《更多资讯》敬请关注公众平台,点击右上角查看历史记录
脊柱外科手术术后并发症有效复查和诊断,要求放射科医师对患者的症状和手术类型有全面了解,并采用系统的方法评估整个脊柱和相邻结构。 放射照相仍然是常规随访的主要方式,但MDCT已成为优化植入物术后评估的标准,MRI在诊断并发症如感染和软组织病变中起主要作用。
![]()
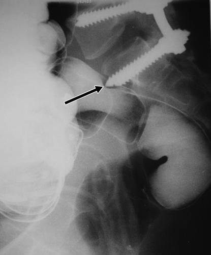
图1 -57岁的男子L5-S1融合。 侧位片显示螺钉(箭头)刺穿S1椎体皮层,触及直肠后壁,有造成肠道破裂的风险。
![]()
图2--78岁男子因颈部疼痛并广泛退行性变,接受颈椎融合。颈椎CT图像显示右侧C5关节螺钉(箭头)移位,在C5-C6处穿过右神经孔。
![]()
图3 -56岁的女子,位置不正确。轴向CT图像显示T4左侧螺钉角度偏差过大,穿破左侧椎弓根内侧皮质,影响椎管。
![]()
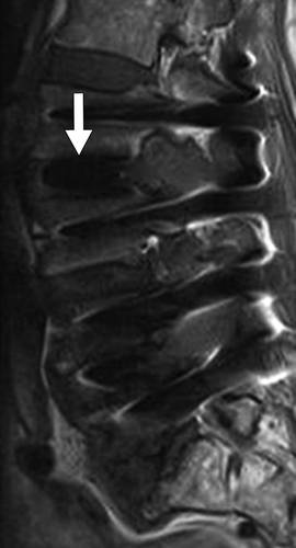
图4A-76岁女性,背痛和严重退行性变,行腰椎融合,椎板切除术后8天。矢状T1加权MR图像显示从L2到S1的椎板切除部位的大的异常信号(箭头),延伸到硬膜外间隙,致硬膜囊受压和椎管狭窄。
![]()
图4B-76岁女性,背痛和严重退行性变,行腰椎融合,椎板切除术后8天。轴向T2加权MR图像显示明显硬膜囊受压和椎管狭窄。
![]()
图5A-67岁男子L3-L5腰椎融合3年后复发性左侧放射性疼痛。MDCT图像显示左侧椎弓根螺钉(L3-L5)。 左L5-S1神经孔被表示盘或瘢痕组织的软组织阻塞,L5神经根被压缩(薄箭头)。 L2-L3和L5-S1中的真空现象(粗箭头),表示髓核变性。
![]()
图5B-67岁男子L3-L5腰椎融合3年后复发性左侧放射性疼痛。矢状MDCT图像显示标记的椎间盘突出(薄箭头)和L5椎体向前滑脱;手术后肥厚的增生组织导致L5-S1(长厚箭头)椎管狭窄;在L1-2和L2-3处可见后椎体后缘骨质疏松和椎间盘膨突(短粗箭头)。
![]()
图6A-52岁女性,L5-S1椎间盘突出症术后1年。未增强的轴向T2加权MR图像显示压迫L5神经根(箭头)的右侧侧隐窝处的软组织, 疤痕形成不能与复发性椎间盘突出症区分开来。
![]()
图6A-52岁女性,L5-S1椎间盘突出症术后1年。轴向T1加权脂肪抑制对比度增强MR图像显示右侧L5根附近的显着增强(箭头)并延伸到硬膜外腔。 发现与硬膜外瘢痕形成和血管再生有关。有一点要注意,在复发性椎间盘突出的患者检查中,一般不会做曾强扫描。
![]()
图7A-73岁的男子进行融合术后复查。侧位片显示螺钉断裂(箭头)。
![]()
图7B-73岁的男子进行融合术后复查。三维CT图像清楚地显示了断裂的螺钉(箭头)。
![]()
图8-59岁的女性,C4-C7颈椎融合后2.5年。 矢状位MDCT图像显示了位移和从椎体脱离的稳定螺钉(箭头)。
![]()
图9A-58岁的女性,颈椎融合手术。侧位X线照片显示结扎线连接器(箭头)分离,并向枕部移位(箭头)。
![]()
