北京物流信息联盟

犬猫心丝虫:生活史、病理生理学及诊断

2022-04-23 16:41:12

摘要

目前大家越来越重视犬猫心丝虫病。心丝虫是可以预防的;但宠物一旦感染,心丝虫疾病及危及生命的并发症就会不断出现。了解心丝虫的生活史、传播途径及高发季节、检测方法的局限性以及心丝虫病的临床症状是非常必要,这样可以给宠物主人提供合理的心丝虫病预防及治疗的方法。


心丝虫可以寄生于多种宿主,包括犬、狼、狐狸、猫、雪貂、麝鼠、海狮、长鼻浣熊以及人类。心丝虫发病的分布与心丝虫携带犬的分布有关(图1)。定期服用驱虫药可以预防犬猫心丝虫的感染。

1

犬心丝虫病

生活史

了解心丝虫的生活史,可以找到心丝虫检测及治疗的合理方案。雌心丝虫有5个幼虫阶段(L1-L5;图2)。其成虫一般寄生于肺主动脉中,严重时也可侵入右心房、右心室及后腔静脉。虫在交配后产生微丝蚴(L1)进入血液循环,然后蚊子在叮咬吸血时将微丝蚴带入其体内。一般经过8-17天的时间,微丝蚴在蚊子体内会经历2个发育阶段(L1-L2-L3)。发育的时间是由环境温度决定的。如果环境温度不合适(比如,至少14摄氏度),则不能发育成L3。


L3(心丝虫的感染性幼虫)会在蚊子叮咬时感染其它犬。L3会在感染后的1-12天,在宿主皮下、脂肪及骨骼肌中发育成L4。大约在感染后50-68天时,L4发育成L5。然后,L5会进入血液循环,寄生于心脏及肺主动脉中,然后在接下来的99-122天内发育成成虫。成年雄虫长度可达15-18cm;成年雌虫长度一般为25-30cm。在合适的环境下,心丝虫的生活史(微丝蚴至成虫)为184-210天。因为只有成虫才可以繁殖,因此犬在感染6-8月后才会产生微丝蚴。成年心丝虫的寿命可长达5年。微丝蚴最长可存活30个月。

图1 美国犬心丝虫的发病率,数据来源于2005年各地诊所平均报道病例数。有些偏远地区宠物诊所数量较少;因此,这些地区没有病例报道(美国心丝虫协会,2005)。

病理生理学

心丝虫产生的主要病理损伤在肺主动脉及肺脏。损伤的严重程度决定于虫体的数量、感染的持续时间以及宿主对心丝虫的反应。目前已证实当L5到达肺主动脉时会产生病理损伤(感染后3个月)。L5会引起血管损伤及肺部疾病,产生嗜酸性细胞增多症以及呼吸道疾病表现。成虫一般寄生于肺血管丛,其损害包括释放毒素,然后毒素会进一步刺激机体产生炎性反应,另外虫体本身也会造成物理损伤。初始的血管损伤包括内皮细胞破坏及脱落、增生、白细胞及血小板激活及聚集。这些变化会导致平滑细胞增生,胶原纤维聚集,最终发生纤维化。死亡及濒死的心丝虫会有更严重的危害,包括血栓、炎性肉芽肿、褶皱及炎性增生。损伤的血管会表现血栓、血管壁增厚、血管扩张及功能紊乱。

心丝虫释放的血管活性物质会导致血管收缩及组织缺氧,肺动脉高压及心输出量不足。肺动脉高压会引起右心负担加重,导致代偿性心室肥大(心室壁增厚)。在一些严重的病例(心丝虫量较大或慢性感染),慢性肺动脉高压伴有三尖瓣功能问题会导致心脏充盈压升高及充血性心衰。血栓栓塞会引起及加重肺动脉高压、右心衰竭及肺梗死,这些最终导致急性呼吸困难。因此,死亡的心丝虫会加重血管损伤及血栓。

心丝虫还会引起肺实质的损伤。嗜酸性粒细胞肺炎是最常见的实质性损伤,主要是微丝蚴在肺血管中引起的免疫介导性损伤及继发的炎症反应。也有肺嗜酸性肉芽肿的报道,这是由于当微丝蚴进入肺中后,会被嗜中性粒细胞及嗜酸性粒细胞包围,从而产生肉芽肿。心丝虫最严重的临床表现是腔静脉综合征,虫体会进入右心室,导致严重的三尖瓣返流,从而减少血流量。当血流经过心丝虫大量寄生部位时,会导致红细胞机械性损伤,从而导致溶血性贫血。这种血管内的溶血会导致血红蛋白尿。有些患病动物表现腔静脉综合征与右心充血性心衰有关。

