北京物流信息联盟

新生儿口腔巨大包块,请诊断

2022-01-12 12:43:56


关注我们,每天都能收到这种好文章!

微信号:kqjy--2000

作者:周军,吕孟兴,高燕,李霁伟,阿智祥,昆明市儿童医院

 

新生儿牙龈颗粒细胞瘤(congenital granularcell epulis,CGCE)也称新生儿牙龈瘤(congenitalequlis of the newborn),是一种罕见的新生儿口腔良性软组织肿瘤,至今病因不明,好发于上颌牙槽嵴。90%以上为女性,几乎全部见于出生时或出生不久。现将1例CGCE患儿临床资料报道如下。

 

1病例摘要

 

患儿女,G1P1,孕39周,2013-09-23顺产。因发现口腔巨大包块8 h当日收入昆明市儿童医院口腔科。查体:体重2.4 kg,体温36.2℃,呼吸45次/min,心率120次/min。一般情况及反应差,前囟约1.0 cm×1.0 cm,平软。皮肤无黄染,缺氧不明显,三凹征阴性,瞳孔等圆等大,对光反射正常引出;双肺呼吸音粗,未闻及哕音,心律齐,心音有力,未闻及杂音;腹软,肝、脾未及,肠鸣音正常。肌张力正常,拥抱、握持反射正常引出。

 

出生即发现口腔内见一约5.0 cm×3.5 cm×3.0 cm包块,形状不规则,包块突起于口腔外,表面有包膜,且包膜完整,包块表面光滑,呈紫红色,质中软,无波动感,其基底位于上颌牙槽骨中外侧,界清,无明显压痛(图a)。

 


图a 口腔内包块,基底位于上颌牙槽骨中外侧;

 

辅助检查:血常规示白细胞(WBC)23.02×109/L,其中中性粒细胞(N)14.85×109/L;红细胞(RBC)6.12×1012/L,血红蛋白(HB)205 g/L;血小板(PLT)286×109/L。C-反应蛋白(CRP)<0.5 mg/L。肝功能:丙氨酸氨基转移酶(ALT)9 U/L,天冬氨酸氨基转移酶(AST)60 U/L,总胆红素(TBIL)37.6 Ixmol/L,直接胆红素(DBIL)4.5μmol/L,提示高胆红素血症。心肌酶:乳酸脱氢酶(LDH)538 U/L,乳酸脱氢酶同工酶1(LDl)65 U/L,羟丁酸脱氢酶(HBDH)344 U/L,肌酸激酶(CK)610 U/L,肌酸激酶同工酶(CK-MB)32 U/L,提示心肌损害。脉搏血氧饱和度(SPO2)90%(未吸氧),头颅B超提示透明隔腔未闭;腹部B超未见异常;心脏彩超提示卵圆孔未闭,动脉导管未闭(细小管型,双向分流)。粪、尿、血培养正常。

 

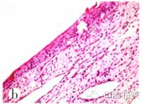
临床初步诊断为口腔巨大血管淋巴管瘤,患儿于2013-09-25全麻状态下完整取下肿瘤送病理检查,病理大体可见:灰红、灰白已剖开包块1个,大小为4.0 cm×3.0 cm×2.5 cm,切面呈灰白、灰红,质韧。镜检(图b、c):肿瘤表面局部被覆复层鳞状上皮,瘤细胞呈巢团状或条索状排列,瘤细胞为多边形,胞浆丰富,富含嗜酸性颗粒,细胞核小、圆,无明显异型性,肿瘤表面局部有多量中性粒细胞为主的炎细胞浸润。免疫组织化学检测结果(图d):NSE(++)、Vim(+)、S100(-)、GFAP(-)、CEA(-)、Pan-CK(-)、CD68(-)、NF(-)、Desmin(-)。

 


图b瘤体表面局部被覆鳞状上皮,局部有多量中性粒细胞为主的炎细胞浸润(HE,×100);图c瘤细胞核小、圆,多边形,胞浆丰富,富含嗜酸性颗粒(HE,×400);图d瘤细胞胞质NSE标记阳性(Elivison二步法,×400)

 

病理诊断:(上颌)新生儿CGCE。最终临床确定诊断为:(上颌)新生儿CGCE。

 

术后予以阿莫西林克拉维酸钾抗感染治疗,扩容、纠正凝血障碍、保暖、光疗、保护脏器功能、止血、输血浆及对症支持治疗,加强护理。出院后嘱咐加强护理,口腔科随访,出院3 d内复查黄疸、3~6个月复查心脏彩超,并到心内科及胸外科复诊。

 

2讨论

 

CGCE几乎全部于出生时或出生不久发现,90%发生于女性,男、女发病比例约为1:10。临床常表现为带蒂包块,呈息肉状肿胀,直径通常<1.5 cm,也有较大病灶甚至从口突出的报道。最常见发病部位为牙槽外侧,尤其是上颌骨,发生于上颌骨和下颌骨的比例为3:1。多数病变为单发,也有10%多发,可能发生于相同或不同牙槽嵴。

 

临床上,产前B超检测也会描述该肿瘤,国外有最早在妊娠26周即发现病灶的报道,提示本病胎儿期诊断的可能性。诊断过程中,病理组织学检查仍是诊断金标准。CGCE组织学特点为:肿瘤细胞呈多边形,体积大内含较多嗜伊红颗粒,伴丛状毛细血管网,散在炎细胞及孤立的牙源性上皮细胞巢,部分瘤体被覆鳞状上皮。

 

目前多数学者认为,本病主要应与颗粒细胞瘤(granular cell tumor,GCT)相鉴别。GCT是一种少见良性肿瘤,多发于成人,全身各个部位均可发病,以口腔特别是舌部最常见。由于GCT也好发于口腔,镜下瘤细胞形态与表现与CGCE极其相似,所以两者确需鉴别:除从发病年龄及部位外,目前最主要的鉴别手段仍是依靠免疫组织化学检测。在CGCE中,Vimentin、NSE常阳性表达,S-100、Pan-CK、CEA、Desmin、激素受体阴性b 3;而GCT中S-100阳性,S-100成为目前鉴别两者最主要的抗体标记。

 

Vered等研究表明,CGCE中Vimentin阳性率约为93%,NSE阳性率约为48%,而S-100为100%的阴性表达,虽早期也有文献报道在CGCE中微波修复后S-100弱阳性表达,但其可能是早期方法学差异所致。另外,Vered等研究表明,在CGCE中PGP9.5和NKI/C3阳性,NGFR/p75、inhibin-α阴性;在GCT正好相反:PGP9.5和NKI/C3阴性而NGFR/p75、inhibin-α阳性,这为2种肿瘤鉴别方面扩大了免疫组化标记范围。本病治疗方法主要为手术切除,局部手术切除不复发,甚至在不完全切除的情况下也不复发。此外,还有文献证据表明,小病灶在出生1年内有自行消退的可能。因此,CGCE预后良好。

 

来源:中国实用口腔科杂志2014年5月第7卷第5期

【免责声明】本平台部份内容来自网络,我们对文中观点保持中立,对所包含内容的准确性、可靠性或者完整性不提供任何明示或暗示的保证,请仅作参考。如有侵权,请联系删除。



友情链接

Copyright © 2023 All Rights Reserved 版权所有 北京物流信息联盟