北京物流信息联盟

【麻醉超声】超声引导下的神经阻滞和局部麻醉

2022-08-15 09:20:00



超声引导下的神经阻滞和局部麻醉


(这是为付先水老师《肌肉骨骼超声检查规范》第二版所写,在此提前发布)


概述


神经阻滞是治疗各种慢性疼痛特别是神经痛的重要手段,局部麻醉是各种外科中小手术中最常用的麻醉手段。最早的常规神经阻滞和局部麻醉是根据解剖标志以及操作者的所谓各种筋膜“突破感”来“盲穿”。“盲穿”的准确性差,并发症多,操作训练时间长,后来部分被X线下的引导所取代。但X线缺乏软组织信息,而且具有放射性,一直没有作为一线的引导方法而得到广泛应用。CT也是可以采用的引导技术,但存在操作相对复杂,有放射性,不能移动等缺陷,因此应用范围仅限于脊神经根和被骨性结构遮挡的颅神经及其分支的阻滞麻醉。


与X线,CT等其他影像技术引导神经阻滞相比,超声引导技术具有以下明显的优势:一,高分辨率,现代高频超能够分辨出绝大部分外周神经的解剖结构。软组织对比分辨率极高,能清楚地识别神经周围的肌肉、血管等。二,实时性,超声成像能够全程清晰显示穿刺针的穿刺过程。三,便捷性,超声引导下的穿刺快速便捷,一次穿刺仅需3—5分钟即可完成。四,无放射性。五,可床旁操作。


利用实时超声能够清晰显示绝大部分外周神经及其分支的解剖结构。正因为此,这就使超声引导下的神经阻滞术和局部麻醉能够做到高度特异性和高度选择性。超声同时还能够实时显示穿刺针的位置,从而大大提高了穿刺的准确性,一方面获得了更佳的治疗效果,另一方面也极大地减少了并发症的发生。


一组严格的文献荟萃分析显示,与传统的X线引导或解剖标志引导相比,超声引导下的神经阻滞和局部麻醉具有以下的优点:

  • 直接显示神经结构

  • 直接显示神经周围解剖结构(血管、肌肉、肌腱和骨),可以作为神经的定位标志

  • 直接显示注射时局麻药的扩散和分布情况,在遥遥无期分布不佳的状况下可以随时调整穿刺针的位置。

  • 较少并发症(如:神经内注射、血管内注射等)

  • 避免神经刺激时的肌肉疼痛收缩(特别是骨折时)

  • 可以减少局麻药的用量

  • 阻滞持续时间延长

  • 阻滞质量提高




神经的显示需要较高频率的高分辨率的超声设备。如今市售的超声设备大多数都符合临床需求。选择用以引导神经穿刺的设备时要考虑以下原则:


具备多种探头类型,至少要有中心频率为7MHz左右和中心频率大于10MHz的两支探头备用。宽频探头首选,可选择的宽频探头的频率最好在10-14MHz5-10MHz。对于肥胖患者和位置深在的神经及神经节的阻滞还会用到更低频率的探头,因此3.5-5MHz探头也必须配置。


由于神经周围的肌肉肌腱和其他结缔组织结构具有明显的各向异性效应,为减少各向异性效应对图像质量的影像,所选超声仪器应该具有声束倾斜功能。


超声仪器应该轻便小巧,便于在手术室及操作间放置和移动。


应该具有较灵敏的彩色和频谱多普勒频谱功能,以便识别神经周围的血管结构。


仪器应该具有容量足够大的硬盘用以存储图像和动态图像。并具有直接存储和导出TIF, JPG, BMPMPG4 等多种格式图像和影片的功能。

局麻药和糖皮质激素


局麻药和糖皮质激素是外周神经阻滞和局部麻醉是的主要用药。相关的药理药物代谢的知识请参阅相关专著。在此仅作一简述。

局麻药药理作用机制:直接作用于细胞钠离子通道特异性受体,阻断神经冲动的传导。


局麻药按化学结构分为酯类和酰胺类两大类,常用的酯类局麻药有普鲁卡因,丁卡因等;酰胺类局麻药有利多卡因、布比卡因、罗哌卡因等。局麻药的脂溶性、解离度和蛋白结合率决定麻醉药的麻醉效能、显效时间、阻滞作用持续时间。麻醉效能与药物脂溶性成正比;显效时间与解离常数成反比;蛋白结合率大的局麻药阻滞作用时间延长。


