北京物流信息联盟

CTA二维及三维影像后处理技术(图文)

2022-04-17 06:35:43

放射沙龙——数万放射科医生都在关注的微信平台,回复日期(工作日哦)如150201,即可收听当日的资讯。回复01020304即可查询放射沙龙热文榜单。由于水平有限,放射沙龙所有学习资料如有不当之处,欢迎指正。点击文章下方阅读原文进入病例讨论,同时,欢迎大家多多留言!


二维图象后处理:


①多平面重建(MPR)


MPR是从原始的横轴位图象经后处理获得人体组织器官任意的冠状、矢状、横轴、和斜面的二维图象处理方法,与MR图象十分相近,显示全身各个系统器官的形态学改变,尤其在判断颅底、颈部、肺门、纵隔、腹部、盆腔及大血管等解剖和器处理官的病变性质、侵及范围、毗邻关系有着明显优势。




② 曲面重建(CPR):是MPR的一种特殊方法,适合于人体一些曲面结构器官的显示,如:颌骨、迂曲的血管、支气管等。曲面重建图象的客观性颌准确性和操作者点画线的精确性有很密切的关系。

c)计算容积重建(CVR):CVR是MPR的另一种特殊方式。它是通过适当增加冠状、矢状、横轴面和斜面图像的层厚,以求能够较完整地显示与该平面平行走行的组织器官结构的形态,如:血管、支气管等.同时也可以增加图像的信噪比。



采集数据要求:

1)摆正体位;

2)头颈部器官和骨骼采集层厚≤ 1.0mm/每层,胸腹部器官采集层厚≤ 3.0mm/每层,重叠50%重建;

3)重建函数选用FC 10(软组织)/FC30(骨骼);

4)对手、脚掌骨及关节等部位在确保扫描范围足够的情况下,尽量采用小视野放大扫描;

5)胸锁关节、肩关节及髋关节等部位重建图像时须选用RASP以除去伪影干扰。PWh影像园XCTMR.com


二维图像后处理技术要点:


1)适当调整窗宽、窗位;

2)小间隔(<2mm)生成轴位预览图像以确定病变位置和范围;

3)针对已确定的病变范围调整间隔、层厚和图像帧数生成MPR图像;

4)如病人体位不正,须用斜面重建方式进行调整以获得对称图像。


三维图像后处理:


(a)三维容积重建


容积重建(VR):


VR是目前多层面螺旋CT三维图像后处理中最常用的技术之一。VR图像主要适用于显示以下器官和系统的病变。


(1)骨骼


VR图像可以立体、直观和清晰地显示正常颅骨、躯干骨和四肢骨的生理性突起(如:棘、粗隆、结节和嵴等)、凹陷(如:窝、沟和压迹等)、空腔(如:腔、窦、管、道、孔等)和膨大(如:头、颈和髁等),以及关节的骨性结构(如:关节头和关节盂等)的形态。对长骨、短骨、扁骨和不规则骨,特别是对显示解剖结构和关系复杂的腕关节、踝关节、肘关节、肩关节、髋关节和脊柱及其附件的骨折,关节脱位,畸形以及骨肿瘤等病变的位置、程度、范围和与周围组织器官的毗邻关系,对骨科和整形外科制定手术方案、预测手术的可能性及评估手术的愈后等都具有很高的临床应用价值。




采集数据要求:


a)摆正体位:

b)采集层厚<2.0 mm/每层,重叠重建间隔≤ 0.5 mm;

c)选用骨骼重建函数FC30:

d)对手、脚掌骨及关节等部位在确保扫描范围足够的情况下,尽量采用小视野放大扫描;

e)胸锁关节、肩关节及髋关节等部位重建图像时须选用RASP参数以除去伪影干扰;

f)颌面部扫描时病人应取张口位(或咬牙垫)。


图像后处理技术要点:



a)准确选择预设CT值的上下限,尤其是对较薄的扁骨(如:肩胛骨)重建时应特别慎重以免造成人为的骨质缺损或破坏的假象;

b)必要时可用CIipping、Cutting等工具除去扫描托架、固定石膏等影像的干扰和清晰地显露病变:

c)对骨关节可用Seed技术施行电子关节分离,以便更清楚地观察关节头和关节盖;

d)适当调整伪彩色和遮盖光线的强度,以使图像更清晰、色彩更逼真:e)在判断解剖结构复杂或细小的骨折缝隙和游离碎片时需要借助MPR图像准确定位;

