北京物流信息联盟

防治的核心信息有哪些?

2021-07-17 15:39:37

【了解】是我国重点防治的、危害最大的一种性病。其传染性强,可损害人体的多个系统和脏器,严重的可导致终生残疾甚至危及生命。


梅素螺旋体是的致病生物体。

  

20世纪90年代末以来,全国报告病例数明显增加,呈现快速上升的流行趋势。2009年,报告病例数在我国甲乙类传染病报告中居第三位。

  

2009年我国监测哨点监测的结果表明,暗娼人群、男男性行为人群、吸毒人群为高发人群。

  

严重的可以引起皮肤、神经和心血管等多系统的损害,神经性和性心脏病可导致患者终生残疾,甚至威胁患者生命。


 


【的传播】 ,可通过性接触、血液和母婴等途径传播。


螺旋体只感染人类,因而病人是的唯一传染源。早期的传染性较强,特别是一期的硬下疳和二期的扁平湿疣皮损上有大量的螺旋体,易发生传染。

  

多数情况下是通过性交直接传播的。

  

通过输血、接吻、哺乳也可传播,还可通过破损的皮肤或粘膜接触被螺旋体污染的物品传播。

  

患有的孕产妇可通过胎盘传染给胎儿,也可以在分娩过程中通过产道传染给新生儿。


 


【的主要症状】早期以外生殖器糜烂、外发皮疹、筋骨疼痛、皮肤溃烂为主要表现,晚期则表现为精神异常、神情呆滞等。临床上可分为潜伏、一期、二期和三期。三期可引起神经、心血管等多系统损害。


⊙一期

  

一期约在感染后2至3周(或更长时间)后在性接触的部位出现 “硬下疳”,大多发生于外生殖器部位,也可见于肛门、直肠或口腔等处。

  

硬下疳开始为一直径约1-2公分、圆形、红色、突出于皮肤表面、有软骨样硬度、按压无痛感的丘疹,迅速破溃成红色小溃疡,呈园形,边界清楚,上附少量浆液性分泌物,内含大量螺旋体。硬性下疳常为单发,具有软骨样硬度,无疼痛,如不治疗,3-8周内自然消退,局部不留痕迹或仅为轻度萎缩性疤痕。


⊙二期

  

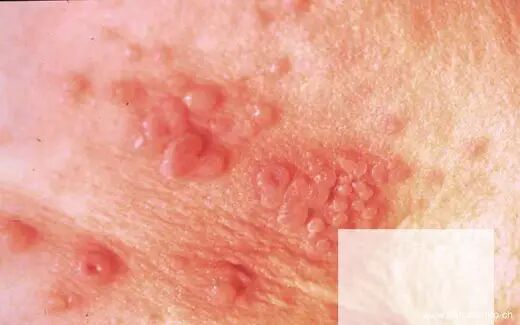
二期一般发生在感染后7-10周,全身出现皮疹,表现为斑疹、丘疹、脓疱、蛎壳状疹等,铜红色,少量鳞屑附着。常对称分布,密集但不融合。可有低热头痛,肌肉和关节痛,全身淋巴结肿大。

  

疹可以自然消退,但又可复发,称二期复发疹。

  

此外,还可表现为扁平湿疣,常发生在肛门、外生殖器周围,为扁平状丘疹。因常受摩擦,表面易糜烂渗出,含有大量螺旋体,传染性强。


⊙三期

  

感染2年以上称为三期(或晚期)。三期的皮肤粘膜损害包括结节性疹和树胶肿。结节性疹好发于头皮、肩胛、背部及四肢的伸侧。树胶样肿发生在小腿部则形成深溃疡、萎缩样瘢痕。发生在上额部时,出现组织坏死,甚至穿孔。发生于鼻中膈者则形成马鞍鼻等。

  

三期侵及心血管则为心血管,即性心脏病。

  

三期累及神经系统则为神经。多发生于感染后10年~20年。可无症状, 也可发生头痛、感觉异常、共济失调和麻痹性痴呆。


⊙潜伏(隐性)

  

隐性是指没有临床表现,但血清反应呈阳性,脑脊液化验也正常的感染者。

  