局麻药吸收的影响因素有给药途径、用药剂量及浓度、药物本身的扩血管作用。血管丰富、组织灌注好的器官局麻药的再分布量多。


局麻药生物转化及排泄:酯类局麻药经血浆假性胆碱酯酶催化水解,酰胺类局麻药在肝细胞内质网由微粒体酶水解。


局麻药不良反应主要有毒性反应、过敏反应。全身毒性反应常见原因:局麻药过量、误注入血管、血液供应丰富部位注射及病人机体状态较差等。


不良反应预防措施:限定药物安全剂量、适宜减量、注药前必须回抽、加入适量缩血管药、给与镇静药物,提高毒性阈值。


糖皮质激素的药理作用广泛,具有抗炎、免疫抑制、抗毒素、抗休克作用以及能对代谢、中枢神经系统、血液和造血系统等产生影响。神经阻滞中主要是利用其抗炎和免疫抑制作用。糖皮质激素种类较多,常用的泼尼松龙、地塞米松、利美沙松和曲安奈德。


穿刺针的选择


超声引导下神经阻滞和局部麻醉对穿刺针并没有特殊要求,任何一种20G22G的穿刺针都可以选用。为了提高超声下针尖的显示率,建议将针尖为长斜面的千叶(Chiba)针作为为首选。穿刺针的长度根据穿刺距离确定。


为了提高超声针道与针尖的显示率,有多家公司推出带有声学回声增强膜的超声专用穿刺针。如果有条件允许可以选用,能够大大提高一次穿刺成功率,唯价格较高。


如果需要神经刺激辅助引导神经定位,则需要选用专门的可以连接神经刺激器的专用穿刺针。


神经的识别与定位


利用超声准确识别和定位需要阻滞的神经是完成神经阻滞和局部麻醉的关键。由于绝大部分的外周神经都位于软组织内,而超声对软组织具有较高的分辨率,因此超声检查可以分辨出绝大部分的外周神经。


外周神经的超声表现


外周神经一般位于筋膜间隙内,高频超声下的神经在短轴上显示为筛网状结构(图1),强回声代表神经束膜,低回声代表神经束本身。长轴扫查,神经显示为平行的索条样强回声,与肌腱回声类似。


一些较细小的外周神经,超声不一定能够直接显示,但一般位于筋膜间隙内,于短轴扫查时可能显示为小的圆形或椭圆形高回声。

靠近神经根部的脊神经由椎间孔发出时一段主干通常为低回声。如臂丛神经位于横突前后结节间沟处和位于肌间沟处的神经束均呈低回声(图2)。

1 前臂正中神经。左图为横断,神经微筛网状结构;右图为纵断,神经显示为平行的索条样强回声。Median Nerve:正中神经,FDS Muscle:指浅屈肌,Median artery:正中动脉

2 颈部肌间沟处臂丛神经主干,显示为低回声结构。箭头:臂丛神经,MSM:中斜角肌,ASM:前斜角肌,SCM:胸锁乳突肌


神经定位技巧


利用超声准确定位神经需要操作医师熟悉外周神经的走形和体表投影位置,熟悉各条神经的毗邻以及断面解剖上的位置关系。不同的神经可以利用该神经的位置关系采取相应的定位技巧。血管、肌肉和骨骼可以作为定位神经的重要标志。


  1. 以血管作为标志(表一)。大部分的外周神经都有血管伴行。相比于神经,超声检查特别是借助于彩色多普勒技术更容易显示血管结构。因此对于某些神经来讲,首先寻找相应的血管然后根据毗邻关系再定位神经会得到事半功倍的效果。


可以以血管作为标志的外周神经非常多。大部分较大的神经周围都有较大的血管伴行,这种情况下血管只是作为识别神经的辅助标志,如上臂内侧肱动脉周围的血管神经束,其中肱动脉、肱静脉和贵要静脉都是定位各条神经的重要标志(图3)。其他的例子还有:股总动静脉脉可以作为股神经的定位标志,腘动脉可以作为腘窝处胫神经的定为标志,股管内股动脉可以作为隐神经的定位标志等等。

3 上臂内侧近段肱血管神经束。Biceps:肱二头肌,Triceps:工三头肌,CB:喙肱肌,从18 分别是:肱动脉、肱静脉、贵要静脉、正中神经、桡神经、尺神经、肌皮神经和上臂内侧皮神经


此外还有一种情况,这类神经比较细小、位置深在,二维超声直接显示非常困难,但这些神经有明显的血管伴行,利用彩色多普勒寻找这些血管便成为定位神经为的关键。例如:阴部神经和伴行的阴部动脉由梨状肌下孔穿出并绕行坐骨棘行至会阴部,扫查时于臀部寻找坐骨棘再利用彩色多普勒寻找阴部动脉即可定位阴部神经(图4)。