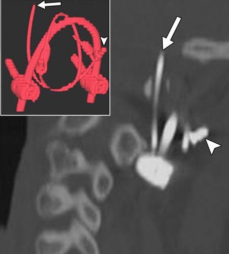
图9B-58岁的女性,颈椎融合手术,颈椎矢状CT图像和三维CT图像(插图)显示结扎线(箭头)穿入到了枕骨大孔。 颈椎不稳定是这种并发症的另一个后果。 箭头表示连接器。
![]()
图10 - 68岁男子,L2-L5融合。 CT图像显示L2处右侧椎弓根螺钉松动的特征。 箭头指向骨吸收区域周围的硬化边缘,表明松动。
![]()
图11A-69岁女性,在L1后压缩性骨折手术后12个月进行随访。矢状CT图像显示L1椎体及内置物(箭头)。 原始L1椎体前部已完全吸收。 L1椎后部(箭头)的高度明显降低。
![]()
图11B-69岁女性,在L1后压缩性骨折手术后12个月进行随访。冠状CT显示内置物(箭头)的凹陷,现在它位于横向稳定螺钉的顶部。
![]()
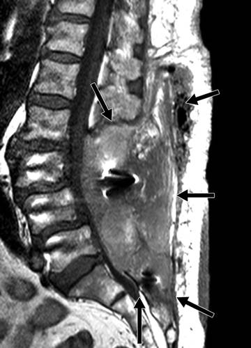
图12A-69岁的女性,因为腰痛和退行性变行L3-L4椎板切除术,然后出现尿失禁和下肢无力。A,增强矢状T1加权MR图像显示L4和L5处神经根(箭头)轻微的增强。 皮下积液(箭头)在L3-L4的椎板切除部位是明显的,其可以代表术后血清渗出,CSF积液或脓肿。
![]()
图12B-69岁的女性,因为腰痛和退行性变行L3-L4椎板切除术,然后出现尿失禁和下肢无力。轴向对比度增强T1加权脂肪抑制MR图像显示多个增强点和L4平面硬膜囊中的神经丛(箭头)聚集,增强图像表现与蛛网膜炎相符。
![]()
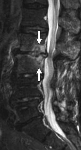
图13A-70岁的男性,在2年内进行数次腰椎手术,进行性疼痛。 骨扫描显示L2-L3间隙摄取量增加(未显示)。 血液检查显示C反应蛋白浓度和红细胞沉降率升高。矢状T2加权MR图像示出了L2-L3 椎间盘炎(箭头),合并L2-L3相邻终板和椎体破坏。 L2和L3椎体T2信号强度增高,表明水肿和梗死。
![]()
图12B,轴向MR图像显示右侧腰肌肌肉中的积液(箭头),这可能在病变连接处有脓肿。
![]()
图14A-在L4-L5腰椎融合后2周,48岁的男性复发性左侧放射性疼痛。轴向T2加权MR图像显示与硬膜囊后部相邻的积液(箭头)。
![]()
图14B--椎体中线水平的矢状T1加权未增强MR图像显示,从背侧压缩椎管的低信号包裹性积液(箭头)。
![]()
图14C,增强T1加权MR图像显示,包绕积液的硬膜外脓肿的边缘增强(箭头)。
![]()
图15A-62岁的男子L2-L5经过后融合。矢状T1加权MR图像显示椎弓根螺钉周围的伪影,并且可以看到L2-L3椎间隙处的金属内置物没有信号强度(箭头)。
![]()
图15B-轴向CT显示金属伪像(箭头)。
| 免责声明:部分内容源自互联网和其他公众平台,仅供阅者浏览或参考,不确保准确性。如有侵犯版权请告知,我们将及时删除。如果您自行使用本账号发布的信息发生了损失或损害,本账号不负任何法律责任。您浏览本站发布的内容,您的浏览行为将被视为对本声明全部内容的认可。 |
![]() |
![]()
|