f)多角度旋转图豫尽可能清晰、完整地显示病变部位以及与邻近结构的三维空间关系。


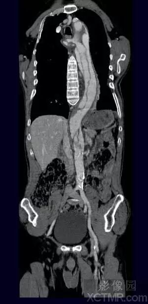
2)血管系统


VR作为MS-CTA的主要后处理技术在血管系统特别是对动脉血管系统病变要以清晰、确切地显示大范围复杂血管的完整形态、走行和病变,图像立体感强,能以多角度直观地显示病变与血管、血管之间以及血管与周围其它器官之间的三维空间解剖关系,其诊断价值已经被临床医生认可。对大动脉血管病变如:动脉瘤、动静脉畸形、狭窄、梗塞、闭塞、夹层和血管壁的钙化等的诊断已经基本取代了DSA检查。对脑动脉瘤的诊断国、内外有关研究报告证实3D-CTA具有很高的准确性、敏感性和特异性,可以确切地检出瘤体直径<3mm的脑动脉瘤。作为一种快速和非创伤性检查手段,可以准确地显示瘤体的位置、形态和大小,评价瘤颈部与瘤体、载瘤动脉和周围血管之间的空间关系,模拟手术入路为选择适当的手术治疗方案提供直观、可靠的依据,可以作为脑动脉瘤的首选影像学诊断方法。近年来,有许多文献报道主张用3D-CTA取代或部分取代DSA诊断脑动脉瘤。





脑动脉CTA数据采集要求:


a)采集层厚≤ 3.0mm/每层;

b)重叠重建间隔≤ 2.0mm;

c)选用软组织重建函数,如FC=10/43;

d)对比剂用量1.0-2.0ml/kg;

e)注射速率2.5-3.0ml/sec;

f)延迟时间15-20sec.,必要时可用对比剂跟踪技术(Sure-Start);

g)扫描方向自下而上;

h)对Willis环动脉瘤扫描范围自第一颈椎向上10cm,并尽量采用放大扫描技术。


其图像后处理技术要点:


a)准确选择预设CT值的上下限,过高或过底均会影像病变显示的清晰度和真实性。但是,适当提高下限值可以鉴别后交通动脉是动脉瘤还是漏斗样扩张,逐渐改变域值后,动脉瘤仍保持圆顶,而漏斗样扩张则变成锥形;

b)用Clipping或Cutting等工具除去下矢状窦、直窦和大脑大静脉以及颅骨等影像的干扰;

c)从前后、后前、左右侧位和头侧和脚侧仔细观察血管形态查找动脉瘤;

d)适当调整伪彩色和遮盖光线的强度,以使图像更清晰、色彩更逼真;e)在疑有直径<2.0mm的动脉瘤时需要借助Fly-around技术辅助判定;

f)多角度旋转图像习可能清晰、完整地显示瘤颈部与瘤体、载瘤动脉和周围血管之间的三维空间关系;

g)对于后交通动脉瘤,也可行3D-MRA检查会更好地显露动脉瘤的全貌,而无颅底骨的干扰。


影响脑动脉CTA后处理图像质量的主要因素:


a)数据采集层厚:薄层(<3mmb)采集数据可提高其分辨率。、

b)对比剂剂量:适当的对比剂剂量(100ml左右)可保证血管中有较高的对比剂浓度,使血管影像特别是细小血管的影像更清晰、更真实。

c)对比剂注射速率:注射速率应>3.0ml/s,以避免扫期间血管中对比剂被血流稀释,使其浓度保持较高的峰值状态。

d)延迟时间:它是数据采集成败的关键。过早开始扫描,血管内的对比剂尚未达到峰值、未充分与血液混合均匀;反之,对比剂则被血流稀释且过多地进入静脉和血管周围组织,从而影响靶血管的成像质量。

e)心脏每搏输出量和循环时间:心脏功能和循环时间有个体差异,最佳延迟时间也会不同。因此,在制定扫描计划前应了解病人的心脏功能状况,以便根据具体情况调整延迟时间。

f)肩部骨伪影:弓上分支血管受肩部骨伪影的影响较大。因此,在扫描计划中应选择RASP参数以除去骨伪影的干扰。


泌尿系统


VR图像可以清晰地显示经对比剂强化的肾脏、肾盏和肾盂的完整形态,以及全程输尿管的走行和梗阻、狭窄部位和狭窄程度,并能以多角度直观地显示肾脏、输尿管与周围血管以及骨骼之间的解剖关系。