4 阴部神经定位。Pud A:阴部动脉,IS:坐骨棘,SSL:骶棘韧带


表一 常用的可以以血管标志的外周神经

外周神经

作为标志的血管

备注

锁骨上窝臂丛神经

锁骨下动脉

臂丛神经穿出肌间沟后即伴行于锁骨下动脉周围

上臂近段正中神经

肱动脉

在上臂直至肘部正中神经均与肱动脉伴行

前臂内侧皮神经

贵要静脉


四边孔处腋神经

腋动脉

腋神经和腋动脉一起与腋窝处经四边孔由前向后穿出

肩胛上神经

肩胛上动脉


前部中段以远及腕部尺神经

尺动脉

自前臂中段以下,尺神经由后绕行至前方于尺动脉伴行

肋间神经

肋间动脉


骨间后神经(桡神经的分支)

骨间后动脉

骨间后神经是桡神经深支,在前臂与骨间后动脉伴行

闭孔神经

闭孔动脉

闭孔神经于闭孔动脉一起穿出闭孔

阴部神经

阴部动脉

见前文

股神经

股总动静脉

股神经位于股动脉外侧

隐神经

股动脉和股静脉

隐神经和股动静脉一起走形于大腿内侧收肌管内

腓肠神经

小隐静脉

腓肠神经是坐骨神经的一个分支,在腘窝处分出,大致与小隐静脉平行

腘窝处胫神经

腘动静脉

腘动静脉前方是粗大的胫神经

腓深神经

胫前动脉

腓深神经和胫前动脉一起走形在小腿骨间膜前方

小腿及内踝处胫神经

胫后动脉

在小腿,胫神经与胫后动脉伴行至内踝处。


  1. 以肌肉作为标志(表二)。外周神经的主干都走形于肌肉筋膜间隙内,因此熟悉每条外周神经毗邻的肌肉结构就可以利用肌肉结构作为神经的标志。例如:枕大神经作为脊神经的分支由椎间孔分出后先下下再向上绕行于头下直肌后方上行。头下直肌是连接枢椎棘突和寰椎横突的一块肌肉,超声检查时非常容易识别,是定位枕大神经的最佳标志(图5)。又如:股外侧皮神经作为腰丛的一支沿盆后壁下行,于髂前上棘水平在缝匠肌和髂肌沟处穿出至皮下。股外侧皮神经是一支细小的皮神经,超声不易直接显示,周围也没有血管伴行,因此在髂前上棘水平显示缝匠肌起点和髂肌即可定位股外侧皮神经(图6)。而肌间沟臂丛神经阻滞则是以前斜角肌和中斜角肌作为标志定位位于臂丛;臀部坐骨神经阻滞则可以以股方肌作为定位标志。

5 枕大神经定位。OCI:头下斜肌,短箭头:枕大神经,长细箭头:椎弓,SSC:头半脊肌,SC:头夹肌,TR:斜方肌

6 股外侧皮神经定位。股外侧皮神经受压水肿(箭头),S:缝匠肌,IP:髂肌


表二 常用的可以以肌肉为标志的外周神经

外周神经

作为标志的肌肉

备注

副神经

胸锁乳突肌和肩胛提肌

副神经由胸锁乳突肌中点穿出后走形于肩胛提肌浅面

臂丛神经(肌间沟处)

前斜角肌和中斜角肌


枕大神经

头下斜肌

见前文

肌皮神经

喙肱肌、肱二头肌和肱肌


肘部正中神经

旋前圆肌、肱肌


肘部桡神经

肱桡肌、肱肌


前臂正中神经

指浅屈肌、指深屈肌

正中神经在前臂处走形于指浅屈肌和指深屈肌之间

肋间神经

肋间内肌、肋间最内肌


髂腹股沟神经

髂腹下神经

腹横肌、腹内斜肌

髂腹股沟神经和髂腹下神经是腰丛的分支,在髂前上棘水平共同走形于腹横肌和腹内斜肌之间

股外侧皮神经

缝匠肌、髂肌

见前文

闭孔神经

耻骨肌,短收肌

闭孔神经穿出闭孔后位于耻骨肌深方,随后分为深浅两支分别位于短收肌的前方和后方

臀部坐骨神经

梨状肌、股方肌、臀大肌等

坐骨神经由梨状肌下孔穿出,在臀部走形于双孖及、闭孔内肌和股方肌的浅方、臀大肌的深方


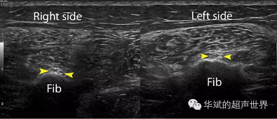
  1. 以骨性结构作为标志(表三)。某些外周神经常常临近一些特定骨性解剖部位,超声检查时通过寻找这些骨性标志就可以定位具体的神经。例如:腓总神经在腘窝上缘自坐骨神经分出后向外绕过并紧贴腓骨颈向前向下再分出腓浅神经和腓深神经。因此,我们可以将腓骨颈作为定位腓总神经的重要标志(图7)。又如:肩胛上神经走形于冈上肌深方肩胛骨的肩胛上切迹内,超声检查时只要显示肩胛上切迹就可以定位肩胛上神经(图8)。