这类病人虽无症状,但体内仍存在螺旋体,当机体抵抗力降低时又可以产生症状。


⊙先天

  

先天又称胎传。根据发病年龄不同分为早期先天及晚期先天。

  

早期先天:生后2岁以内发病。患儿出生时即瘦小,皮肤松弛苍白,有皱纹如老人貌,体重增长缓慢,哭声低弱嘶哑,可因流涕、鼻塞致哺乳困难。皮肤粘膜损害为最常见,其形态如斑丘疹、丘疹、水疱或大疱、脓疱等。

  

晚期先天: 多在2岁以后发病。与后天晚期一样,除可出现皮肤粘膜、中枢神经系统和心血管系统损害外,还可影响儿童生长发育,致畸,留下标记性损害,如郝秦生齿、桑椹齿、马鞍鼻、马刀胫、角膜瘢痕和耳聋等。


【的检测】 ,检测遵循自愿、免费和保密原则。


【的治疗】主动就诊、及时发现、尽早开始正规治疗是治疗的关键。


的治疗强调早诊断、早治疗、疗程规则、剂量足够、治疗后定期临床和实验室随访等原则。

  

发生易感染性病的高危行为后,。频繁更换性伴者、男男性行为者及有其他可能感染性病的行为者,应定期做医学检查。

  

如果出现尿道分泌物、白带异常、皮疹、生殖器破溃、水疱等性病可疑症状,应及时到正规医疗卫生机构进行检查和治疗。

  

病人应尽早告知自己的配偶或性伴到正规医疗机构(医院、疾病预防控制中心、皮肤病防治所)接受检查,若发现抗体阳性则应及时开始规范治疗。

  

随病情进展而更加难以治愈,所以感染后应尽早主动检测和规范治疗,以争取在早期阶段治愈。

  

,。


【治疗的判愈标准及随访】

  

的治愈判断标准包括临床治愈和血清治愈。临床治愈是指一期(硬下疳)、二期及三期(包括皮肤、黏膜、骨骼、眼、鼻等)损害愈合消退,症状消失。血清治愈是指抗治疗后2年以内血清反应(非螺旋体抗原试验)由阳性转变为阴性,脑脊液检查阴性。

  

经充分治疗,应随访2~3年。第一年每3个月复查一次,以后每半年复查一次。而神经要随访脑脊液,每半年做一次腰穿,直至脑脊液完全转为正常。


【积极预防】 


取积极有效的措施避免传播,是可以预防的。

  

只有坚持洁身自爱的原则,才能从根本上预防和其他性病。

  

多性伴者、男男性行为者正确使用质量合格的安全套,可以大大降低感染和传播及其他性病的风险。

  

做好患者家庭内的管理,包括衣物、毛巾、被褥的清洗,水池、浴具和便具的消毒。

  

患有的未婚男女未治愈前不宜结婚;已怀孕的妇女应尽早接受筛查;患有的孕妇应及时进行规范的治疗,以防胎儿先天的发生。


来源:中国健康教育网

免责声明:本文仅代表作者个人观点,淡蓝公益持中立立场。其原创性以及文中陈述文字和内容未经淡蓝公益证实,对本文以及其中全部或者部分内容、文字的真实性、完整性、及时性淡蓝公益不作任何保证或承诺,请读者仅作参考,并请自行核实相关内容。淡蓝公益转载仅限于非商业性信息传递之用,如无特别声明,淡蓝公益转载之各种内容之版权均属其著作权人所有。如果我们的转载行为侵犯了您的正当权益,请联系我们,我们将在最短的时间内删除,并致以歉意。


微信回复“电影”、“听同志”、“爸妈”、“出柜”、“与艾共生”、“知艾”、“寿命”、“孩子”、“漫画”、“毒品”、“结婚”、“形婚”、“”、“安全套”、"跨性别"、“双性恋”……可查看更多精彩内容。



朝阳区百子湾路苹果社区北区2号楼C座入口旁19B

西城区西长安街社区卫生服务中心3楼

昌平区北京安顺医院2楼

陶然亭健宫医院19号楼2层

免费热线:4006979120

点击阅读原文在线预约


友情链接

Copyright © 2023 All Rights Reserved 版权所有 北京物流信息联盟