心丝虫还会产生抗原抗体复合物,从而导致肾小球性肾炎及蛋白尿。但是,一般不会导致肾衰。另外,心丝虫还会在一些组织中移行,比如大脑、脊髓、眼睛、肝脏或皮肤中。这些损伤程度取决于移行的路径。

临床症状

多数患犬不表现临床症状,与感染虫体的数量及持续时间没有必要关系。这些患犬一般是在做常规检测时被发现的。只有当感染的虫体数量非常多,或者产生并发症时,患犬才表现临床症状。心丝虫病是心丝虫感染肺主动脉、右心及腔静脉导致一系列的临床表现,包括肺炎、肺动脉内膜炎、肺动脉高压、肺动脉血栓及肺源性心脏病。

临床表现取决于疾病的严重程度(虫体及其释放的作用于血管的活性物质引起的病理变化)和持续时间。这些表现会显示心丝虫寄生于肺主动脉及肺部。病史包括体重下降、运动不耐受、昏睡、体质差、咳嗽、呼吸困难、昏厥、腹部膨大/腹水。如果在严重的心丝虫病例中出现肺动脉高压,经过检测后可能发现第二心音分离,右心心杂音(三尖瓣闭锁不全),心率加快。心律不齐及传导紊乱不常见。在严重病例中,可出现房性期前收缩及室性搏动。右心充血性衰竭的病例会出现颈静脉怒张及搏动,肝脾肿大及腹水。肺部症状包括爆裂音、咳嗽、呼吸困难、发绀及咳血。

图2 心丝虫生活史(美国心丝虫协会)

2

诊断

实验室检测

心丝虫感染可在表现临床症状前,通过日常检测而诊断,可以检测血液中微丝蚴或者血液、血清或血浆中的循环抗原。

抗原的ELISA检测是较好的检测方法。这些检测很容易操作,而且具有很好的敏感性和特异性。但是对于感染雄虫或少量雌虫的病例,在感染的前5-8月,这些检测容易出现假阴性结果。因此,ELISA可通过检测抗原浓度,来判断成年雌虫的感染数量,但是当存在大量雄虫或虫体死亡导致抗原水平上升时,会影响检测结果。当地心丝虫的流行情况会影响ELISA检测的准确性。心丝虫发病率高的地区比发病率低的地区ELISA的阳性结果检测会更准确。因此,兽医要了解当地心丝虫的流行情况,以便更好的解释ELISA的检测结果。

血涂片直接检测微丝蚴可以鉴别心丝虫种类。如果是隐性感染(血液中无微丝蚴)、血液循环中微丝蚴数量少或没有检测足够的血样,那么会出现假阴性结果。心丝虫患病动物血液中不出现微丝蚴有几种原因,包括之前服用过心丝虫预防药物、单性别心丝虫感染、潜伏期或免疫系统清除了微丝蚴。浓缩微丝蚴检测血样的方法包括改进诺茨测试方法(Knotts test)及微孔过滤方法。对于心丝虫抗原阳性的病例,需要进行微丝蚴检测。改进诺茨测试方法(Knotts test)及微孔过滤方法比毛细管检测法要更好。

X线检测

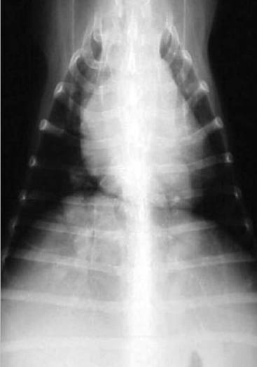
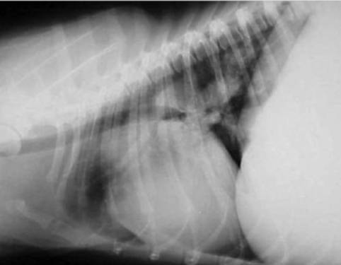
X线不能单独用来诊断心丝虫,但是可以判断疾病的严重程度,评估心肺的实质性变化。心丝虫病X线检测可见病变包括右心室肥大(图3),肺主动脉段突出,肺主动脉密度和大小增加,动脉弯曲。背腹位X片可观察肺后叶血管尺寸。如果血管直径大于第九肋骨直径,那么就是出现异常变化。左侧位X片可以评估肺前叶动脉,正常情况下其直径不能大于伴行的静脉或最接近的第四肋骨直径的三分之一(图4)。胸部X线还可检测肺部渗出物、结节、淋巴结及胸腔积液。肺实质变化包括肺泡间隙及肺泡的病变,特别是肺后叶会比较严重。另外,还会出现肺部嗜酸性肉芽肿。X线检测的变化可能是暂时性的,一般不能诊断为活跃的感染状态。

