北京物流信息联盟

专题教程:膝关节半月板损伤三位一体检查法

2021-11-20 07:47:00

▲优惠报名即将截止,长按查看详情


本文为作者授权发表,未经授权禁止转载。


作者:曹学伟

 

广东省中医院关节科主任


基层医院诊断半月板损伤的困惑


  • 没有磁共振。

  • 没有关节镜。

  • 问题:我拿什么去诊断你——半月板损伤?

  • 用我们的一双手


何为三位一体检查法?


  • 通过分析膝关节半月板损伤、前交叉韧带损伤及骨性关节炎患者的体格检查、影像学、术中改变资料,探讨膝关节查体、影像学征象、术中改变之间的相关性,把体格检查、影像学检查以及术中改变情况高度统一起来。

  • 主要提高医生通过“手摸心会”去诊断膝关节疾病的水平


图解




膝关节半月板




半月板的作用


  • 填充膝关节,弥补股骨与胫骨的不匹配,增加膝关节的稳定性。

  • 增大接触面积,从而减少骨与骨之间的平均压力,可以有效防止软骨细胞与细胞外间质的机械性损伤。

  • 半月板具有缓冲震荡、吸收能量的作用。



陈旧性半月板损伤




早期诊断的重要性


  • 早期诊断避免了半月板的进一步损伤,也减少软骨的磨损。

  • 早期诊断提高半月板的缝合率。目前公认半月板缝合是治疗半月板损伤的有效手段,可以避免关节退变加快,而越早缝合,愈合率越高。


半月板损伤机制


  • 膝关节由曲到伸并旋转是创伤性半月板撕裂最常见的发生机制。

  • 就是膝关节屈曲时半月板卡在胫骨、股骨髁间,膝关节伸直时发生撕裂。


半月板损伤的分型


  • 垂直纵行(包括桶柄状撕裂)、斜行(也称瓣状或鸟嘴样)、水平型、放射状以及复杂型,半月板囊肿并撕裂,盘状半月板并撕裂。

  • 纵行撕裂最常见,以内外侧半月板后角为主,内外侧发病率基本均等。

  • 半月板囊肿多继发于半月板撕裂,外侧的发病率是内侧的9倍。




诊断

  1. 病史

  2. 症状

  3. 查体

  4. 影像

  5. 关节镜检查


1
病史


外伤史:正常的半月板撕裂常有明显的外伤史(膝关节由曲到伸并旋转),但畸形或退变的可没有外伤史。


2
症状可分为两组


  • 一组有明显交锁:诊断明确,值得注意的是,要注意与健侧对比,膝关节存在5~10度过伸,患侧虽然可以伸直0度,仍为伸直受限。交锁时患者自觉关节屈伸不利,好像卡住,步行或晃动缓解。

  • 一组无交锁:诊断困难,常可出现打软退、弹响、别卡感,关节间隙疼痛,关节肿胀。


3
查体


  • 常规检查:关节间隙间隙压痛、浮髌试验。

  • 专科检查分两类:

  • 被动挤压:麦氏征,Apley征。

  • 主动挤压:Ege‘s征,Thessaly 20°征。

  • 目前没有一种方法可以确诊半月板损伤,几种方法互相参照诊断准确率增加。桶柄查体诊断率高。水平裂阳性率低,其主动挤压阳性率稍高。




4
影像


  • X线:基本检查,一般正常;最重要的是X线没问题并不代表真的没问题。

  • MRI:有效的诊断手段。研究发现临床体检和MRI的诊断准确性的阳性预测率相似,而临床体检的阴形预测值较好。


半月板损伤MRI



MRI正常解剖——外侧




内侧




MRI常见征象


  • 直接诊断半月板损伤:3度损伤,半月板形态异常,半月板与关节囊分离。

  • 征象:蝴蝶结缺失征,多蝴蝶结征,双后叉征。


3度损伤




半月板形体异常、与关节囊分离




蝴蝶结缺失




双后叉征




多蝴蝶结征




关节镜


  • 诊断的金标准,也是治疗手段。

  • 注意探查下表面,注意要与患者症状、查体、影像结合。



病例


病例1

  • 男,23岁。

  • 主诉:扭伤致右膝关节疼痛、活动受限2周

  • 症状:右膝关节疼痛、活动受限,无弹响、交锁。

  • 体征:活动屈曲轻度受限,浮髌试验阳性,外出关节间隙压痛。

  • 被动挤压:麦氏征(+),Apley征(-)。

  • 主动挤压:Ege‘s征(+),Thessaly 20°征(+)。


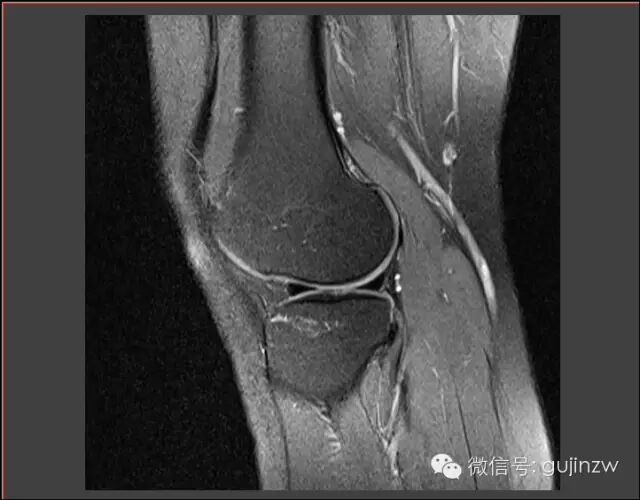
MRI



关节镜




病例2


  • 男,24岁。

  • 主诉:打羽毛球扭伤致右膝关节疼痛活动受限1天。

  • 症状:右膝关节疼痛,活动受限,交锁,伴弹响。

  • 体征:膝关节活动度:15-120度,浮髌试验弱阴性,内外侧关节间隙无压痛。

  • 被动挤压:麦氏征(+),Apley征(+)。

  • 主动挤压:Ege‘s征(+),Thessaly 20°征(+)。


MRI



病例3


  • 男,25岁。

  • 主诉:打篮球扭伤致右膝关节疼痛半年。

  • 症状:轻微跛行,右膝关节疼痛,活动时有不稳感,无交锁、打软腿。

  • 体征:膝关节活动度:0-135度,浮髌试验弱阴性,内外侧关节间隙无压痛。

  • 被动挤压:麦氏征(-),Apley征(-)。

  • 主动挤压:Ege‘s征(-),Thessaly  20°征(+)。



推荐阅读:


觉得不错请点赞  ↓


友情链接

Copyright © 2023 All Rights Reserved 版权所有 北京物流信息联盟