VR在泌尿系统疾病的检查中,可以通过去骨、剪切、旋转来显示肾盂、输尿管、膀胱,也可以保留脊椎、骨盆,也可以将泌尿系统的器官和骨骼用不同的颜色区别开。肿瘤应用VR多曲线调整(Free setting Multi-Threshold values Curve)技术可以将经对比剂强化的各系统和器官的肿瘤在同一幅三维图像上同时获得骨、血管和软组织的影像,能够对肿瘤准确地定位、完整地显示病灶本身的状态以及与周围组织器官和血管的毗邻关系和受侵及、挤压移位等情况。经处理后的图像可以对病变进行任意角度的旋转,多方位观察和分析。为了清晰地显示病灶的隐蔽部分,可对图像进行剪裁、切割、钻洞和制作自动电影,为临床医生对疾病做出正确的判断提供更加丰富的影像学信息。


采集数据要求:


a)采集层厚根据不同部位和病变大小适当选择(一般层厚应小于3.0mm/每层);


b)延迟扫描时间应根据肿瘤血供情况确定;

c)重建函数应选择FC 10/43;

d)采用重叠重建。


图像后处理技术要点:


a)准确调整多曲线;

b)针对不同组织的CT值设置伪彩色;
C)对解剖结构复杂或小病灶应参照MPR图像。


密度容积重建(IVR)


IVR图像利用全部体元的深度和透过度信息成像,主要适用于观察腹部和肺部CT值差别较小的组织器官。采集数据要求和图像后处理技术要点与SVR相同;


图像后处理技术要点:


1)准确调整多曲线;

2)适当调整窗宽和窗位。




IVR图象显示支气管与肺部肿瘤之间的关系,此病例虽然没有进行增强,
但是通过图象后处理仍然清晰地 显示出肺内支气管及肿瘤组织,并且可以看到肿瘤支气管关系密切。


最大密度投影(MIP)


MIP是利用容积数据中在视线方向上密度最大的全部像元值成像的投影技术之一。因为成像数据源自三维容积数据,因而可以随意改变投影的方向;因为成像数据取自三维容积数据中密度最大的像元值,因而其主要的优势是可以较真实地反映组织的密度差异,清晰确切地显示经对比剂强化的血管形态、走行、异常改变和血管壁的钙化以及分布范围,对长骨、短骨、扁骨等的正常动态和骨折、肿瘤、骨质疏松等病变造成的骨质密度的改变也非常敏感。此外,对体内异常的高密度异物的显示和定位也具有特别的作用。由于以上特点,MIP作为一种有效的常规三维图像后处理技术广泛地用于显示血管、骨骼和软组织肿瘤等病变。MIP的缺点是对密度接近且结构相互重叠的复杂解剖部位不能获得有价值的图像;图像缺乏空间深度感,难以显示颅内走行复杂的动、静脉血管之间和与颅骨之间的三维空间关系。克服上述缺点的主要方法是用Clipping、Cutting、Seed或Segmentation等技术去除靶器官以外的组织影像的干扰和对图像进行适当角度的旋转。


同样病例VR图象显示结石不如MIP显示清楚。


MIP比VR显示髂动脉钙化更加清晰。


最小密度投影(Min-IP)


Min-IP 是利用容积数据中在视线方向上密度最小的像元值成像的投影技术。由于人体内的组织器官中气道和经过特殊处理(清洁后充气)的胃肠道等的CT值最低(-1000HU),所以Min-IP主要用于显示大气道、支气管树和胃肠道等中空器官的病变。


图像后处理技术要点:


1)用Clipping对图像进行适当的切割以便去除靶器官周围骨骼和软组织影像的重叠干扰;

2)适当地调整窗宽、窗位,以清晰显示中空器官内的病变以及与周围组织之间的对比关系。


来源:影像园

欢迎投稿:2519330936@qq.com

版权申明【本微信所有转载文章系出于传递更多信息之目的,且明确注明来源和作者,不希望被转载的媒体或个人可与我们联系,我们将立即进行删除处理】


(长按图片即可添加!)

友情链接

Copyright © 2023 All Rights Reserved 版权所有 北京物流信息联盟