图3 心丝虫病例背腹位X光片,可以看到右心扩张。

超声心动

当右心舒张末期内径及心室壁厚度增加时,超声心动可以敏感的检测到右心功能异常(比如,右心扩张)。在有些病例中,可以看到肺主动脉及右心的心丝虫(图5)。超声心动可以检测虫体数量多少,三尖瓣返流以及肺动脉高压的严重程度。超声心动还可诊断腔静脉综合征。

图4 心丝虫病例侧位片,可以看到肺动脉扩张。

图5 心丝虫病例超声心动。可以看到心丝虫成虫。

心电图

心电图常被用来检测心律不齐,但是诊断心脏扩张不如X线检测及超声心动。如果存在中度至重度的肺动脉高压,心电图可显示心电轴右偏。心律不齐,比如房性早搏、室性搏动及传导异常(右束支传导阻滞)不常见,除非出现中度至重度心脏增大。

3

临床病理学

一般不用临床病理学方法来诊断心丝虫病,但其在评估疾病发病过程方面很有意义。心丝虫病的病理变化包括轻度再生性贫血、嗜中性粒细胞增多症、嗜酸性粒细胞增多症、嗜碱性粒细胞增多症及血小板减少。严重的心丝虫病例可见肝酶升高、氮质血症及高胆红素血症。尿分析时可见蛋白尿。气管冲洗细胞学检测可见嗜酸性粒细胞炎症;一般没有微丝蚴。如果出现腹水,腹水分析与右心充血性心力衰竭一致(渗出液)。

4

猫心丝虫病

2007年美国心丝虫协会发表了猫心丝虫病的防治指导。另外结合最近的一些研究发现,犬猫心丝虫病差异较大,需要临床医生重视猫的心丝虫病。猫对心丝虫具有遗传抵抗力。因此,在同一地区猫心丝虫病的感染率仅是犬的5%-20%。了解当地犬心丝虫的发病率可以帮助猫主人了解他们的猫咪面临的风险情况。有些人一直认为室内猫是不会感染心丝虫的,打破这些传统思维对心丝虫的预防是非常重要的。

生活史

猫心丝虫的生活史与犬的类似。心丝虫在猫体内的寿命相对较短(2-3年)。猫机体内清除心丝虫幼虫的能力较强。猫的免疫系统可以清除微丝蚴,也可以抑制心丝虫雌虫的繁殖能力。

病理生理学

猫感染心丝虫的数量一般较少(2-4条)。与犬一样,心丝虫幼虫可以引起猫肺血管疾病。这些变化会使猫对心丝虫成虫产生抗性。猫肺动脉对心丝虫成虫的反应要更大。猫肺动脉树分支少,侧枝循环也较少,因此更容易导致虫体栓塞。猫肺动脉虫体寄生或死亡引起的临床表现称为心丝虫相关呼吸道疾病综合征。很少情况下,猫心丝虫感染可导致右心衰竭,产生胸腔积液及腹水。

临床症状

多数猫心丝虫病例不表现临床症状。当出现时,会有特急性、急性及慢性临床表现。特急性及急性临床表现一般与虫体栓塞或异常的移行有关,这种情况多见于猫。这些临床症状包括咳嗽(38%)、流涎、心动过速、休克、呼吸困难(48%)、咳血、呕吐、腹泻、昏厥、迟滞、共济失调、转圈、头部倾斜、失明、癫痫及死亡(10%)。慢性临床症状比较常见,包括厌食、体重下降、昏睡、运动不耐受、右心衰竭、咳嗽、呼吸困难及呕吐。心脏杂音不是猫心丝虫感染的常见症状,这是因为腔静脉综合征及右心肥大以及随后出现的瓣膜闭锁不全很少见于猫。

5

诊断

猫心丝虫病诊断非常困难。其临床表现与犬心丝虫感染的差别很大。另外,猫对心丝虫有抵抗力;因此,出现类似的临床症状一般也不容易怀疑到心丝虫感染。另外,猫一般感染的虫体数量很少,有时可能只感染一条心丝虫雄虫,这就很难进行诊断。因此目前的抗原检测方法很难诊断猫心丝虫。可以选择抗体检测方法,但是抗体检测不能确诊为主动的感染。在L5成熟前被杀死后,也会出现抗体阳性结果。

胸部X线检测可以用来诊断猫心丝虫,但就像诊断犬心丝虫一样,X光片上的变化可能是瞬间的,有时不能表示是阳性病例。猫心丝虫阳性病例X线检测可能是正常的,也可能会看到肺动脉扩张。超声心动可能是目前最敏感的检测方法,有试验表明其诊断正确率可到达78%。因为猫体型较小,有时可看到心丝虫与血管这两条平行的强回声影像。但是,很难去判断心丝虫的数量,因为心丝虫可能是弯曲的,并且可能看到同一条心丝虫的几个部分。



Copyright © 2023 All Rights Reserved 版权所有 北京物流信息联盟