7 腓骨头处腓总神经。Fib腓骨颈部,三角箭头:腓总神经

8 肩胛上神经定位。于冈上窝扫查,探头大致与肩胛冈平行。三角箭头:肩胛上切迹肌其内的肩胛上神经,Suprascapular A:肩胛上动脉,Supraspinatus:冈上肌,Trapezius:斜方肌


表三 常用的可以以骨性结构为标志的外周神经

外周神经

骨性标志

备注

星状神经节

6颈椎(C6)横突前结节

星状神经节C6横突前结节下方、颈长肌前方的颈后筋膜内

肘后部尺神经

尺骨尺神经沟


肩胛上神经

肩胛骨的肩胛上切迹

位于肩胛横韧带的深方

脊神经后内侧支

椎体横突关节突交界处

脊神经后支由脊神经主干分出后于横突和关节突交界处下行在分支

阴部神经

坐骨棘

见前文

腓总神经

腓骨颈

见前文

臀上皮神经

髂嵴

三支臀上皮神经在髂嵴中点处穿至皮下


事实上,大多数的外周神经都可以综合利用血管、肌肉和骨骼作为标志来定位。例如,肩胛上神经除了肩胛上切迹骨性标志外,同时还可以以临近的肩胛上动脉作为定位标志(图8)。而阴部神经则可以同时以坐骨棘和阴部动脉作为定为标志(图4)。我们在实际工作中要熟悉各条外周神经在不同位置的毗邻血管、肌肉和骨骼,综合应用这些解剖标志,使我们对神经的定位更加准确高效。


穿刺技巧和注意事项


在利用前述的超声定位技巧确定需要阻滞的神经后,一般采取徒手穿刺法进行穿刺。我们通常采用由探头一侧进针的切面内(in-plane)穿刺法。这种方法操作方便、自由,可以显示针尖和针道全貌,穿刺准确,成功率高,失误少。而部分麻醉医师喜欢采用由探头中部进针的切面外(out-plane)穿刺法,因为穿刺失误率高,针尖显示率低,我们并不推荐。


为提高穿刺的成功率,注意穿刺时针尖的斜面朝上。


利用彩色多普勒确定穿刺进针路径,确保穿刺途中没有血管结构。注射药物前首先注入少许生理盐水,确保针尖不再血管内!


避免将针尖刺入神经束内,一般首先将针尖置于神经后方,注射一半药物后再退针,然后尖针尖至于神经前方注射另一半药物。使注射的药物包绕在神经周围为佳(图9)。


要遵循严格无菌操作要求。

操作间要备有基本的急救药物和心肺复苏设备。

操作者应该接受过急救和心肺复苏训练。

神经节的阻滞前要避免使用镇静剂。

9 股神经阻滞后,显示局麻药包绕在神经周围。LA:局麻药,FN:股神经。三角箭头所示范围为局麻药的分布情况


并发症及处理

局麻药不良反应主要有毒性反应和过敏反应。


局麻药过量或入血会造成非常严重的毒性反应,甚至导致心跳骤停,因此一定要避免局麻药入血。穿刺时确定穿刺途径上无血管,避免穿刺针刺入血管。注药前要回抽确定无回血后再注药。操作间各种急救设备的配备和操作医师的急救培训要到位,一旦出现心跳骤停等状况要迅速现场施救。


操作间必须配置必要的抗急性过敏的药物。对于有急性过敏史的患者要严格评估后才施行操作。


神经创伤是由于穿刺针直接刺入神经束膜内导致的神经直接损伤。一般可自行修复。如果有明显的出血压迫症状出现,应尽早外科处理解除压迫。为避免穿刺针对神经的损伤,穿刺时要尽可能低显示针尖的位置,穿刺针至于神经周围即可开始阻滞。


其他轻微并发症包括局部出血、局部感染等。事前了解患者的出凝血状况,加强无菌操作观念可以避免这些并发症的发生。一旦发生,对症处理即可。


来源:华斌的超声世界



关注“中国超声医学”


长按指纹 识别图中二维码 点击关注


友情链接

Copyright © 2023 All Rights Reserved 版权所有 北京物流信息联盟