚层肿瘤PNET。

2、胸部肿瘤:肺癌、恶性纵膈肿瘤包括恶性胸腺瘤、恶性胸壁肿瘤、恶性胸膜间皮瘤、肺部转移肿瘤、纵膈淋巴结转移肿瘤、纤维瘤病、食道癌、贲门癌、乳腺癌、上皮样肉瘤、尤文氏肉瘤、非霍奇金淋巴瘤。

3、腹部 盆腔及其他部位肿瘤:肝癌、胆囊癌、胆管癌、肝外胆管癌、胰腺癌、前列腺癌、子宫内膜癌、子宫颈癌、脊髓肿瘤、骶尾部脊索瘤/软骨肉瘤、骨肿瘤、肾癌、卵巢癌、平滑肌肉瘤、软组织肉瘤、复发性腹盆腔肿瘤、原始神经外胚层肿瘤PNET。

最常见儿童肿瘤病种有:神经母细胞瘤、肾母细胞瘤、肝肿瘤、横纹肌肉瘤、中枢神经系统肿瘤、畸胎瘤等。


截止到2015年淄博万杰肿瘤医院质子中心对治疗的1500例(以肿瘤Ⅰ、Ⅱ期为样本)肿瘤患者进行质子治疗效果统计,部分统计数据如下: 

1、非小细胞肺癌一年局部控制率95 %,5年总生存率61.7 %;

2、肝癌一年局部控制率为94.1%,一年的总生存率为88.2%,五年总生存率65.3%;

3、胰头癌1年局部控制率45%,3年总生存率30%;

4、脑膜瘤1年局部控制率98%,3年局部控制率95%,五年局部控制率85%;

5、脊索瘤1年局部控制率97.8 %,3年总生存率88%,5年总生存率75.5 %,10年总生存率46%;

6、星型胶质细胞瘤, 5年总生存率85%;间变型星形细胞瘤, 5年总生存率51%

微信公号“zhizi0533"

淄博万杰肿瘤医院质子治疗中心

陈庆主任 

          咨询电话:15666022313                                  0533—4658618

微信号:15666022313



友情链接

Copyright © 2023 All Rights Reserved 版权所有 北京物流信息联盟