北京物流信息联盟

MRI伪连续动脉自旋标记法鉴别颅底肿瘤

2022-04-03 15:18:14


如欲投稿请点击   神外资讯-欢迎赐稿


长按二维码或点击“阅读原文”查看原文


Ref: Geerts B, et al. Clin Neuroradiol. 2017 Sep 11. doi: 10.1007/s00062-017-0623-7. [Epub ahead of print]


传统影像学技术对颅底肿瘤的分类具有一定局限性。颅底肿瘤生长依赖于血管增生,MRI灌注成像分析有助于肿瘤的诊断。动态磁化率对比增强磁共振成像(dynamic susceptibility contrast magnetic resonance imaging,DSC-MRI)是临床评估肿瘤血流灌注时使用较多的神经影像学参数,但该参数对轴外病变的诊断存在局限性。动脉自旋标记是非侵入性磁共振灌注技术,其原理是将动脉血流作为一个自由扩散的内源性示踪剂以测量血流量,因此不用注入造影剂。伪连续动脉自旋标记(pseudo-continuous arterial spin labeling,pCASL)与动脉自旋标记相比,标记效率好,信噪比高。目前对pCASL应用于评估不同类型颅底肿瘤的可行性与准确性还未见报道。法国巴黎Pitié-Salpêtrière医院集团神经放射科的B. Geerts等对pCASL诊断颅底肿瘤的价值进行定性和定量的评估,并且得出区分特定颅底肿瘤的截断值,结果发表于2017年9月《Clin Neuroradiol》在线。

 

作者收集99例组织病理学诊断的颅底肿瘤资料。最终纳入92例患者。根据病理学特征,将颅底肿瘤分为富血供组和非富血供组。按照肿瘤的解剖位置再分为两个亚组(图1)。MRI分析内容包括pCASL和三维T1加权饱和脂肪对比序列分析。根据pCASL序列的肿瘤分类由两位神经放射学专家执行。并收集每个患者的一般情况和标化肿瘤血流量(normalized tumor blood flow,nTBF)数据(表1)。最后,作者对富血供组和非富血供组肿瘤的定性和定量特征进行比较。


图1. 标化肿瘤血流量(nTBF)箱式图。该图显示不同颅底肿瘤nTBF值。


表1. 患者一般情况以及颅底肿瘤nTBF和aTBF值。

注:IQR=interquartile range,四分位数间距;nTBF=normalized blood flow in tumor,标化肿瘤血流量;aTBF=absolute blood flow in tumor,绝对肿瘤血流量。a富血供与非富血供表征;b解剖位置见表2和3;cml/min/100g。

 

通过pCASL视觉评估对肿瘤进行分类的正确率为98%。根据pCASL序列定性分析发现富血供组和非富血供组肿瘤的nTBF值具有统计学差异(p<0.001);富血供组内副神经节瘤血流灌注高于脑膜瘤和转移瘤(p=0.003)。其截断值可区分垂体腺瘤与脑膜瘤或神经鞘瘤与脑膜瘤(表2、3)(图2、3)。


表2. 垂体、蝶鞍上和眶上裂肿瘤的特征。

注:IQR=interquartile range,四分位数间距;nTBF=normalized blood flow in tumor,标化肿瘤血流量;aTBF=absolute blood flow in tumor,绝对肿瘤血流量。a富血供与非富血供肿瘤表征;b富血供与非富血供肿瘤具有统计学差异(p<0.0001)。


表3. 颞骨、颈静脉孔以及桥小脑角肿瘤的特征。

注:IQR=interquartile range,四分位数间距;nTBF=normalized blood flow in tumor,标化肿瘤血流量;aTBF=absolute blood flow in tumor,绝对肿瘤血流量。a富血供与非富血供表征,b富血供与非富血供具有统计学差异(p<0.0001);c副神经节瘤与脑膜瘤具有统计学差异(p=0.003);d副神经节瘤与转移瘤具有统计学差异(p=0.009)。


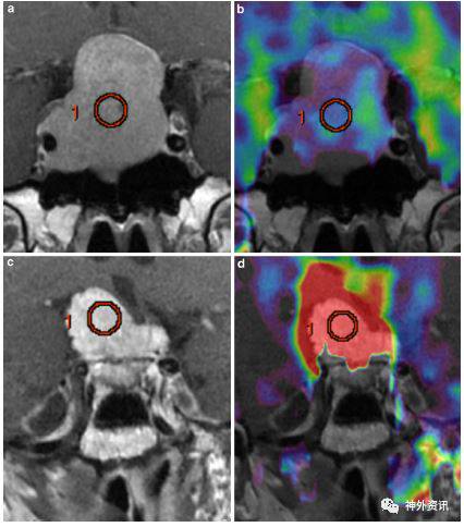
图2. 鞍区垂体腺瘤和脑膜瘤特征。注:MRI-T1加权冠状面对比:a、c图显示两均匀增强的鞍区肿瘤。CBF图显示:b为非富血流灌注肿瘤,低肿瘤-正常组织灌注比(nTBF=0.82),诊断垂体腺瘤;d为富血流灌注肿瘤,高肿瘤-正常组织灌注比(nTBF=5.35),诊断脑膜瘤。

 

图3. 小脑桥脑角神经鞘瘤和脑膜瘤特征。注:MRI-T1加权轴向脂肪抑制成像对比:a、c图显示两个桥小脑桥脑角增强肿瘤。CBF图显示:b为非富血流灌注的神经鞘瘤(nTBF=0.85);d为富血流灌注的脑膜瘤(nTBF=3.29)。

 

作者认为,pCASL视觉评估或nTBF定量分析对颅底肿瘤的诊断具有较高价值。因此,推荐将pCASL列入颅底肿瘤的诊断规程。


零度色彩编译,复旦大学附属华山医院王知秋教授审校,《神外资讯》主编、复旦大学附属华山医院陈衔城教授终审)


相关链接


神外资讯微信公众订阅号可以置顶啦!!!打开手机微信(6.3.16以上版本),找到订阅号中的神外资讯公众号,打开并点击右上角头像,进入神外资讯详细信息页面后,选择置顶公众号,这样您就可以将神外资讯置顶啦!从此,重要信息不再错过哦!


《神外资讯》,未经许可不得转载,如希望转载,请联系“神外助手”。请各微信公众号、网站及客户端尊重《神外资讯》版权,经许可转载文章时请清楚注明来源为“神外资讯”。《神外资讯》,欢迎您转发朋友圈。

友情链接

Copyright © 2023 All Rights Reserved 版权所有 北京物流信息联盟